本期脑医汇为大家分享:新疆自治区中医医院【沈玉国】教授和【李大志】教授在金垂体全国联讲—七剑下天山中的精彩内容,欢迎阅读和分享。


患者许某,男性,22岁,2016.10.7入院
主诉:口干多饮多尿半月
大量进食甜瓜及西瓜后出现口干多饮不适,每日饮水量在5kg左右,乏力明显
外院查空腹血糖、糖化血红蛋白、头颅CT均正常
无发热恶寒,无恶心呕吐,无头晕头痛,无视力下降,小便量多,夜尿5-6次/日,近一月体重下降5.5Kg
既往史、个人史、家族史:无特殊
未婚未育
体格检查:T37.2℃,P79次/分,R18次/分,Bp129/77mmHg,心肺腹未及异常 ,双肾区无叩击痛,双下肢无浮肿。



本病例特点:
多尿,多饮,尿常规示低比重尿
24小时尿量超过5000ml
甲状腺、性腺、肾上腺轴均异常
完善禁水加压试验
提示:中枢性尿崩症!

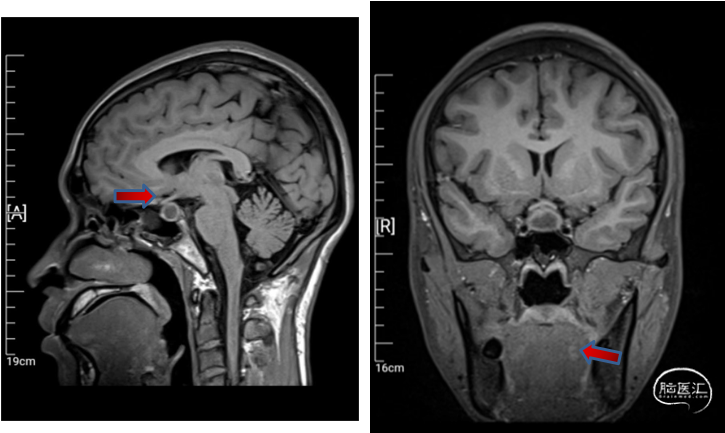
垂体MRI平扫+增强:
垂体前叶异常信号灶伴垂体柄增粗、强化,鞍內占位,Rathke囊肿?炎性病变?
垂体后叶高信号未显示
全组副鼻窦慢性炎症


中医诊断:口渴症
气阴两虚
西医诊断:中枢性尿崩症
垂体前叶功能减退症
垂体占位 垂体脓肿?
Rathke囊肿?
垂体性甲减并亚急性甲状腺炎
鼻窦炎

中枢性尿崩症诊断明确,建议外购弥凝0.05mg tid po
腺垂体功能减退,建议泼尼松片 早10mg 中5mg po
观察尿量、电解质、尿比重变化
18日转脑外科,术前抗感染、激素补充治疗,20日行“经颅内镜鼻蝶垂体占位切除术”,引流出脓性液呈灰白色,未见明显肿瘤组织
查脓液培养未见异常
脓液病理无法明确
术后尿量在5000-7000ml左右,弥凝0.2mg,tid, 泼尼松片 早10mg中5mg
11月1日起尿量逐渐下降,6日24小时尿量3425ml,比重 1.007
甲功:总T3 0.83nmol/L,总T4 61.83nmol/L,游离T3 2.37pmol/L,游离T4 10.56pmol/L,TSH 0.4uIU/ml
性腺:睾酮 1.24ng/ml,余正常
促肾上腺皮质激素 35.33pg/ml,钠 135.70mmol/L
弥凝减量:早0.1mg 中0.2mg 晚0.2mg,泼尼松片 早7.5mg 晚5mg
11月9日好转出院

饮水量3000ml左右
弥凝:早0.1mg,晚0.2mg
泼尼松:早5mg,中5mg
饮水量2500ml左右 尿常规尿比重正常,电解质正常
弥凝:晚0.05mg(半片)
泼尼松:早2.5mg,中2.5mg
饮水量未记录 尿常规、甲功、性腺六项正常
弥凝:晚0.05mg(半片)
泼尼松:已停药2017.4.4初夏已立
饮水量3000ml左右
弥凝:停药
泼尼松:停药
复查电解质、甲功均正常










点击图片观看完整视频
讲者:沈玉国、李大志
讲题:天道有常一一尿崩症背后的真相

讲者简介
沈玉国 教授
硕士研究生
新疆医科大学附属中医医院内分泌科主任医师
新疆中西医结合学会内分泌专委会委员
新疆中医药学会内分泌专委会青年委员
毕业于新疆医科大学,主要研究方向为糖尿病、甲状腺疾病、肾上腺、垂体疾病的中西医结合诊治
发表学术论文18篇,其中SCI期刊1篇,核心期刊文章8篇,参与国家级及自治区级课题7项,参编著作5部
李大志 教授
主任医师,医学博士,硕士研究生导师
现任中国抗癌协会新疆神经外科肿瘤分会常委,中国医师协会神经外科协会委员,中华医学会神经外科分会新疆青年委员会,乌鲁木齐医学会神经外科分会秘书,乌鲁木齐市劳动能力鉴定专家,承担新疆医科大学校级课题2项,自治区级科研课题1项,国家自然科学基金参与1项
擅长:垂体瘤、脑膜瘤、胶质瘤、椎管内肿瘤的诊断及手术治疗,颈动脉狭窄内膜切除手术,各型颅脑损伤及脑出血的诊断、手术治疗及中西医结合治疗
声明:脑医汇旗下神外资讯、神介资讯、神内资讯、脑医咨询、AiBrain 所发表内容之知识产权为脑医汇及主办方、原作者等相关权利人所有。