脑医汇,由外而内,融“汇”贯通
今天带来的是中山市人民医院韩志安教授在<第十七届南方神经外科论坛暨2023年广东省医学会神经肿瘤高峰会议·血管病分会场>分享的《大脑中动脉狭窄介入治疗进展及单中心经验》内容,欢迎大家阅读。
先导研究
大脑中动脉M1段慢性闭塞开通术:使用LVIS支架
• 25例患者,男14例,女11例。年龄50~77岁,平均(63.31±13.02)岁。
• 临床表现:短暂性脑缺血发作(TIA)9例(36%),轻度卒中9例(36%)。明显脑梗塞症状7例(28%)。临床主要表现呈严重头晕、一侧肢体麻木无力、认知障碍、语言欠流畅等。多数病人伴有高血压、糖尿病病史。
• 结果:成功开通24例(成功率96%),未开通1例(占4%)因为闭塞时间过长。术后合并出血3例(经治疗后吸收),合并术后梗塞一例(临床症状加重),无死亡病例。
病例纳入标准
①大脑中动脉M1段闭塞,经CT血管成像(CTA)或血管成像(MRA)诊断,并全部由DSA检查最终确诊。
②血管闭塞时间明确大于一周以上。
③术前脑灌注检查(CT灌注成像或MRI灌注成像),提示闭塞血管相关供血区域低灌注。
④患者存在一个以上的动脉粥样硬化危险因素,如高血压病、糖尿病、脂代谢异常、冠心病、吸烟、饮酒等。
⑤经规范化药物治疗(联合抗血小板聚集治疗及强化他汀类药物治疗,危险因素控制),患者仍有闭塞血管相关的临床症状如TIA或卒中发生。
⑥年龄:50-82岁之间。
病例排除标准
①非动脉粥样硬化性病变,包括烟雾病、类烟雾病、心源性栓塞、动脉夹层病变、血管炎性病变。
②术前影像学检查提示有颅内出血或占位性病变。
③合并颅内动静脉畸形或动脉瘤。
④3个月内颅内出血病史者。
⑤对肝素、阿司匹林、氯吡格雷、金属异物及麻醉药物过敏者。
⑥合并凝血机制障碍、恶性肿瘤等其他疾病及孕产妇、预期生命存活<1年者。
⑦术前MRI或增强CT证实存在大面积梗死(ASPECTS<6分)
⑧胃肠道疾病伴有活动性出血者。
⑨难以控制的高血压。
术前检查
1、CTA:脑血管CTA及CT灌注成像
2、MR:大脑中动脉高分辨成像
3、DSA:弓上造影及超选造影,为入路及材料准备(与手术同步)
4、抽血检查:感染8项、凝血功能、肝肾功能、血脂、血糖、血管炎指标(血沉、抗0、类风湿因子、抗DNA酶B抗体、C反应蛋白、自身抗体15项、抗心磷脂抗体3项)
5、心电图、胸片等常规
闭塞分型
Ⅰ型:大脑中动脉M1段主干闭塞,闭塞长度≤10mm,远端侧支逆向灌注充盈,可见M1远端分叉显影(至少两干分支汇合分叉部显影)。
Ⅱ型:大脑中动脉M1段主干闭塞,闭塞长度>10mm,远端侧支逆向灌注充盈,可见M1远端分叉显影(至少两干分支汇合分叉部显影)。
Ⅲ型:大脑中动脉M1段主干闭塞,远端侧支逆向灌注充盈,只见M2段分支显影,M1远端主干及分叉不显影。

Ⅰ、Ⅱ、Ⅲ
术前药物
1、术前一周控制好血糖及血压
2、术前双抗:用阿司匹林、氯吡格雷至少3-5天。
3、查血栓弹力图。
4、对于耐受氯吡格雷的患者,可以使用替格瑞洛,90毫克,BID。
麻醉方式及手术入路
1、建议气管内插管全麻
手术入路的选择:
2、常规股动脉入路可以完成手术。
8F动脉鞘+强生8F 90厘米指引导管+ 5F Navien 125管。
3、如果血管条件好,可采用桡动脉入路。
材料选择
1、开通材料组合:
8F指引+5F 125 Navien中间导管+ Echelon-10微导管或者SL-10微导管+Traxcess14微导丝或者Synchro.014
2、扩张球囊:
Gateway2.5*9、Gateway2.5*15或者Gateway2.25*9、Gateway2.25*15
3、支架
Headway21微导管或者Rebar18微导管,LVIS 3.5*20支架
治疗方法
• 患者平卧导管床,气管插管下全麻。
• 8F指引导管,常规使用Navien中间导管5F 125。
• 手术方法:
第一步:Echelon-10微导管配Traxcess14微导丝过闭塞段,非常关键,沿着血管走形通过。以微导管为主。
第二步:微导管造影证实在真腔,退出微导管,上300厘米交换导丝。
第三步:用Gateway2.5*9或者Gateway2.25*9球囊扩张闭塞段,有时候用冠脉美敦力预扩球囊3.0*10,基本上只扩张一次。
第四步:退出球囊,沿着300厘米交换导丝上Headway21微导管,或者Rebar18微导管,然后释放LVIS 3.5*20支架。
为什么在狭窄使用LVIS支架?
1、支架贴壁性非常好
2、支架与血管的适配性好,长度随着血管直径而变化
3、90%的可回收调整
4、并不影响穿支血管
5、文献支持
病例示例01
女性,78岁。头晕,伴左侧肢体乏力4天余。
既往:高血压病。
体查:反应稍迟钝,左侧鼻唇沟稍变浅,口角稍向右歪斜,伸舌稍偏左。左侧肢体肌力5-级,病理征阴性,NHISS评分:1分。
mRS评分:1分。
诊断:1、脑梗塞,2、高血压病
术前

MR右侧放射冠-基底节区急性-亚急性早期脑梗塞

头颈部血管CTA
1.左侧椎动脉纤细,远段血管狭窄、闭塞。2.右侧大脑中动脉水平段狭窄、闭塞

CT灌注

术前左侧颈内、左侧椎动脉、右侧椎动脉、右侧颈内动脉造影
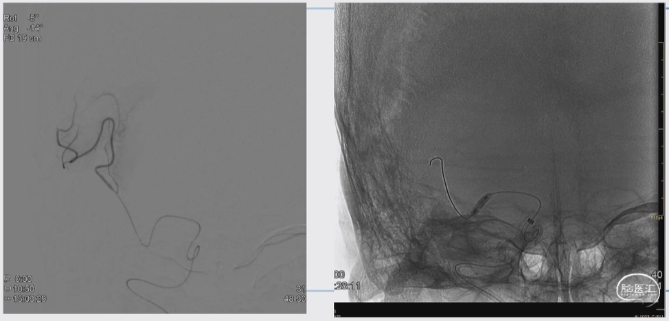
手术过程

第一步 关键,微导管过闭塞段

微导管造影确认在大脑中动脉真腔远端显影良好

2.25*9球囊扩张

释放Ivis 3.5*20支架
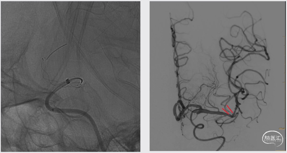
术后


术后造影

术后即刻CT
病例示例02:
左侧大脑中动脉M1-M2闭塞支架术
患者男性,61岁,因“言语不清伴右侧肢体乏力6小时”于2020年04月01日收入院。既往有高血压病多年,未规律服药。
行颅脑MRA提示“1、左侧额、枕、颞、岛叶及侧脑室旁脑白质多发斑点状急性梗塞灶,考虑分水岭梗塞;2、双侧大脑半球皮层下、侧脑室旁脑白质及基底节区、脑干见多发慢性缺血变性灶;3、脑动脉粥样硬化,多处管腔狭窄,左侧大脑中动脉水平段及远端未见显示,考虑闭塞”。
神志清楚,查体合作,言语不清,伸舌右偏,口角左偏,双侧瞳孔等大等圆,直径约3mm,光反射敏感,右侧肢体肌力4+级,病理征阴性。
入院后症状持续性加重,右侧肌力下降到1级。行造影见左侧大脑中动脉M1慢性狭窄后急性闭塞,微导管首过效应阳性。行球囊扩张LVIS支架置入术。
术后肌力逐渐恢复,共住院11天,出院时肌力恢复到4级。











病例示例03:
左侧颈内动脉C6段闭塞LVIS支架术
患者男性,68岁,因“头晕7小时,右侧肢体乏力3小时”于2018年05月14日收入院。高血压、糖尿病病史10年以上。
入院时神清,可发音,言语迟缓,构音欠清,自主睁眼,双侧瞳孔等大等圆,直径约2.5mm,双眼等大等圆,对光反射灵敏。伸舌右偏,右侧肢体肌力3级,肌张力正常,左侧肌力肌张力正常。右侧巴氏征可疑阳性。
造影见左侧颈内动脉C6段狭窄后闭塞,右侧颈内动脉通过前交通代偿向左侧大脑中动脉区域供血。行左侧颈内动脉闭塞开通术,置入LVIS支架。
经介入支架治疗,住院13天后出院。出院时神志清,对答切题,右侧肢体肌力4级。
经出院后康复治疗,三个月后正常。










病例示例04:
女性,66岁。术后再灌注出血。
杨XX,66岁,女性。
间断性头晕伴四肢感觉麻木1年余。
左上肢曾一过性乏力,自觉左下肢感觉麻木症状较对侧严重
2020年6月诊断为多发性骨髓瘤;因骨质疏松导致腰椎压缩性骨折,曾行椎体成形术
神志清,视力视野无异常,四肢肌力5级,肌张力正常。NIHSS 1分,mRS1分。
入院诊断:双侧大脑中动脉狭窄,多发性脑梗塞,多发性骨髓瘤,脑动脉硬化。

介入手术




术后

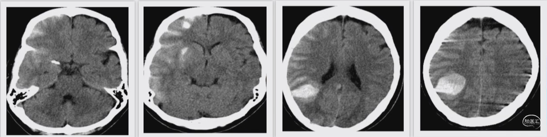
术后6小时CT:
右侧顶叶、基底节区与右侧额顶颞叶脑沟及外侧裂池高密度影,首先考虑对比剂外渗,未排合并出血
术后第一天:神志清,精神较差,GCS 13分,肌力肌张力正常
波立维75mg qd+甘油果糖氯化钠250ml bid+尼莫地平片30mg tid

术后第一天24小时CT:
右侧顶叶、基底节区与右侧额顶颞叶脑沟及外侧裂池高密度影,考虑为出血
术后第15天,来院门诊复诊CT
神志清,精神状态好,GCS 15分,肌力肌张力正常。

病例5:
术后再灌注出血及支架内血栓
男性,54Y
主诉:发作性言语欠清2天
查体:言语稍欠清,四肢肌力5级
CTA:左侧大脑中动脉M1段狭窄闭塞,远端血管变纤细
诊断:急性脑梗塞、左侧大脑中动脉闭塞?

脑血管CTA

脑CT灌注—大脑中动脉供血区片状低灌注

脑血管造影—远端血管窗存在

开通过程

术后即刻DSA+Dyna CT
关于术中注意事项
1、手术通路很重要,建议常规使用Navien中间导管。
2、最容易出问题的是导丝过闭塞段时暴力操作,引起新的损伤。建议微导管过闭塞段。
3、释放支架前,外周静脉即刻替罗非班推8毫升走6。同时指引导管内推3毫升。然后再释放支架。
4、术后4-6小时内是再灌注出血的高峰期,注意醒麻醉和控制血压。
关于术后注意事项
1、术后最好做一个dyna CT。
2、术后4小时左右再次复查头颅CT
3、术后控制性降压在120以下。
4、术后双抗加强化他汀也很重要。
图片示例

第一次取栓时
上图与本手术无关,但提示双抗+他汀类药物的神奇疗效
左侧为第一次取栓术后的图片,当时放了Solitaire支架,血管很差。
右侧为取栓术后四个月复查的图片,血管恢复良好形态
说明:对于硬化性狭窄,双抗加上他汀类药物有神奇的疗效
讲者简介
韩志安副主任医师
中山市人民医院
医学博士,副主任医师,中山市人民医院脑科中心主任兼脑血管介入科科主任、神经电生理室科主任
中华医学会神经外科学会会员
广东省介入医师协会常委
广东省医师协会外科医师分会委员
广东省药物治疗与临床药理学专业委员会委员
发表学术论文20余篇,参与编写专著2本,获卫生部医疗成果二等奖两项,广东省科技进步二等奖一项,获国家重点课题基金两项
声明:脑医汇旗下神外资讯、神介资讯、神内资讯、脑医咨询、Ai Brain 所发表内容之知识产权为脑医汇及主办方、原作者等相关权利人所有。




