脑静脉窦血栓是一重要的脑血管疾病,多发于青-中年,如诊治不及时,可能会导致严重后果;其确诊依赖于影像学检测到典型脑静脉窦血栓征象。
部分患者症状严重,或治疗后无改善或加重进展,这些患者可能需要进一步介入治疗干预。明确脑静脉窦血栓形成的大致时期,对制定介入治疗策略大有裨益。
急性期血栓松软易碎,介入治疗最为简单;亚急性期血栓质地粘滞,介入治疗相对困难;而慢性机化血栓质地坚韧,介入治疗再通是对术者技术素养的一个重大挑战。
那么,临床可采用何种简便方法去判断脑静脉窦血栓的大致时期呢?
目前只有影像学评估能直接显示活体上脑静脉窦血栓,包括CT、常规MRI和管壁高分辨MRI。下文将就不同时期脑静脉窦血栓在不同影像评估上的表现进行叙述。
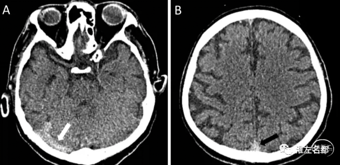
急性早期的脑静脉窦血栓在CT呈明显高密度改变。CT横断面扫描图像上,横窦、乙状窦、直窦急性血栓可表现为高密度“条索征”(Cord Sign),上矢状窦血栓表现为上矢状窦后部的高密度“三角征”(Delta Sign)。亚急性和慢性静脉窦血栓,CT平扫均呈等密度。

右侧横窦(图A,白箭)和上矢状窦(图B,黑箭)
急性血栓高密度征。
多个MRI序列可用于检测脑静脉窦血栓,其信号表现多样,信号高低与血栓形成的时间有关。 简单来讲,急性期的静脉窦血栓,在T1WI上呈等低信号,增强扫描无强化;亚急性期,T1WI呈高信号,增强扫描无强化;慢性期,T1WI呈等信号,增强扫描呈明显强化。三维黑血高分辨T1序列检测脑静脉窦血栓更为敏感和准确,其判断血栓形成大致时期的方法和常规T1WI序列是类似的。

右侧横窦亚急性血栓高信号(空白箭),图A是T2WI,图B是T1WI,图C是FLAIR,图D是T1-space平扫,图E是SWI,图F是增强MRV。

上矢状窦后部和窦汇部急性血栓:三维黑血高分辨T1-SPACE平扫呈等低信号,增强扫描无强化。

颈内静脉远端和乙状窦近端亚急性血栓:三维黑血高分辨T1-SPACE平扫呈高信号,增强扫描无强化。

上矢状窦和直窦慢性机化血栓:三维黑血高分辨T1-SPACE平扫呈等信号,增强扫描呈显著强化。
血栓病理变化和MRI信号改变的关系:在血栓形成后1-5天,与该时期血栓含有脱氧血红蛋白(具有短T1、短T2的特点),腔内血栓在T1WI上表现为均一等信号,在T2WI上表现为均一且明显的低信号;因此在T2WI上早期形成的血栓难以与正常的流空信号相鉴别。在第6到15天,血栓中甲基血红蛋白含量增加,腔内血栓在T1WI上表现为明显高信号,皮质静脉血栓可表现为典型的“条索征”;而该时期的血栓在T2WI上信号变化多样,可表现为高信号、等信号或低信号。第16天到3月,血栓在T1WI和T2WI上信号逐渐降低,T2WI信号明显降低,可变为低信号,T1WI则表现为等信号;由于血栓机化和再通,血栓信号变得不均一。
![]()
点击或扫描上方二维码
查看更多“介入”内容






