提示
前言
浙大二院神经外科脑血管病亚专科由张建民主任牵头组建,现由王林主任和祝向东主任具体负责脑血管外科,许璟主任和虞军主任具体负责脑血管(神经)介入。是科室的最主要亚专科之一。经过二十余年的发展,积累了丰富的经验,取得了丰硕成果。从406期开始第二轮系列报道科室脑血管病亚专业组的相关病例,与同道共享。
病史简介

图1.当地医院CT及磁共振检查结果因故未能提供,仅提供右侧颈内动脉造影。正侧位造影显示前颅底硬脑膜动静脉瘘,右侧眼动脉参与供血,经额叶皮层静脉及额底静脉分别向矢状窦及直窦引流,引流静脉迂曲扩张。
诊治经过
根据病史及入院辅助检查,诊断前颅底硬脑膜动静脉瘘明确。入院后完善脑血管造影检查(图2),便于进一步分析血管构筑,制定手术策略。

根据患者术前血管造影典型表现,该例病例确诊为前颅底硬脑膜动静脉瘘。患者术前虽无出血,但皮层引流静脉迂曲扩张,手术治疗指征存在。由于患者拒绝开颅手术治疗,因此治疗方案仅考虑介入栓塞治疗。介入栓塞的路径上可考虑:1.经眼动脉途径栓塞;2.经额叶皮层静脉途径栓塞。术前讨论分析:眼动脉途径需注意微导管能否到达瘘口以及能否避免术中Onyx胶返流致视网膜中央动脉,而静脉途径的难点在于皮层静脉静脉迂曲,部分走行纤细,可能导致微导管无法到达瘘口。

详细分析患者瘘口的血管构筑学(图3),术者认为经静脉途径的优势在于:相对于动脉途径,微导管经静脉途径能够确切地到达瘘口。且该患者的引流虽经皮层及额底内侧静脉分别向矢状窦及直窦引流,但两支引流静脉均起源于一短段的引流静脉。虽然皮层引流静脉有两处走行纤细,但根据术者既往的经验,微导管通过此处并不十分困难。术中同时穿刺右侧股动脉及股静脉,将造影导管超选至右侧颈总动脉,用于实时造影、三维血管构筑分析及路图指导。同时,将Neuronmax长鞘引导至右侧横窦,6F银蛇中间导管引导至上矢状窦中份。在路图指导下,Echelon-10导管经由矢状窦-右侧额叶皮层静脉途径成功超选至右侧额底引流静脉开口,在此处放置弹簧圈,用于防止Onyx逃逸,导致静脉窦栓塞或肺栓塞,随后在静脉端使用逆向高压锅技术,注入Onyx胶,完全栓塞瘘口(图4、5)。



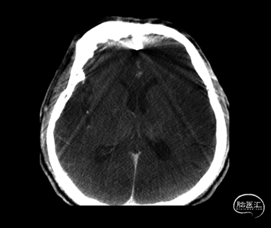
栓塞术后即刻CT未见颅内出血、Onyx胶逃逸或异位栓塞(图6)。次日,患者未诉明显不适,查体无新发神经系统体征。术后第二日,患者顺利出院。

图6. 术毕即刻CT。
患者目前术毕不足一个月,仍在密切随访。计划术后三个月复查脑血管造影。
讨论
硬脑膜动静脉瘘(Dural arteriovenous fistular, dAVF)是临床上少见的一类颅内血管畸形,本质是一种发生在硬脑膜的动静脉直接分流[1,2]。与脑血管畸形(AVM)不同的是,硬脑膜动静脉瘘没有畸形血管巢[3]。其中颅底dAVF发生率较高,依据瘘口的位置,通常将dAVF分为前颅底、海绵窦区、侧窦区、边缘窦区、矢状窦区以及天幕区dAVF等[2,4,5]。而前颅窝底dAVF仅占所有dAVF的2-8%。本例患者瘘口位于前颅窝底,该部位dAVF的介入栓塞目前仅局限于少量的病案系列报道。除搏动性耳鸣外,不同位置的dAVF临床表现不尽相同,但引流静脉的病生理基础通常与dAVF的临床症状密切相关,如:经眼上静脉引流的海绵窦区dAVF通常以眼部症状为主要表现,表现为结膜充血、眼动神经麻痹以及突眼等;而扩张的皮层引流静脉则往往是dAVF破裂出血的主要原因。本例患者虽有头痛,可能与异常引流有关。更为重要的是,患者存在迂曲扩张的引流静脉,系自发性出血的高危血管构筑特征,故诊断及手术指征并无异议。
dAVF的治疗无外乎手术切除瘘口,血管内栓塞以及放射治疗三种。显微外科手术是治疗dAVF的传统方式,术中瘘口显露和出血控制是手术的核心,而根治性切除瘘口的关键则是离断瘘口所有引流静脉,这与根治性栓塞的理念并无二致。一般来说,dAVF瘘口通常位于颅底,或邻近重要的静脉窦,并且伴有大量异常扩张的皮层静脉和高压的引流静脉,因此术中瘘口暴露困难和潜在难以控制的出血,是开颅手术最大的风险[6]。而前颅底dAVF瘘口位置固定,位于前颅底鸡冠处,手术暴露瘘口通常并无困难,术中可经硬膜下或硬膜外入路切除瘘口,效果并无明显差异。但值得注意的是,虽然手术切除瘘口的安全性和有效性无可争议,开颅手术对嗅觉的影响不可忽视。随着Onyx时代的到来,经血管内途径治疗dAVF获得了突飞猛进的进展[7]。血管内治疗dAVF,可分为经动脉途径和静脉途径。路径的采用应基于详尽的血管造影影像和三维血管构筑学分析。但不管何种途径,患者必须存在适合超选的路径,使得栓塞导管可以到达瘘口,从而确保Onyx胶可以弥散至引流静脉端,完全闭塞引流静脉,才能彻底治愈dAVF。
由于眼动脉通常是前颅底dAVF固定的供血动脉,因此通常采用经眼动脉途径栓塞前颅底dAVF。但眼动脉路径有以下三点值得重视:1.眼动脉起始部与颈动脉可能存在较大的反折角度,部分患者眼动脉起始部有不同程度的狭窄,且眼动脉与颈动脉的直径存在非常大的差异,以上因素均不利于微导管的超选与推进;2.由于dAVF天然的血管解剖特点,微导管经动脉途径超选很难真正到达瘘口;3.经眼动脉途径栓塞时,Onyx胶一旦返流至视网膜中央动脉,则必然引起患者失明,产生严重的并发症。而视网膜中央动脉在血管造影图像上,有时难以识别,因此异位栓塞可能难以防范。
近年来,随着对dAVF解剖认识的加深,血管造影技术的进步,三维血管构筑学分析水平的提高,经静脉途径栓塞的病例日益增多。相较经动脉途径而言,一些部位的dAVF经静脉途径的即刻完全栓塞率由60%提高至大于90%[8]。少数罕见位置的dAVF,如蝶骨区、岩斜区以及舌下神经管区dAVF,本中心均有经静脉途径完全栓塞病变的病例报道。本例患者dAVF发生前颅底,该部位的dAVF引流特点是:通常引流模式较为固定,额叶皮层静脉是绝大部分前颅底dAVF的引流通道,部分患者可能存在额底的引流静脉。本例患者即存在以上两条常见的引流通道。额叶皮层引流静脉在这类患者中通常是常用的栓塞途径,在本例患者之前,术者已有多例前颅底dAVF经该引流静脉栓塞的经验。虽然额叶皮层引流静脉均有不同程度的迂曲纤细,但不妨碍微导管通过,术中需注意轻柔操作,避免穿破引流静脉。瘘口的识别对于介入栓塞而言至关重要,近年来,三维重建技术的进步,多维度CT模式分析以及多容积重建技术等新的影像后处理技术,使得dAVF的血管构筑分析更为直观,提高了复杂dAVF的瘘口识别率,从而提高介入栓塞的成功率。术中务必将微导管超选至引流静脉起始部。如无法到达引流静脉起始部,也应确保微导管离瘘口的距离能够保证逆向高压锅技术可以使Onyx胶充分弥散至瘘口,否则可能造成瘘口残留,从而引起术后出血。有研究认为,静脉途径不仅具有更高的即刻完全栓塞率,也比动脉途径更安全[8]。并且逆向高压锅技术(Pressure cooker technique)的应用,使得术中更容易在静脉端形成“栓子”而产生“瓶塞效应”,促使胶向瘘口弥散,减少返流,从而降低微导管粘管的发生率[9,10]。随着越来越多的经静脉途径成功栓塞dAVF的病例报道,原本作为补救治疗手段的静脉路径,也日益成为dAVF血管内治疗的首选路径。
结论
前颅底硬脑膜动静脉瘘是所有硬脑膜动静脉瘘中占比较低的一个亚型。开颅手术以及介入栓塞均具有相对满意的安全性和有效性,但血管内治疗由于其微创特点无疑具有更好的接受度。相对于经眼动脉途径栓塞,静脉途径栓塞具有更好的安全性和有效性,在经选择的患者中,经额叶皮层静脉途径栓塞治疗前颅底dAVF安全有效,可作为初始治疗或者补救治疗方案。
参考文献
(本文由浙二神外周刊原创,浙江大学医学院附属第二医院神经外科徐良副主任医师整理,虞军主任医师审校,张建民主任终审)
声明:脑医汇旗下神外资讯、神介资讯、神内资讯、脑医咨询、AiBrain 所发表内容之知识产权为脑医汇及主办方、原作者等相关权利人所有。




