

病例信息
患者:74岁,女性。
主诉:头晕20天,伴行走不稳1天。
现病史:患者于20天前无明显诱因出现头晕,坐起、平卧及转动头位时发作,自觉天旋地转感,伴恶心,症状持续约数秒钟缓解,无呕吐、视物重影,无吞咽困难及饮水呛咳,无言语不利,无耳鸣耳堵耳胀,无肢体麻木无力等,症状间断发作,在当地医院输液治疗(具体不详)后症未见好转。1天前患者出现行走不稳走路左偏,伴有双下肢乏力,无肢体麻木,为进一步诊治来我院门诊就诊,以"头晕待查"收入我科。
既往史:高血压病史10余年,血压最高160/100mmHg,否认"冠心病、糖尿病"史,否认食物、药物过敏史。
术前影像资料
术前辅助检查:








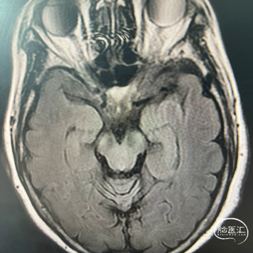
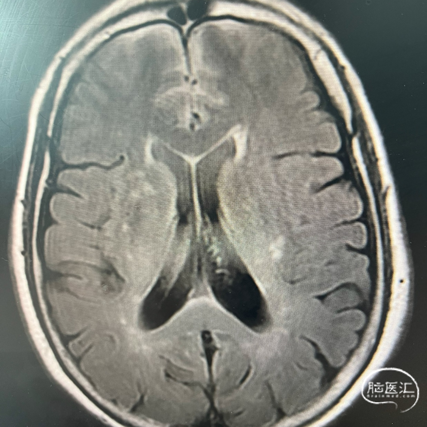
术前FLAIR








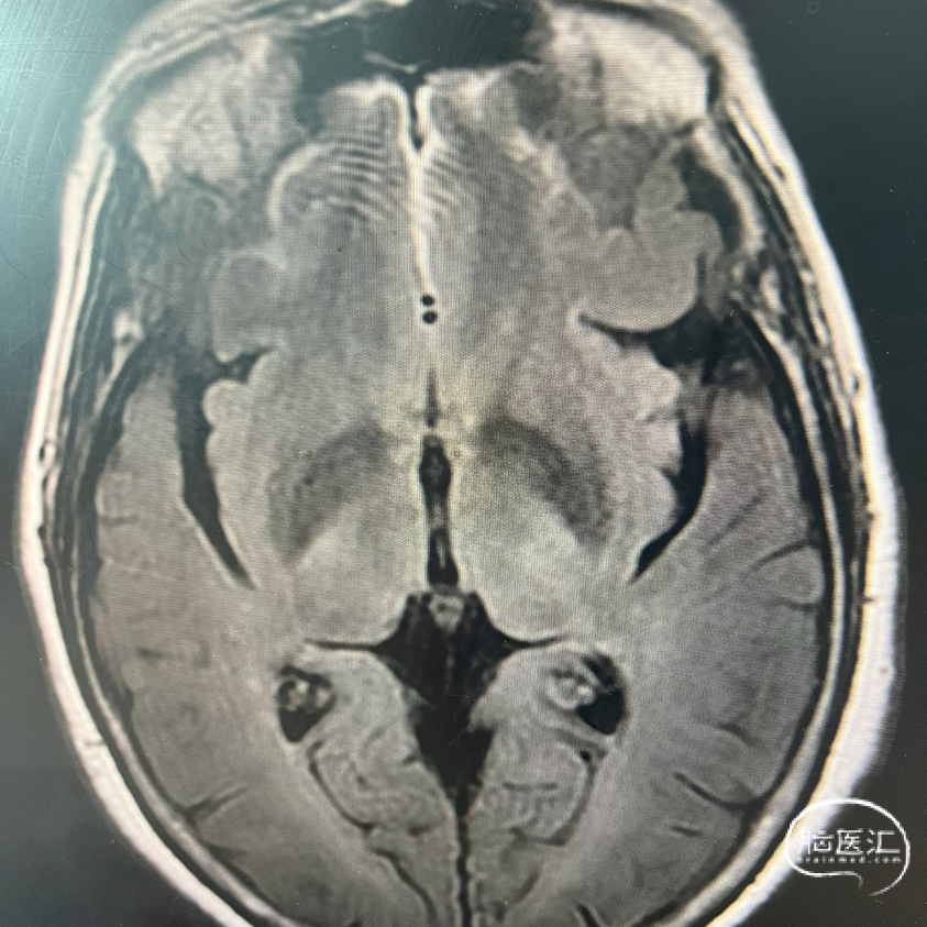
术前DWI


术前MRA
影像学表现:
1、主动脉弓及其他弓上血管,III型弓,弓上血管迂曲,血管通畅。
2、颈内动脉系统:
右侧颈总动脉及颈内动脉血管通畅,远端右侧大脑中动脉血流通畅,可见同侧及对侧大脑前动脉显影。
左侧颈总动脉及颈内动脉血流通畅,后交通开放,可见同侧大脑后动脉显影,大脑前动脉血流通畅。
3、椎基底动脉系统:
右侧椎动脉优势型。
左侧椎动脉血管纤细,远端可见基底动脉浅淡显影。
右侧椎动脉优势型,远端汇入基底动脉。
基底动脉中段重度狭窄,狭窄率约80%,双侧大脑后动脉可见显影。
术前DSA影像:








术前诊断及手术策略
术前诊断:
基底动脉狭窄(重度)
大脑动脉血栓形成引起的脑梗死
高血压病2级(很高危)
(左)膝关节术后
十二指肠术后
混合型高脂血症
肺多发结节
颈动脉硬化
手术方案:
经皮基底动脉球囊扩张血管成形术+经皮基底动脉支架置入术。
主要器械
6F 115cm 久事神康Valent®颅内支撑导管
2.0*10mm颅内扩张球囊
3.5*15mm Neuroform EZ支架
治疗过程
右侧桡动脉穿刺置动脉鞘,泥鳅导丝配合6F 115cm Valent®颅内支撑导管内嵌行至右侧锁骨下动脉近右侧椎动脉起始段处,将导丝配合中间导管上行至椎动脉V3段,撤出泥鳅导丝,手推造影,显示:基底动脉中段可见重度狭窄,狭窄率约80%。


将微导丝头端置右侧大脑后动脉,沿微导丝引入2.0*10mm球囊,小心扩张狭窄段,撤出球囊后造影,原有狭窄较前稍好转,沿微导丝引入支架用微导管置于基底动脉,撤出微导丝,保留微导管,沿微导管引入3.5*15mm Neuroform EZ支架,缓慢释放,复查造影,狭窄较前明显好转,支架贴壁良好。





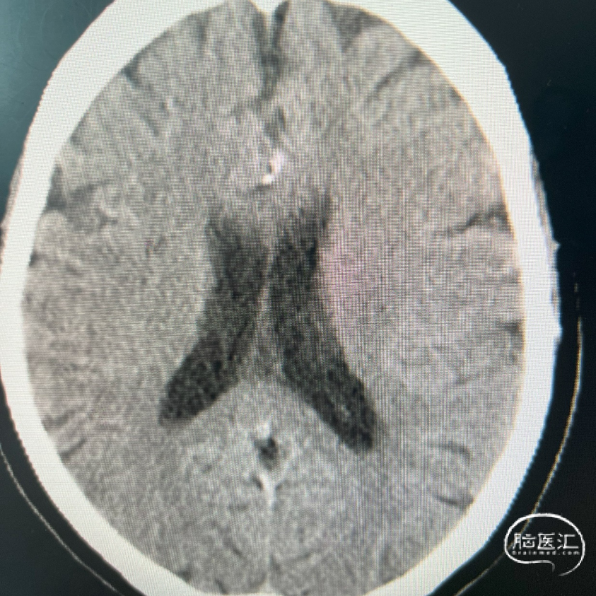
复查Dyna CT,颅内未见出血及造影剂外渗。








出院情况:
患者手术后头晕症状较入院时期明显减轻(可下地活动,活动时无明显发作,四肢活动自如,一般情况可)。
治疗体会
近年来,随着神经介入器材的快速发展,神经介入的技术也随之得到了很大的发展,经桡动脉入路行脑血管介入诊疗可以满足诸多临床需求且具有多种优势,如减少局部穿刺并发症、增加患者舒适度和满意度、缩短住院时间等。建立稳定的通路是决定经桡动脉入路脑血管介入诊疗能否顺利完成的最重要的技术环节。
在本例手术中我们使用了久事神康Valent®颅内支撑导管,术中通路稳定,在无规定外衬下仍具有良好的支撑性,为产品顺利释放成功提供了关键因素,近端支撑不易折,远端柔顺通过性优异,充分显示了导管经桡建立通路所需要的优异性能。
术者简介

徐国栋
河北省人民医院
神经介入科主任,医学博士,留美博士后,副主任医师,硕士生导师(专业型、科学型)
中国医师协会神经介入专委会委员
中国率中学会神经介入委员会青年委员
河北省医学会神经病学分会神经介入学组组长
河北省医师协会神经内科医师分会神经介入学组副组长
河北省医师协会神经内科医师分会委员
河北省急救医学会率中专业委员会副主委
河北省卒中学会急诊急救学组常委
河北省医学会介入医学分会常委
国际脉管联盟中国分会青年委员
石家庄市神经介入专业委员会委员
曾参与美国国立卫生院NIH课题1项,省级立项2项、厅级立项3项。获河北省科技进步奖一等奖1项,厅级科技进步奖一等奖1项,发表SC论文5篇,专业论著2部
从事神经介入工作十余年,专业特长:急性缺血性卒中溶栓、取栓术,颅内动脉支架置入术、颅内动脉慢闭开通术,弓上动脉支架术,颅内动脉瘤栓塞术、颅内动静脉畸形栓塞术、硬脑膜动静脉瘘栓塞术等

![]()
点击或扫描上方二维码
查看更多“介入”内容





