2023年07月21日发布 | 214阅读

恶之花——神经外科·脑瘤篇

蔡博文

四川大学华西医院

达人收藏

每周三的门诊是照例的"君子动口"时间,但就诊的患者多,满满的大半天,连喝水、方便都几乎没空,却也难言轻松。

最不费力的是术后随诊复查的患者,不少疗效很好的病家再次相见,情况稳定,称谢连连。医者也乐于收获这人情美美、颇有成就感的温馨时刻。

这几年单纯头疼脑热、只需简单处理或转诊的患者渐少,复杂的脑瘤病例偏多。

寄寓在人脑中枢、血管神经密集处的脑瘤对人的威胁堪称"心腹大患"。狞笑嘤嘤或面目狰狞的脑瘤与重要结构纠缠不休,一副"其奈我何"的狡黠、邪魅模样,实在是开放在人体深处的"罪恶之花"。

法国🇫🇷诗人夏尔·波德莱尔说:

"恶之为花,

其色艳而冷,

其香浓而远,

其态俏而诡,

其格高而幽,

——它绽放在地狱的边缘… "。

(夏尔·皮埃尔·波德莱尔Charles Pierre Baudelaire,1821年4月9日-1867年8月31日)

虽然时代进步,人类有了越来越多对付脑瘤的科学方法和技术手段,但如何以更高的安全性,更小的创伤、痛苦和代价来解除脑瘤的威胁还是颇费思量。

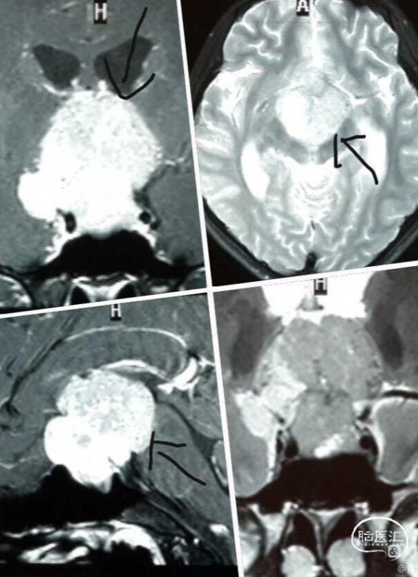
上午四个多小时是神外专家门诊,下午还有垂体瘤及相关疾病多学科专家的联合门诊。眼前层层叠叠、张牙舞爪的脑瘤影像不断晃动,深感责任重大自不必说。

痛苦、焦虑的患者值得同情和鼓励;理智而明辨事理的病家最能达成善意而有效的沟通;惶恐纠结者需要宽慰和开解。偶尔时运不济遇上颟顸无礼之人,就不仅颇费唇舌,甚至可能横生枝节,在胸臆难抒之外还有空间窘迫、气息不畅之感,端的是:

"才下眉头,

却上心头……"

😌

图为门诊的部分病例,说好的"养生手术"难见踪影。😍😃


专家简介

8a6cdceb030392a28a36f2ad6435598.jpg

蔡博文 主任医师


医学博士,主任医师,做神经外科医生30余年;

任华西医院垂体瘤及相关疾病诊疗中心副主任;

四川省医师协会颅底神经外科专委会副主任委员;

中国垂体瘤协作组专家;

中国医疗保健国际交流促进会神经外科专委会委员;

中国抗癌协会神经肿瘤专委会垂体瘤学组委员;

中国罕见病联盟下丘脑垂体学组委员等职。

声明:脑医汇旗下神外资讯、神介资讯、神内资讯、脑医咨询、Ai Brain 所发表内容之知识产权为脑医汇及主办方、原作者等相关权利人所有。

投稿邮箱:NAOYIHUI@163.com 

未经许可,禁止进行转载、摘编、复制、裁切、录制等。经许可授权使用,亦须注明来源。欢迎转发、分享。

最新评论
发表你的评论
发表你的评论
关键词搜索