导语
血流导向密网支架的出现
对于一些难治动脉瘤
是最好的治疗方案
Surpass Evolve
使用简单、导流卓越、极致贴壁
为医生提供FDS有力武器
史赛克与中国医生一起
提供全面微创卒中解决方案
致力改善患者的临床预后
专家简介
李永利
哈尔滨医科大学附属第二医院
病例简介
患者基本信息
患者:61岁,女性,既往高血压病史10年,口服降压药物控制理想。
主诉:体检发现颅内动脉瘤4月。
查体:Bp:125/78mmHg,意识清醒,言语流利,瞳孔等大同圆2.5mm,光反射灵敏,四肢肌力5级。mRS评分0分。
头部CTA
病变部位解剖:左侧颈内动脉床突段动脉瘤。
手术方案:Surpass Evolve血流导向装置置入术。
8F 导引导管
Catalyst 5中间导管
Synchro 2微导丝
Excelsior XT-27微导管
术前3D影像及尺寸测量
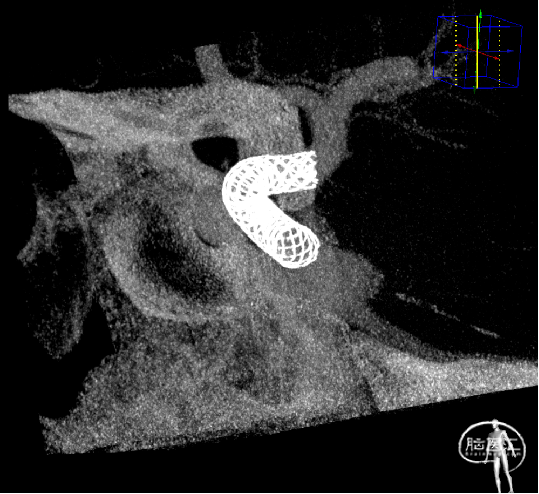
术中微导管及支架到位
术中释放支架:支架定位于脉络膜前动脉及后交通动脉之间,原位释放。
术后造影:可见造影剂明显滞留。
术后Dyna CT:支架打开及位置良好,贴壁佳。
术后第一日头部CT
Surpass Evolve 4.0mm*17mm血流导向装置使用体会:
该病例就单纯治疗动脉瘤角度不属于难度特别大的手术,但值得注意的是,除床突段动脉瘤外,后交通漏斗已经形成小动脉瘤,那么就需要考虑需要将床突段动脉瘤与后交通漏斗应用血流导向装置一同覆盖。这就需要血流导向装置释放时的定位一定要精准,既不能释放后不必要的覆盖脉络膜动脉又要覆盖小凸起部。
Surpass Evolve在使用中支架头端释放精准,很容易就锚定在预设位置,之后的释放经过回收微调等操作十分顺滑。保护瓣的革新设计,提升了手术的安全性。从支架形态及术后影像看,支架释放后贴壁非常良好,这得益于64根支架丝带来的更好径向支撑力。更高的网孔密度使血液导流作用非常确切,从我个人及其他中心带来的使用体验上,免除了填塞弹簧圈的复杂操作,降低了手术难度,同时也降低了手术费用。
总体上Surpass Evolve的综合性能良好,为更复杂颅内动脉瘤手术提供了更好的解决方案。
END


扫码进入史赛克品牌专区
点击或扫描上方二维码
查看更多“介入”内容