
Fastunnel®输送型球囊扩张导管,目前唯一同时具有球囊扩张和器械输送适应证的输送型球囊扩张导管,采用“球囊+微导管”一体化设计,1步完成球囊预扩张、支架释放、球囊后扩张全过程,相比传统手术减少10次交换步骤。引领“零交换”技术,减少器械交换,简化操作步骤,减少透视时间,减少造影剂剂量,缩短手术时间,降低手术风险,提高手术安全,开创ICAS血管内介入治疗新时代!

患者资料
入院查体情况
影像资料

术前CTP显示双侧头颅灌注基本对称。

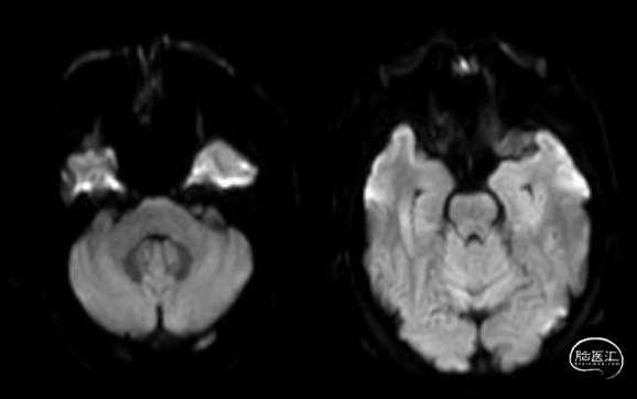
术前MRI-DWI显示延髓偏左侧亚急性腔梗灶,脑干偏右及右侧基底节区软化灶,脑干、双侧额顶叶、基底节区少许缺血灶。

术前高分辨MRI显示左侧椎动脉V4段远端近汇合处局部重度狭窄,右侧椎动脉V4段远端局部中度狭窄,基底动脉中远段局部中度狭窄 。

初步诊断
术前讨论
患者术前高分辨MRI提示左侧椎动脉V4段远端近汇合处局部重度狭窄,右侧椎动脉V4段远端局部中度狭窄,基底动脉中远段局部中度狭窄,结合CT、MRI及临床症状提示亚急性脑梗,高度怀疑左侧椎动脉V4段重度狭窄为本次脑梗死责任病变。因狭窄位于左侧椎动脉V4段远端近汇合处,且远侧基底动脉也存在狭窄病变,在球囊扩张、支架置入时应尽可能减少操作对病变的影响,故选择Fastunnel®输送型球囊扩张导管。
术中涉及介入器械选择
6F 中间导管
21系列 Fastunnel®输送型球囊扩张导管 2.5*10mm
0.014inch 微导丝
自膨式闭环支架 4.0*16mm
手术过程
双侧颈动脉造影证实前循环无明显异常。

双侧椎动脉造影显示左侧椎动脉V4段远端近汇合处局部重度狭窄,狭窄率约80%,基底动脉中远段局部中度狭窄,狭窄率约60%。







将0.021in内径的Fastunnel®输送型球囊扩张导管引入基底动脉,撤出微导丝,沿Fastunnel®输送型球囊扩张导管输送4.0*16mm 自膨式闭环支架,直至支架TIP与Fastunnel®输送型球囊扩张导管头端mark点重合后,释放支架。




术后情况


病例总结
术者简介
朱悦琦
上海交通大学医学院附属第六人民医院
介入科主任医师,医学博士,博士生导师,研究员(破格),放射科党支部书记,放射科行政副主任,中组部“万人计划”青年拔尖人才,Mayo Clinic访问学者
主要从事脑血管疾病、肿瘤和外周血管疾病的影像诊断和介入治疗。以第一通讯作者发表SCI论文60篇,总影响因子>430
中华放射学会介入学组青年委员
中国医师协会介入分会青年委员
上海市医学会脑卒中分会委员
上海市医师协会介入分会委员
上海市医师协会神经介入专委会委员(工作秘书)
上海市医学会肿瘤介入分会委员
获上海市启明星、浦江人才、上海市“医苑新星”杰出青年医学人才、上海市优秀博士学位论文成果、上海交大晨星学者计划、交大医学院双百人计划等资助
获“国之名医-青年新锐”、“中国介入新锐” 、“上海市卫生计生行业青年五四奖章”称号

![]()
点击或扫描上方二维码
查看更多“介入”内容







