

扫描左侧二维码
进入健适医疗品牌专区
01
病例简介
基本信息
患者:女,66岁,以“突发意识不清2小时”代诉于急诊就诊。
简要病史:家属2小时前发现患者跌倒在地、呼之不应、意识不清及小便失禁,呼120急救测心率波动在30-35次/分,遂来诊。急诊行颅脑CT平扫示:1、右侧额顶颞叶密度稍减低,考虑脑梗死可能;2、右侧大脑中动脉走形区高密度影;3、双侧侧脑室旁白质脱髓鞘改变并多发腔梗;4、脑萎缩。颅脑MRI平扫+MRA+DWI示:1、右侧额颞岛叶、侧脑室旁、基底节区脑梗死(超急性期);2、脑室旁、深部脑白质高信号Fazekas 1级;3、脑萎缩;4、MRA示:右侧颈内动脉、大脑中动脉及右侧大脑前动脉局部管腔未见显示,考虑严重狭窄或闭塞,左侧椎动脉颅内段纤细。急诊以“大面积脑梗死”经绿色通道收入我科,自发病以来,患者未进食,小便失禁,未排大便,体重变化不明显。
既往病史:“高血压病”病史10余年,测最高血压160/100mmHg,长期口服“吲达帕胺片2.5mg 1次/日、美托洛尔12.5mg 2次/日”降压治疗,血压波动在140/90mmHg。“2型糖尿病”病史10余年,目前降糖方案为“门冬胰岛素30 16u、20u 2次/日”,未规律监测血糖。3年前诊断为“Ⅰ型呼吸衰竭、慢性肺源性心脏病急性加重、肺动脉高压(重度)、房间隔缺损(中央型)、心包积液(少量)”,此后患者出现睡眠差,夜间使用家用无创呼吸机辅助通气;曾诊断“腹盆腔积液;胆囊炎;右肾错构瘤;多发腔梗;脑萎缩;双侧股静脉瓣膜功能不全;室性早搏;高尿酸血症”。否认乙肝、结核等传染病史及其密切接触史。否认手术外伤史。否认药物、食物过敏史。否认输血史。预防接种史不详。
入院查体:体温:36.2℃,脉搏:52次/分,呼吸:20次/分,血压:97/48mmHg。双肺呼吸音清,未闻及明显干、湿性啰音。心律不齐,心音低,胸骨左缘第二肋间闻及2/6级收缩期杂音。腹平软,压痛及反跳痛查体欠配合。神经系统查体:意识浅昏迷,双侧瞳孔等大等圆,直径3mm,对光反射迟钝,双眼向右侧凝视。左侧肢体坠落试验阳性,右侧肢体可见自主运动,四肢肌张力增高,左侧显著。四肢腱反射对称(++),感觉及共济运动查体不合作。双侧巴氏征阳性。脑膜刺激征(-)。
02
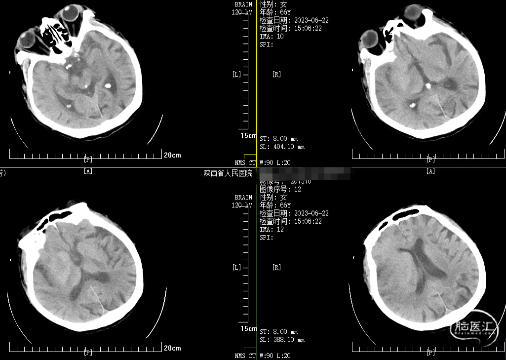
术前影像学
急诊CT




术前急诊MRA提示:右侧颈内动脉、大脑中动脉及右侧大脑前动脉局部管腔未见显示,考虑严重狭窄或闭塞。


急诊心电图

03
术前诊断评估
老年女患,既往基础疾病多,本次急性起病,以“突发意识不清2小时 ”代诉入院。
神经系统查体:意识浅昏迷,双侧瞳孔等大等圆,直径3mm,对光反射迟钝,双眼向右侧凝视。左侧肢体坠落试验阳性,右侧肢体可见自主运动,四肢肌张力增高,左侧著。四肢腱反射对称(++),感觉及共济运动查体不合作。双侧巴氏征阳性。脑膜刺激征(-)。
颅脑磁共振提示右侧额颞岛叶、侧脑室旁、基底节区脑梗死(超急性期),MRA示:右侧颈内动脉、大脑中动脉及右侧大脑前动脉局部管腔未见显示,考虑严重狭窄或闭塞。
颅脑DWI与Flair成像存在错配,颅脑CT的ASPECT评分小于6分,NIHSS评分25分。
综上提示患者颅内存在大核心梗死区域且可能进行性加重,随时有生命危险,家属手术意愿强烈,目前认为大核心梗死急诊取栓手术仍可能获益,可考虑急诊取栓。
1.急性大面积脑梗死 2.右侧颈内动脉闭塞 3.慢性肺源性心脏病 4.肺动脉高压重度 5.房间隔缺损 6.室性期前收缩 7.心包积液(少量)8.高血压病2级(极高危)9.2型糖尿病 10.右肾错构瘤
66岁女患,急性起病,起病2小时,临床主要表现为意识障碍及左侧肢体瘫痪。神经系统查体:意识浅昏迷,双侧瞳孔等大等圆,直径3mm,对光反射迟钝,双眼向右侧凝视。左侧肢体坠落试验阳性,右侧肢体可见自主运动,四肢肌张力增高,左侧著。四肢腱反射对称(++),感觉及共济运动查体不合作。双侧巴氏征阳性。脑膜刺激征(-)。颅脑CT+MR支持:大面积脑梗死、右侧颈内动脉闭塞诊断,颅脑DWI与Flair成像存在错配,颅脑CT的ASPECT评分小于6分,NIHSS评分25分。
心源性栓塞型。
抽吸导管联合取栓支架治疗术。
ACE 68抽吸导管
3MAX 抽吸导管
8F动脉鞘组
0.035"泥鳅导丝
5F单弯造影管
5F多功能管
8F的球囊导引导管
0.014" Sychro-2微导丝
XT-27微导管
6x30mm 取栓支架
04
手术过程
左右滑动切换图片
立即行右侧颈内动脉取栓术,将8F的球囊导引导管放置在颈内动脉起始端,在微导丝和微导管的引导下,将 ACE 68抽吸导管置于右侧颈内动脉血栓近端,充盈球囊导引导管球囊,注射器抽吸ACE 68,抽吸出大量血栓。






抽吸血栓后造影显示右侧颈内动脉、大脑前动脉、大脑中动脉完全再通,TICI分级:3级。右侧大脑中动脉下干M2段远端有血栓逃逸。如下为正、侧位造影影像。


经微导管用微导丝碎栓,血栓未破碎,冒烟显示分支远段仍闭塞;退出微导丝给予替罗非班(0.05mg/ml)5ml动脉团注,远段栓塞血管仍不能再通。


给予3MAX抽吸血栓,右侧大脑中动脉下干M2段取栓仍失败。造影显示右侧颈内动脉、大脑前动脉,TICI分级:3级;右侧大脑中动脉不全再通,TICI分级:2b级。由于患者右侧大脑中动脉M1段迂曲,张力过高,为避免脑出血等并发症,遂停止手术。




04
术后管理
严格控制血压在90-120/60-80mmHg,右美托咪定持续泵入2ml/h(4μg/ml)镇静;
改善循环,营养神经,抗凝(24小时头颅CT排除出血后),他汀强化(阿托伐他钙片 40mg/晚);
对症等治疗。
05
总结和讨论
近端阻断血流,裸导丝支架、双抽吸,抽吸力强。
球囊导引导管(BGC)+中间导管→双抽吸+取栓支架。
球囊导引导管到c1以远,起到支撑作用通路作用。
该病例为颈内动脉起始段闭塞合并大负荷血栓,手术难点在于尽快开通血管,同时还要防止血栓逃逸,采用何种手术策略至关重要!选用球囊导引导管(BGC)是一个明智的选择。
该病例右侧颈内动脉再通后发现右侧大脑中动脉下干M2段远端有血栓逃逸,采用导管内“替罗非班”药物溶栓,可能是心源性栓子缘故,分支动脉不能被药物再通。
3MAX 抽吸导管能够到达血管分支对血栓进行接触抽吸,但该病例3MAX 抽吸导管并未发挥其远端抽吸的优势,右侧大脑中动脉下干M2段远端仍未再通。
1.球囊导引导管(BGC)不仅可承担导引的基础功能,还能封堵血流,防止血栓漂流、逃逸。
2.ACE 68抽吸导管内腔大,抽吸血栓的效率高,配合负压吸引泵让急诊取栓手术变得轻松、高效。
3.ACE 68抽吸导管输送性能强,6F的外径能够深入较远的血管腔,如大脑中动脉M1段等。ACE 68抽吸导管兼容3MAX 抽吸导管。3MAX 抽吸导管通过性好,能够到达血管分支对血栓进行接触抽吸。
4.取栓支架配合ACE 68抽吸导管采用“抽拉结合”方法尽可能抽拉出血栓,并防止血栓逃逸。
5.抽吸时采用踹马桶技术+持续抽吸技术优势明显。踹马桶技术大多能“含住”血栓并将血栓移至到导管内,此时再用抽吸泵持续抽吸,能够协同互补,提高抽吸导管的效率。
6.该病例右侧颈内动脉再通后发现右侧大脑中动脉下干M2段远端有血栓逃逸,是否是BGC管口有血栓附着?可尝试刮栓法:保持BGC充盈,微导管及支架复合体直接送至BGC管口不远处2cm后释放,然后负压下后撤微导管及支架,反复几次,清除BGC管口血栓,防止泄压后逃逸。
手术团队介绍
程仙送
陕西省人民医院
神经内科主治医生,中共党员,硕士研究生,毕业于武汉大学医学部神经病学专业
陕西省卒中学会会员
陕西神经介入专业委员会会员
陕西省卒中学会科普分会委员
从事神经内科临床工作十余年,擅长急性脑血管病、神经介入治疗、中枢神经系统感染、神经脱髓鞘疾病等
发表科研论文包括《多巴丝肼、金刚烷胺联合普拉克索治疗帕金森病对神经康复进程的影响》、《奥氮平与利培酮治疗老年痴呆精神行为障碍的临床疗效》、《陕西省2014-2017年3种类型脑膜炎的临床特点变化》、《多巴丝肼片联合普拉克索治疗帕金森病患者的临床效果分析》、《长春西汀对颅内动脉狭窄支架置入术后患者多为认知功能的保护作用》、《表现为偏侧多颅神经麻痹的 IgA κ型多发性骨髓瘤 1 例》、《以多颅神经麻痹为首发症状的头颈部肿瘤临床分析》、《Clinical efficacy of clinical nerve intervention in the treatment of cerebrovascular diseases》等十余篇
参与多项陕西省自然科学基金、国家自然科学基金课题研究。曾多次被评为优秀党员、先进个人
刘军
陕西省人民医院
主任医师,神经内一科副主任,毕业于西安医科大学医疗系
陕西省介入学会常委
陕西省癫痫学会常委
自1988以来一直从事神经内科工作,目前主要从事脑血管病介入治疗及诊断,包括颅内动脉狭窄,颈动脉狭窄支架成形术等,脑动脉瘤、脑动静脉畸形栓塞术等,超早期动脉溶栓,取栓等,脑静脉系统溶栓等,除此之外,对神经系统常见疾病如帕金森病等变性疾病,及运动神经元病,癫痫,神经系统感染性疾病等有较丰富经验
胡军
陕西省人民医院
神经内一科,副主任医师,医学博士,毕业于第三军医大学
陕西省医学会神经病学分会神经介入学组委员
陕西省卒中学会神经介入学组委员
陕西省保健学会神经内科专业委员会委员
西安医学会神经内科学分会青委会委员
西安市医学会神经介入分会委员

点击或扫描上方二维码
查看更多“介入”内容














