神经内镜辅助下经鼻手术



神经外科的常规手术方式是开颅手术,但随着内镜技术的发展,在神经外科的疾病病种中有相当一部分是可以通过神经内镜辅助经鼻手术的。内镜手术和显微镜相比来说,它的优势还是比较明显的,主要体现在精准、微创方面,它是利用鼻腔的自然通道直接进入手术区域,其次它的照明比较好,可以通过镜头直接到达颅底,自由的前后左右包括各个方向进行调整,这样就可以保证最大的视野,再一个是创伤小,它可以直视下进行手术,这样的话就可以达到最小的创伤,而且达到最好的手术效果。
省二院神经外科神经内镜亚专业团队
省二院神经外科张永明科主任带领的神经内镜亚专业治疗组是安徽省内第一批最先接触并使用神经内镜的团队之一,从2013年即开始利用先进的神经内镜设备和器械治疗相关疾病,期间经鼻微创开展手术近300台次,均取得良好的治疗效果。

团队摒弃了以往被俗称为“刮宫术”的双人三手或单人双手、主刀持镜传统操作方式,这种方式很难做到内镜下的显微操作,而采用双人四手、助手持镜的操作技术,可以完全解放主刀医生双手,真正做到内镜下精细的显微手术操作,进而达到完整切除肿瘤的手术目的。
哪些神经外科疾病可以经鼻手术
目前在神经外科可以神经内镜辅助下经鼻蝶入路手术的疾病常见的有:垂体瘤、拉克氏囊肿、脊索瘤、颅咽管瘤、鞍结节脑膜瘤、海绵窦肿瘤、脑干病变、三叉神经鞘瘤等,这些疾病都具有可以经鼻而不用开颅手术的特点,而且经鼻内镜微创手术治疗这些疾病具有创伤小,恢复快等优势。

A.垂体瘤 B.Rathke囊肿 C.鞍结节脑膜瘤 D.斜坡脊索瘤 E.颅咽管瘤 F.脑干海绵状血管瘤
神经外科开展内镜经鼻手术情况
垂体腺瘤
垂体腺瘤是垂体前叶分泌激素的细胞起源的良性神经内分泌肿瘤,大多数垂体腺瘤是分泌泌乳素型(45% - 65%),其次是无功能腺瘤(15% - 37%)。临床表现依腺瘤性质而不同,有分泌功能的腺瘤早期主要表现为内分泌亢进,如泌乳素腺瘤出现闭经、泌乳,生长激素腺瘤出现肢端肥大,促肾上腺皮质激素腺瘤出现库欣病等,无分泌功能的腺瘤主要表现为视力障碍等压迫症状,发生垂体卒中时有突发头痛、呕吐、视力急剧下降、昏迷等急症。

上图:A.术前矢状位增强MRI ,B.术前冠状位增强MRI,C.术后矢状位增强MRI, D.术后冠状位增强MRI。
左右滑动上面图片查看更多
(手术图片可能对你造成不适)
应用双鼻孔通道及双人四手操作技术,在神经内镜辅助下进行精细的显微操作并完整切除肿瘤,对于功能性垂体瘤亦可做到假包膜外切除,让患者术后激素水平达到生化缓解,真正的治愈。
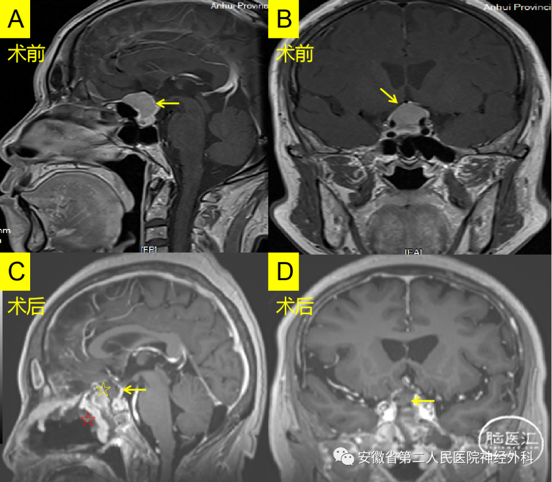
鞍结节脑膜瘤
鞍结节脑膜瘤沿脑膜向周围生长,向前可达眶尖,向后可达斜坡及小脑幕,向外沿中颅窝底扩展,向内可累及鞍内垂体腺。常最早侵犯视神经,多以视力障碍为首发症状,产生颅高压为引起头痛、恶心、呕吐,侵犯垂体会出现垂体功能障碍相应症状。

上图:A.术前矢状位增强MRI ,B.术前冠状位增强MRI,C.术后矢状位增强MRI, D.术后冠状位增强MRI。(☆带蒂黏膜瓣,☆阔筋膜)
经鼻蝶扩大入路(EEA)切除肿瘤,可以优先断除肿瘤基底和肿瘤血供,再锐性分离肿瘤与神经、血管的粘连,最后采用带蒂黏膜瓣、阔筋膜、脂肪、人工硬脑膜进行颅底重建和脑脊液漏修补,目前针对绝大部分鞍结节脑膜瘤经鼻蝶扩大入路因其创伤性、术后恢复快、术中可以优先断除肿瘤基底血供的特点,已逐渐开始替代传统的翼点、额外侧开颅手术。
左右滑动上面图片查看更多
(手术图片可能对你造成不适)
颅咽管瘤
颅咽管瘤也称颅咽管肿瘤、Rathke囊肿瘤、釉质上皮瘤,为来自颅咽管残余上皮的良性肿瘤。约占所有颅内肿瘤5%以下,占儿童鞍区见肿瘤50%以上。常见临床表现为视力障碍及内分泌紊乱,如视力下降、双颞侧偏盲、身材矮小、尿崩,其他包括脑积水所致的头痛、恶心、呕吐及视乳头水肿。

上图:A.术前平扫增强MRI, B.术前冠状位增强MRI,C.术前矢状位增强MRI,D.术后平扫增强MRI, E.术后冠状位增强MRI,F.术后矢状位增强MRI(☆带蒂黏膜瓣,☆阔筋膜)
左右滑动上面图片查看更多
(手术图片可能对你造成不适)
通过经鼻蝶扩大入路(EEA),到达视交叉上间隙,打开终板,进入三脑室,锐性分离肿瘤与下丘脑之间粘连,完整切除肿瘤,解除室间孔、中脑导水管的梗阻,打通脑脊液循环,消除脑积水。
神经外科开展其他神经内镜手术情况
左右滑动上面图片查看更多
(手术图片可能对你造成不适)
点击或扫描上方二维码,查看更多“脑肿瘤”内容






















