患者 女,66岁,因“头晕5年加重10天”入院。
患者头晕5年加重10天。
查体:神清,无特殊。
外院影像考虑脑膜瘤?室管膜瘤?
既往高血压病史,控制可。
诊断:1.颅内占位性病变(左侧侧脑室三角区,脑膜瘤)2.高血压
术前情况
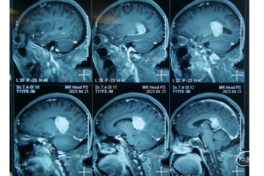
2023.04.21外院MR
(左右滑动查看更多)
诊疗计划
治疗计划:
1.完善术前检查,做好导航准备;全麻,术中导航,气动臂,神经内镜(Karl STORZ公司),通道为Endoport(7X2cm);
2.术中腰大池引流,体位为左侧侧卧位,三钉头架固定,即行腰大池置管引流术,缓慢释放脑脊液待硬膜切开时量约50ml;
3.左脑室内占位切除术(神经内镜下对侧纵裂经大脑镰经楔前叶入路 电生理 导航);
4.术后腰大池引流保留2天,复查头颅CT,磁共振,病情平稳后拔除。
术中情况

术后影像




术后磁共振



出院情况

术后患者神志清楚,无失语,无视力视野等神经功能障碍。

讨论
01
1.结合病史体征及辅助检查诊断左侧侧脑室三角区脑膜瘤明确;
2.肿瘤具有明显的占位效应,无明显的手术禁忌,故手术切除指征明确;
3.手术方案:
1)左侧三角区入路,肿瘤路径最短,但是容易损伤左侧感觉性语言中枢Wernicke区域和视辐射,导致语言功能障碍和视力视野障碍;
2)顶上小叶入路,显露肿瘤比较容易,但是,暴露肿瘤供血动脉较难,且术后可能会有感觉功能障碍;
3)同侧楔前叶入路,暴露肿瘤路径较短,可以容易显露肿瘤的供血动脉,但是肿瘤体积较大时牵拉脑组织会导致的脑损伤会比较严重;
4)对侧楔前叶入路,非肿瘤侧,不受较高的颅内压力影响,分离肿瘤较容易,在导航精准定位下切开大脑镰,找到肿瘤侧的楔前叶,造瘘,置入通道,在内镜近距离广视野的优势下肿瘤显露满意,包括供血动脉,以及肿瘤切除后的观察和彻底止血;
5)置入通道的优势可以避免反复的牵拉脑组织,减少脑组织的损伤;
4.对侧楔前叶入路,该方案避开重要的功能区域,肿瘤切除满意,避免发生严重的神经功能障碍,影响患者的生活质量。手术微创、安全。
副主任医师
张学军
上海冬雷脑科医院 神经外科
张学军,上海冬雷脑科医院核心专家,主诊专家,神经外科副主任医师,冬雷脑科医院神经外二科主任,脑肿瘤微创中心和脊髓脊柱中心负责,师从北京天坛医院神经外科权威专家张俊廷教授。
16年神经外科临床经验,开展各类复杂脑肿瘤手术、脊髓脊柱手术2000多例。
世界华人神经外科协会脊髓脊柱专业委员会委员
中国研究型医院学会脊柱脊髓专业委员会青年委员
擅长:对颅脑脊髓肿瘤的诊治具有较为丰富的经验,尤其是颅底脑干肿瘤,诸如前中颅底脑膜瘤、岩斜区脑膜瘤/颈静脉孔区肿瘤、枕骨大孔区肿瘤等;深部肿瘤,诸如颅咽管瘤、脑室内肿瘤、松果体区肿瘤、四脑室肿瘤等。擅长面肌痉挛、原发性三叉神经痛等微血管减压术。先后于中国人民解放军联勤保障部队第九二〇医院、空军军医大学空军军医大学唐都医院及北京宣武医院神经外科学习脊柱脊髓疾病的诊治,对于椎管内肿瘤、脊柱脊髓外伤、退行性变、先天性畸形的诊治具有较为丰富的临床经验。
神经外科主治医师
刘旻谛
上海冬雷脑科医院 神经外科
刘旻谛,上海冬雷脑科医院脑肿瘤、脊髓脊柱专科主治医师
BDG冬雷脑科医生集团核心医师
神经外科主治医师
南京医科大学神经外科硕士毕业,2015年师从宋冬雷教授学习脑肿瘤显微外科技术、脑血管病介入治疗等。
擅长:
神经肿瘤的显微手术治疗,如脑膜瘤、胶质瘤、听神经瘤、海绵窦内肿瘤、三叉神经鞘瘤、垂体瘤、斜坡肿瘤及镰幕区肿瘤、三叉神经痛、面肌痉挛的显微减压手术等。
















