中南大学湘雅医院神经外科刘庆教授团队通过机器人手术显微镜K900下QEVO超微观察镜在脑肿瘤手术中的应用,总结了“双镜联合”在脑肿瘤手术中的相关经验、价值和优势;以下是关于【双镜联合】海绵状血管瘤切除术的病例分享,欢迎大家阅读、转发和分享!
蔡司机器人手术显微镜K900和QEVO超微观察镜双镜联合的价值和优势:
01

02

03


病情摘要
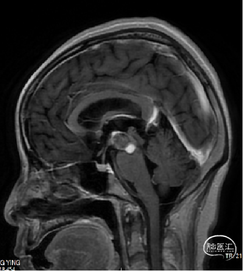
术前诊断:中脑及脑桥左份、左侧基底节区占位:海绵状血管瘤可能。
拟施手术:显微镜下脑干肿物切除术。

术前MRI





手术经过
手术主要过程:

双镜联合术后探查


术后情况

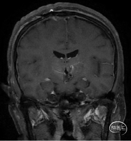
术后MRI






作者简介

刘庆 教授
中南大学湘雅医院
医学博士,留美博士后,教授、博士生导师
2014年晋升主任医师,同年获聘中南大学升华学者特聘教授,博士生导师
湖南省颅底外科与神经肿瘤研究中心主任
中南大学神经外科研究所副所长
中南大学湘雅医院神经外科副主任兼颅底神经外科主任
欧美同学会医师协会颅底外科分会副主任委员
中国解剖学会神经解剖学分会副主任委员
中国医药教育协会神经外科专委会副主任委员
湖南省医学会神经外科专业委员会副主任委员
中华医学会神经外科分会神经肿瘤学组委员
中国医师协会神经外科分会颅底外科专委会专家
湖南省抗癌协会神经肿瘤委员会副主任委员
中华医学会神经外科分会青年委员会秘书长
《中国耳鼻咽喉颅底外科杂志》副主编、《Chinese Neurosurgical Journal》等杂志编委和审稿专家、国家自然科学基金项目评审专家
入选湖南省高层次卫生人才“225”工程学科骨干人才,被评为“湖南省青年岗位能手”
每年完成各类复杂颅脑肿瘤显微手术或内镜手术500余例,疗效达国内领先水平,尤其在复杂颅底肿瘤、丘脑脑干肿瘤、深部胶质瘤等领域有独到的见解和较深的学术造诣
主持或完成科技部重大研发计划项目、国家十二五、十三五科技支撑计划项目、国家自然科学基金项目、湖南省科技计划重点项目等10余项。以第一或通讯作者在Advanced Science,Neuro-oncology、Clin Transl Med、Journal of Neurosurgery、 Neurosurgery、Frontiers in Oncology等国内外核心期刊发表基础或临床研究学术论著60余篇,主译《神经外科医师手册》、《脊索瘤》、《荧光引导神经外科学》等专著3部。获湖南省科技成果奖2项
声明:脑医汇旗下神外资讯、神介资讯、神内资讯、脑医咨询、AiBrain 所发表内容之知识产权为脑医汇及主办方、原作者等相关权利人所有。