
术者寄语
为成功实现颅内动脉瘤的血管内介入治疗,需要选择适宜的中间导管以及导引导管建立稳定的治疗通路,在中间导管或导引导管到达目标血管位置并且能为后续治疗过程提供强有力支撑的前提下,微导管或支架导管才能保持稳定,从而在降低动脉瘤术中破裂风险的同时达到治疗目的。因此在动脉瘤手术中有必要选择通过性能及抗打折性能良好的中间导引导管。
Tethys®中间导引导管是一款优秀的国产中间导管,其远端16cm的柔软头端设计、线圈+编织的复合渐变结构使其在便于输送(到位率高)的同时还提高了导管的可操控性能和抗折性能,并有很好的支撑性。在此,我们分享1例通过应用TRUST技术经桡建立通路,使用加奇生物的Tethys®中间导引导管成功进行血管内治疗的形状不规则的左侧颈内动脉床突段宽颈动脉瘤患者的治疗体会。
TRUST经桡中间导管同轴技术(Trans-Radial coaxial catheter technique Using a short sheath,Simmons catheter and Tethys intermediate catheter),使用短鞘+Simmons导管+Tethys®中间导引导管的组合,充分利用短鞘相对于长鞘低闭塞率,使用短鞘配合中间导管,降低使用长鞘的高闭塞率;中间导管内衬Simmons造影导管同轴操作,提供内支撑及超选,并简化操作步骤,降低器械交换造成的并发症风险;利用Tethys®中间导引导管远端柔软导管先行优势,弓部支撑不易折,远端高到位的特点进行通路搭建。

01 / 病史简介
患者基本信息
患者,女性,62岁,因“头昏头痛3年,检查发现颅内动脉瘤2年”入院。
简要病史
现病史:患者3年前无明显诱因下出现头昏头痛,于外院就诊完善头颈部CTA检查提示左侧颈内动脉床突旁动脉瘤,予以观察及药物治疗(具体不详),自诉症状有所好转;2周前患者再次出现头昏头痛症状,于外院就诊,完善DSA全脑血管造影提示左侧颈内动脉床突旁动脉瘤,为求进一步诊疗,于我院就诊。
既往史:否认高血压、糖尿病、慢性支气管炎等慢性病病史。既往阑尾切除术病史。
查体情况
神志清楚,GCS评分15分,双侧瞳孔等大等圆,瞳孔大小约3mm,对光反射敏感;眼球活动未见明显异常;视力及听力粗测未见明显异常;口角未见明显倾斜,伸舌居中;吐词清晰;四肢可自主活动。
Hunt-Hess分级为0级。
术前影像学检查
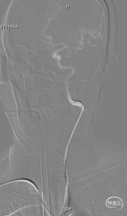
术前DSA:左侧颈内动脉床突旁动脉瘤,形态不规则,大小约5.7mm x 5.9mm。

02 / 治疗经过
初步诊断
左侧颈内动脉床突旁动脉瘤
术前讨论
患者DSA血管造影提示左侧颈内动脉床突旁动脉瘤,动脉瘤形态不规则、瘤颈较宽,具有一定的破裂出血风险,对于破裂风险较高的低Hunt-Hess分级未破裂动脉瘤,建议予以积极治疗从而避免动脉瘤破裂出血造成严重后果。
手术方案及制定依据
1. 首选血管内介入治疗。由于该患者的动脉瘤瘤颈较宽,选择支架辅助栓塞。
2. 稳定通路的建立是成功治疗的前提,在动脉瘤血管内介入治疗过程中建立支撑稳定的通路可以提高手术成功率及减少术中动脉瘤破裂风险。在该手术中,选择通过性及稳定性高的Tethys®中间导引导管经桡动脉使用TRUST经桡中间导管同轴技术建立治疗通路。Tethys®中间导引导管远端具有16cm的柔软段,有优异的通过性和抗打折能力,通过弯曲部位时不易回弹,能够提高弹簧圈栓塞过程中的稳定性。
术中涉及介入器械选择
6F桡动脉薄壁短鞘
5F Simmon导管
微导丝、微导管
支架
6F-105cm Tethys®中间导引导管
手术过程
右侧桡动脉穿刺,穿刺成功后置入6F薄壁动脉鞘,随后使用TRUST技术置入Tethys®中间导引导管(内衬5F Simmon导管)输送至锁骨下动脉,弓上勾选至左侧颈总动脉后,Tethys®中间导引导管顺滑输送至左侧颈内动脉成功建立治疗通路,为后续致密栓塞及释放支架提供重要支撑.


建立治疗通路后,在微导丝引导下分别将塑性好的弹簧圈微导管及支架微导管超选至左侧颈内动脉床突旁动脉瘤及左侧大脑中动脉远端;释放支架后,填入弹簧圈实现动脉瘤的致密填塞;在整个过程中Tethys®中间导引导管提供稳定支撑。

术后造影提示动脉瘤内弹簧圈致密填塞,动脉瘤不显影,瘤颈封堵可,左侧颈内动脉通畅。

术后情况
术后患者神经系统功能无异常。mRS评分0分。
03 / 病例小结
在中间导管或导引导管到达目标血管位置并且能为后续治疗过程提供强有力支撑时,微导管或支架导管方能保持稳定,进而降低动脉瘤术中破裂风险,实现安全有效的治疗。
建立稳定的治疗通路是保证手术安全和有效的必要保障,选择通过性能及抗打折性能良好的中间导引导管能够降低术中建立治疗通路的难度。
Tethys®中间导引导管近端支撑力良好,术中稳定性好,操控性良好,借助TRUST技术经桡建立通路,可为动脉瘤的介入栓塞手术提供稳定支撑。使用短鞘+内衬造影导管+Tethys®中间导引导管的组合,充分利用短鞘相对于长鞘低闭塞率,使用短鞘配合中间导管,降低使用长鞘的高闭塞率;中间导管内衬造影导管同轴操作,提供内支撑及超选,并简化操作步骤,降低器械交换造成的并发症风险;利用Tethys®中间导引导管远端柔软导管先行优势,弓部支撑不易折,远端高到位的特点进行通路搭建,Tethys®中间导引导管头端柔软,到位性好,可在高到位的同时减少对血管壁的刺激。
术者简介
郭宗铎
重庆医科大学附属第一医院
医学博士,留美学者,主任医师、副教授,博士研究生导师,博士后合作导师。
重庆市中青年医学高端人才。从事神经外科临床科研及教学工作近20年,专注于脑血管疾病的微创手术治疗。尤其擅长利用多种手段治疗复杂脑动脉瘤、脑血管畸形、脑动脉狭窄等脑血管疾病。主持国家自然科学基金3项,发表SCI论文五十余篇。
现任中华医学会神经外科学分会青年委员;中国卒中学会脑血管外科分会委员;NRR杂志(SCI)中国区域青年编委;Frontiers in neuroscience杂志编委;重庆市医学会神经外科学分会青年委员会副主任委员;重庆市医学会神经外科学分会脑血管外科学组委员;重庆市医学会神经外科学分会神经介入学组委员等。
特别说明:本页面所包含的文字、图片、音视频等内容仅供医学专业人士参考。本页面所包含的内容,仅为专家个人观点,不能代替医疗专业人士的判断。本页面不向非医学专业人士开放,敬请理解。
点击或扫描上方二维码
查看更多“介入”内容








