男,15岁,因头痛1月入院。
体查:第二性征发育迟缓。
实验室检查:血AFP、β-HCG正常范围。
影像学资料:
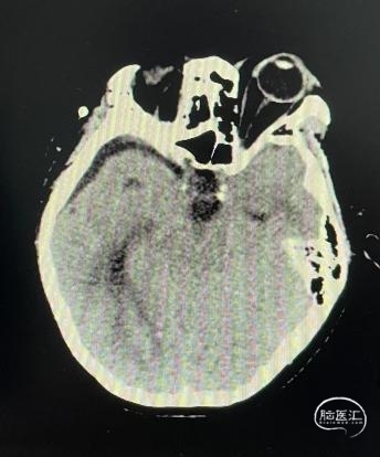
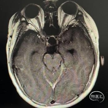
术前:



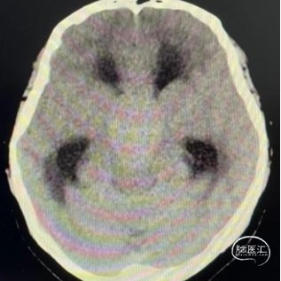
头部CT平扫显示:全鞍型蝶窦,鞍区-鞍上区-第三脑室可见一混杂密度肿块,内可见多发钙化灶,最大层面大小约43mm*35mm(左右径-前后径),CT值30HU,双侧脑室明显扩张,室旁可见对称性条片状低密度灶。






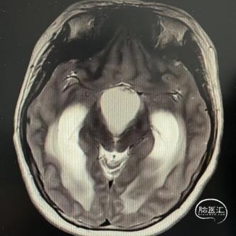
头部MRI显示:鞍区-鞍上区-第三脑室可见一不规则囊状长T1极长T2信号灶,大小约43mm*32mm*43mm,增强后可见病灶不均匀明显强化。垂体及视交叉未见显示,双侧脑室扩张,双侧脑室旁可见对称性斑片状长T1长T2信号灶。
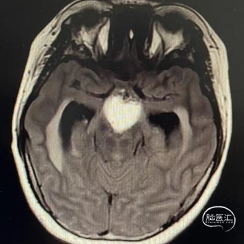
术后:

肿瘤大体观

术后CT



术后MRI
在显微镜下经右侧额下联合终板入路全切除肿瘤,术后视力同术前。
病理检查:造釉细胞型颅咽管瘤伴钙化。
体会总结
综合该患者术前资料,考虑第一诊断为颅咽管瘤。术前曾考虑经蝶入路。但分析影像学资料后认为其囊内容物可能并非全为液态成分。遂实施开颅手术切除肿瘤。
术中见肿瘤为囊性,释放囊液、瘤内减压后肿瘤塌陷不明显,且囊壁类似荔枝壳样厚韧,与脑组织接触面密布钙化样小突起,并有滋养小血管爬行其上。切除过程中感觉到肿瘤似深陷在淤泥之中,常有原地不动感。唯在游离所有肿瘤面后才使得肿瘤有所松动,进而切除肿瘤。




