
病例分享
01、患者基本情况
男,52岁。
主诉:因“头晕头痛19小时,发现左侧肢体乏力5小时”入院。
入院查体:神清,言语清晰,对答基本切题,双侧瞳孔等大圆形,对光反射灵敏,眼球向左、向上、向下运动不能,左侧鼻唇沟稍浅,口角右歪,伸舌左歪,左上肢肌力2-级,左下肢肌力3+级,右侧肢体肌力5级,双侧巴氏征阳性。NIHSS评分7分。头颅MRA:右侧颈内动脉闭塞。
术前诊断:
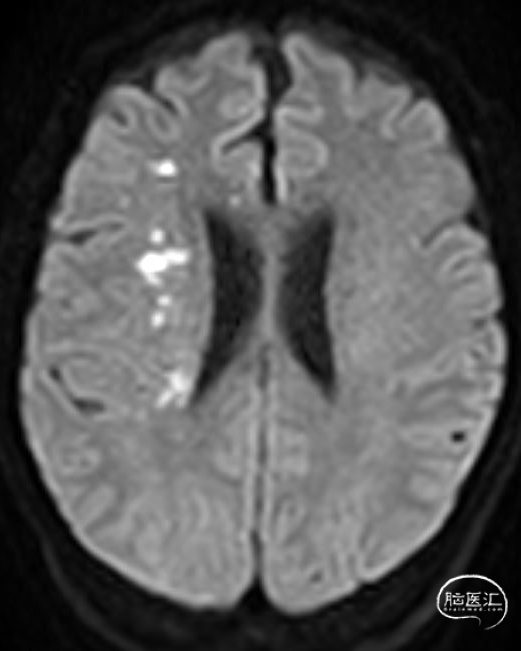
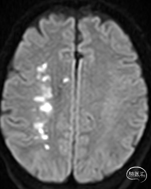
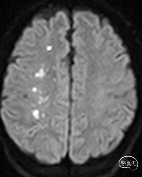
1、脑梗死(右侧额顶叶和右侧侧脑室后角,其他原因型)
2、右侧颈内动脉闭塞
3、高血压
02、术前影像
为进一步评估梗死大小和颅内情况,磁共振显示颈内动脉闭塞,小的核心梗死。





03、手术器械
8F 股动脉鞘
Neuron Max 90cm
天巡 6F 颅内支持导管
Rebar-18 微导管
Synchro-2 微导丝
Solitaire(6mm*30mm)取栓支架
雅培缝合器 ProGlide
雅培Viatrac 14球囊(4*30mm)
雅培Xpert Pro支架(6*40mm)
04、手术过程
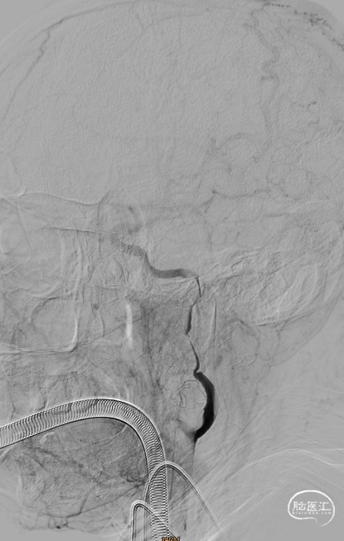
右股动脉处置入8F 股动脉鞘,分别沿鞘送入泥鳅导丝、5FH1动脉造影导管造影提示右侧颈内动脉C1段闭塞,考虑右侧颈内动脉夹层。

路径图下沿导引导管送入6F 颅内支持导管(6F*125cm)+微导管+微导丝(0.014*200cm)组合,在路径图引导下,将支持导管先端置于右侧颈内动脉C1段,造影显示前交通动脉有代偿。

沿鞘将6F 长鞘、5F 多功能导管及泥鳅导丝同轴送入,在路径图引导下,在泥鳅导丝和多功能导管的导引下将6F 长鞘先端置于右侧颈总动脉远端,撤出泥鳅导丝和多功能导管。

路径图下将微导丝的先端小心通过右侧颈内动脉C1段闭塞段置于C5段,跟进微导管顺利通过颈内动脉闭塞段。

撤出微导丝,微导管造影确认在真腔内。

沿微导管送入取栓支架(6mm*30mm),准确对位后成功释放,撤出微导管,造影提示右侧颈内动脉及右侧大脑中动脉有前向血流,等待5分钟后,跟进颅内支持导管至颈内动脉C2段,缓慢回撤取栓支架,并沿中间导管抽吸,可见支架缠绕少量血栓,送入Synchro-2 微导丝3m至C7段,回撤中间导管,再次造影提示右侧颈内动脉C1段重度狭窄伴夹层样改变,观察10分钟血流较前减慢。


撤除中间导管,沿微导丝送入Viatrac 14球囊(4*30mm),在球囊的引导下,将6F 长鞘送至颈动脉C2段远端,撤出球囊。

球囊输送系统带6F 长鞘通过病变(特洛伊木马技术),撤出球囊后,6F 长鞘带Xpert Pro支架输送系统通过病变 。

再次沿导丝送入Xpert Pro(6X40mm)支架,回撤长鞘,对位准确后成功释放支架,再次造影提示支架贴壁良好,前向血流通畅(TICI分级3级)。

观察十分钟后再次造影提示右侧颈内动脉全程血流通畅,无明显急性血管闭塞征象,前向血流3级。术中DynaCT未见明显造影剂渗出。撤出导引导管,拔除动脉鞘,使用雅培缝合器 ProGlide缝合伤口,伤口加压包扎,结束手术。


05、术后情况


神清,言语清晰,双侧瞳孔等大圆形,眼球活动可,对光反射灵敏,左侧鼻唇沟稍浅,口角右歪,伸舌稍左歪,颈软,无抵抗,左侧肢体肌力5-级,右侧肢体肌力5级,双侧巴氏征阴性。NIHSS 1分,mRS 1分。
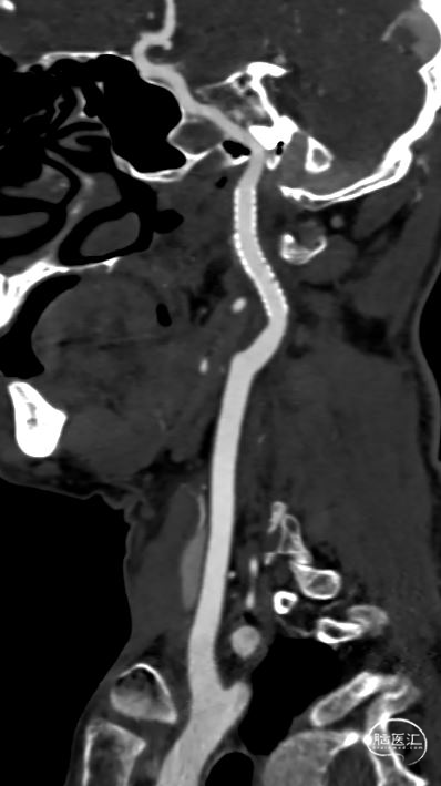
术后三个月随访:mRS 0分,颈部血管CTA显示支架形态良好。


专家简介
方兴
宁波市北仑区人民医院
神经内科主任
中国老年医学会神经病学分会委员
浙江省卒中学会神经内科分会委员
浙江省医学会神经病学分会神经介入学组委员
浙江省医师协会神经介入分会委员
宁波市医学会神经病学分会委员
唐孝龙
宁波市北仑区人民医院
副主任医师,诊疗主管
从事神经内科临床一线工作十多年,擅长缺血性脑血管病的临床诊治,熟练开展急性脑梗塞的动脉溶栓、机械取栓以及狭窄动脉的支架植入术,善于焦虑、抑郁及睡眠障碍等功能性疾病的诊治
![]()
点击或扫描上方二维码
查看更多“介入”内容









