
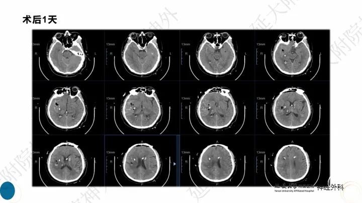
今天为大家分享的是《监测有道丨颅脑创伤-神经重症周刊》第323期,由延安大学附属医院神经外科贾云峰主任医师带来的:右侧基底节区大量脑出血内镜下血肿清除术,欢迎阅读、分享。
病例分享




















专家简介
贾云峰 主任医师
延安大学附属医院
延安大学附属医院神经外科主任医师、神经外科党支部书记、副主任
延安医疗集团神经外科专科联盟秘书长
中国研究型医院学会脊髓脊柱专业委员会青年学组委员
中国医师协会神经修复委员会多模态影像技术神经修复委员
中国医师协会急诊分会神经急诊委员会委员
中国医药教育协会神经内镜与微创医学专业委员
陕西省保健学会急诊创伤委员会副主任委员
陕西省保健学会神外专业委员会常委、脊髓脊柱委员会常委
陕西省医师协会院前急救专业委员会委员
陕西省科普宣讲团专家
长期从事神经外科疾病的基础与临床研究。专长于神经急危重症综合治疗、神经内镜脑出血微创手术、脊髓脊柱疾病显微外科微创治疗、颅内及脊髓肿瘤、脑血管病、脑、脊髓先天畸形的微创治疗。参与主持完成科研项目《尼莫地平对脊髓损伤的作用研究》等,获陕西省自然科学优秀论文奖。参与国家卫健委牵头的《自发性脑出血的多中心登记研究》等项目研究及《脑出血患者颅内压监测》《脑出血后脑水肿的治疗》专家共识的制定。以第一作者在国内外发表核心期刊20余篇,SCI收录文章1篇,多次应邀在中华医学会、中国医师协会全国神经外科学年会交流发言。主编及参编著作3部,国家发明专利2项
折刚刚 主治医师
延安大学附属医院
延安大学附属医院神经外科主治医师
延安大学第一临床医学院及复旦大学附属华山医院联合培养硕士研究生
延安医疗集团神经外科专科联盟后备青年专家
陕西省保健学会急诊创伤委员会委员
有长期的神经重症及神经外科联合轮转学习经历
复旦大学附属华山医院联合培养期间师从高场强术中磁共振手术室负责人吴劲松教授,专攻脑胶质瘤,掌握了胶质瘤国际前沿的发展动态,进行了系统的科研能力培养
参与“磁共振波谱指引下高级别胶质瘤手术切除程度与预后关系研究”课题,独立撰写科研计划书及伦理申请发表论文涉及影像基因组学、神经内镜脑出血、ERAS理念等前沿课题
声明:脑医汇旗下神外资讯、神介资讯、神内资讯、脑医咨询、AiBrain 所发表内容之知识产权为脑医汇及主办方、原作者等相关权利人所有。







