2023年07月13日发布 | 198阅读

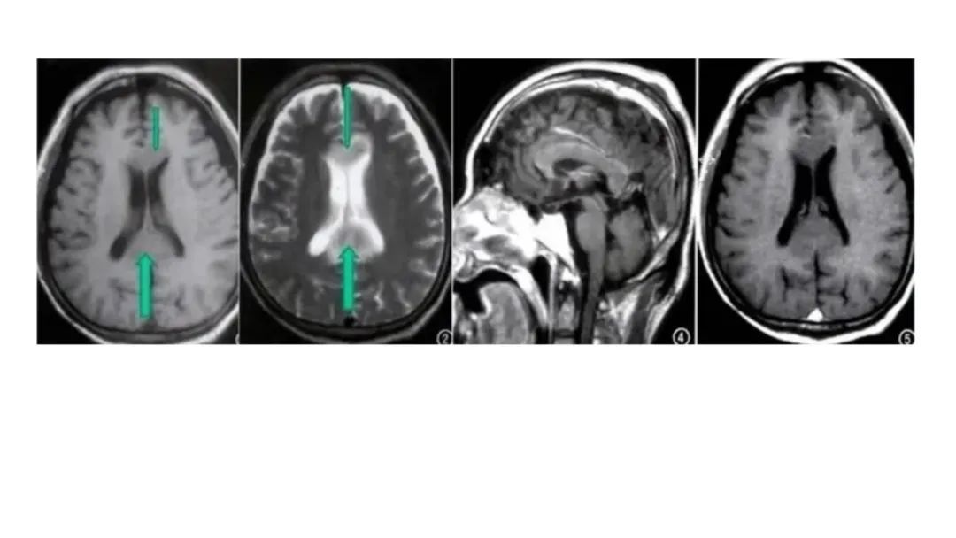
颅脑影像诊断基础知识讲座:中毒性脑病

马洪舟

菏泽市立医院

达人收藏、周刊收录2项荣誉

本文来源于公众号:蛛丝马迹学影像

声明:脑医汇旗下神外资讯、神介资讯、神内资讯、脑医咨询、Ai Brain 所发表内容之知识产权为脑医汇及主办方、原作者等相关权利人所有。

投稿邮箱:NAOYIHUI@163.com 

未经许可,禁止进行转载、摘编、复制、裁切、录制等。经许可授权使用,亦须注明来源。欢迎转发、分享。

最新评论
发表你的评论
发表你的评论

神经影像

774内容1055阅读

进圈子