瑞士日内瓦大学医院临床神经科学部神经外科的Luca Paun等报告1例接受手术和术后分期化学治疗的9月龄患儿;随访至23月龄时,患儿发育良好,生活质量无明显下降。结果发表在2023年4月的《Brain Sciences》在线。
——摘自文章章节
【Ref: Paun L, et al. Brain Sci. 2023 Apr 24;13(5):712. doi: 10.3390/brainsci13050712.】
研究背景
后颅窝非典型畸胎源性肉瘤(atypical teratoid rhabdoid tumors,ATRT)是罕见的儿童胚胎性肿瘤,患儿发病年龄大多小于3岁,通常预后不良。首选治疗方法是一期手术完全切除(GTR),手术后的多模式治疗可能提高患儿总体生存率(OS)和减少手术并发症。瑞士日内瓦大学医院临床神经科学部神经外科的Luca Paun等报告1例接受手术和术后分期化学治疗的9月龄患儿;随访至23月龄时,患儿发育良好,生活质量无明显下降。结果发表在2023年4月的《Brain Sciences》在线。
研究方法

图1. 超声矢状面和冠状面显示,侧脑室扩大。彩色多普勒超声显示,阻力指数和脉动指数增加,提示颅内压增高。
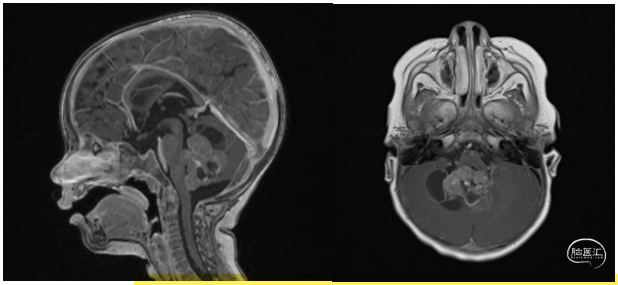
脑脊髓MRI成像示,后颅窝一异质性囊性出血性病灶,部分钙化,体积46×34×49毫米,阻塞第四脑室和右侧Luschka孔(图2)。

研究结果
在MRI波谱序列中,发现胆碱峰升高,N-乙酰天冬氨酸(NAA)和肌酸峰较低,提示为ATRT(图3)。未发现蛛网膜下腔播散。多学科会诊达成共识选择手术切除。第一次手术时,患儿体重为8公斤,身高为76厘米。手术由经验丰富的高年资神经外科医生执行。由于肿瘤血管丰富,出血多被迫终止手术,置脑室外引流(EVD)。输血460毫升,包括红细胞和血小板。

图3. 波谱分析显示病变胆碱含量增加,支持为恶性病变。
由于梗阻性脑积水未解决,将EVD转为脑室-腹腔分流术。同时,在脑室内置入Ommaya囊,准备作鞘内治疗用;病理学表现为高度血管化的细胞密集型肿瘤。肿瘤细胞通常显示,富含嗜酸性胞质和含有核仁的泡状核。肿瘤细胞部分表达上皮抗原(EMA)和突触素(SYN),缺失INI-1表达(SMARCB1),符合典型ATRT诊断,为WHO 4级。拷贝数变异预测示,谱线扁平,其中包含SMARCB1的22q杂合性缺失。
按照多学科小儿中枢神经系统肿瘤委员会的指南,选择化疗。给与6个疗程的化疗药物包括,多柔比星(DOX)、异环磷酰胺、卡铂和依托泊苷(ICE)、长春新碱、环磷酰胺和放线菌素D(VCA)以及脑室内注射甲氨蝶呤(MTX)。在完成3个化疗周期后,6周全脑脊髓MRI显示病灶部分缓解,肿瘤体积缩小>50%,无蛛网膜下腔扩散。患儿一般情况良好,体重9kg,身高为76cm;于是进行第二次手术。
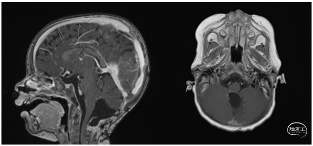
第二次手术较为顺利。在右侧延髓脑桥交界处,残留几毫米肿瘤组织,浸润至第四脑室底部。术中失血量50mL,输注2单位红细胞和1单位血小板浓缩物。术后MRI示,右侧延髓脑桥交界处毫米级强化信号。随后3个疗程化疗,包括卡铂、塞替派和自体干细胞输入。每个疗程间隔28天。到目前为止,总体随访时间为14个月。最后一次随访时,23月龄,没有任何复发迹象,第四脑室底部的强化组织保持稳定。患儿发育正常(图4)。建议局部质子治疗。

图4. 术后14个月的MRI-T1矢状位和轴位像增强成像显示,无复发迹象。
研究结论

声明:脑医汇旗下神外资讯、神介资讯、神内资讯、脑医咨询、AiBrain 所发表内容之知识产权为脑医汇及主办方、原作者等相关权利人所有。







