66岁,女性。
偶然发现左侧大脑中动脉囊状动脉瘤(10×6×7mm)。
突发失语、构音障碍和右侧面部下垂。
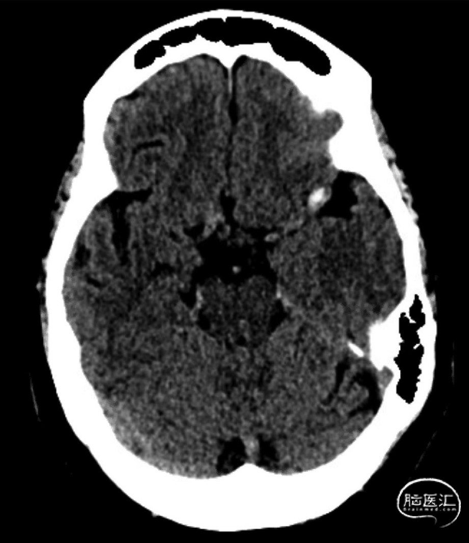
平扫CT(图1)可见MCA局部高密度信号为动脉瘤内血栓形成:

CTA(图2)显示左侧M2分叉处囊性动脉瘤。图A和B,动脉瘤内高信号(造影剂)。图C和D,血栓形成后动脉瘤内低信号。图E和F,左侧M2上干梗死:

高凝性检查显示为肺转移性恶性肿瘤。
总体而言,未破裂颅内动脉瘤不增加卒中的风险,但动脉瘤内血栓形成可引起缺血性卒中。动脉瘤内血栓形成可能是外科或介入手术的指征。
文献出处:
Stroke
. 2023 Jun;54(6):e237-e238. doi: 10.1161/STROKEAHA.123.043013. Epub 2023 May 4.
Ischemic Stroke Secondary to Middle Cerebral Artery Branch Occlusion From a Thrombosed Saccular Aneurysm
![]()
点击或扫描上方二维码
查看更多“介入”内容






