对于PICA 这个部位的动脉瘤来说,因其位置的特殊性及PICA 的重要性,手术难度是比较高的。一般来说要保护好PICA 主要靠支架的辅助来栓塞动脉瘤、或者对于未破裂动脉瘤来说可以使用密网支架来化繁为简、手术难度简单化。但是,患者是已经破裂出血的动脉瘤,使用密网支架并不符合指征。这次因为情况的特殊性,原本也想使用常规的方式——支架辅助下栓塞动脉瘤,最终却只使用了一根微导丝辅助下成功栓塞了动脉瘤。心里有点儿成功的喜悦,与各位分享。
女性患者,高龄,68岁。突发头痛4小时入院。行头部CT+CTA 确诊为“自发性蛛网膜下腔出血,右侧PICA破裂动脉瘤 ”。家属选择介入治疗。术前根据CTA 的结果认为尽管动脉瘤是PICA 动脉瘤,但是应该是可以使用完成手术的,毕竟之前这个部位的动脉瘤也使用过支架辅助下成功手术过。尽管颈部CTA 提示同侧椎动脉开口狭窄、PICA 与椎动脉的夹角呈锐角,支架导管也是可以从对侧椎动脉翻山跨过双侧椎动脉汇合部到达PICA 内。手术尽管有难度但是应该可以完成的。如此信心满满的上手术台。但是造影后却郁闷了。发现手术难度大大的超过术前设想。





病人因为高龄、血管条件不好,到处硬化、斑块。同侧椎动脉开口狭窄,对侧椎动脉迂曲明显。PICA 从瘤颈发出。微导丝超选到位应该难度很大且风险极高。从对侧通过翻山越岭技术因为只有唯一的一根中间导管,所以只能硬着头皮从右侧椎动脉入路。



同侧椎动脉的开口狭窄,置入中间导管后血流不通畅。不得不进行开口的扩张。这倒是简单。扩张后顺利将中间导管置入合适位置。开始进行真正的动脉瘤栓塞术。
但是换用了三种微导丝都是难以将微导丝进入到PICA 的远端。考虑可能是动脉瘤稍远的PICA 内有斑块阻挡。微导丝不能到达远端,支架导管就不能进入其内,采取支架辅助栓塞动脉瘤已经不现实了。但是手术不可能放弃呀。曾经也拜读过有同道的文章采取微导丝来辅助栓塞动脉瘤、只能尝试一下了,但是风险更大、难度更高。不过令人欣慰的是经过反复的调整,第一个成篮圈非常满意。

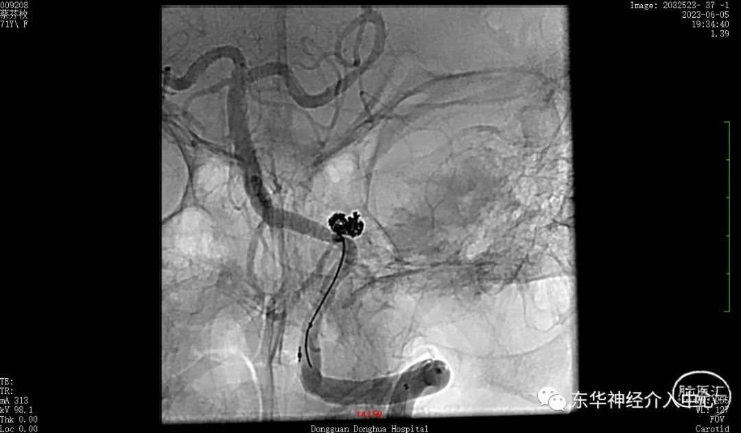
如此信心大增。继续填塞。终于满意的将动脉瘤栓塞,动脉瘤完全不显影。


换一个角度看弹簧圈的形态与动脉瘤的形态基本一致了。

继续换另外一个角度看瘤颈无任何残留。

可见载瘤动脉内微导丝与动脉瘤有间隙,说明动脉瘤成蓝非常满意。
术后3D DSA动态显示栓塞满意、PICA血流无任何影响。
从这个病例的来看,做任何事情之前尽管有多种预案,但是“计划赶不上变化”,何况是高难度的手术呢。需要术者的临场应变能力、多种技术手段的运用、平时积累丰富的经验。当然运气也是需要一点点。嘿嘿![]()
![]()
![]()
![]()
声明:脑医汇旗下神外资讯、神介资讯、神内资讯、脑医咨询、AiBrain 所发表内容之知识产权为脑医汇及主办方、原作者等相关权利人所有。




