因桡而生 与众不同



术者:常明则 西北大学附属医院(西安市第三医院)
常明则
神经内科主任,主任医师,博士,西北大学硕士研究生导师;
中华医学会神经病学脑血管学组青年委员,陕西省保健学会神经内科专委会主任委员,陕西省医学会神经病学分会常委,陕西省卒中学会青年副主委,西安医学会神经内科分会副主委,中国中医药信息学会中西医结合介入分会常委,陕西省医师协会神经介入分会常委,西安医学会神经病学分会神经介入学组组长,西安市神经内科质控中心副主任。
术者:葛晗明 西北大学附属医院(西安市第三医院)
葛晗明
神经内科主治医师;
陕西省医学会神经介入分会委员、西安医学会神经内科青年委员会常务委员、西安医学会神经介入学组秘书、中国睡眠研究会青年委员、陕西省保健学会神经病学分会常务委员。
患者基本信息
一般资料:男,56岁“反应迟钝、言语不清3月余”(2023.04.24入神经内科二病区)。2023.01.14家属发现反应迟钝、言语断续、答非所问,RMCA M1闭塞,急诊行血管内治疗。
查体:BP 120/79mmHg,P 77次/min,神志清,偶找词困难,病理征(-)NIHSS 1 mRS 1。
既往史:吸烟30余年,5-6支/d,偶饮酒。
影像学资料
20230114 PM 10:53 右侧大脑中动脉闭塞。






20230114 PM 11:29 右侧大脑中动脉闭塞。


20230114 侧枝循环代偿。




20230114 TICI 3 NeuroForm EZ 2.5×15尾端位于斑块内展开不理想。



20230117 AM 11:07 MR MMSE 6 MOCA 3;20230120出院反应迟钝好转不明显,中枢性面瘫。




20230420 PM 07:06 MRA+ASL。


20230425 PM 15:21 HR-MRI T2。


20230425 HR-MRI VISTA+C。

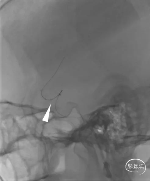
20230426 PM 01:47 NeuroForm EZ展开不良部位明显狭窄。


20230426 NeuroForm EZ展开不良部位明显狭窄。


术中器械
◆ 操作入路
经桡动脉动入路
◆ 导管
桡动脉专用远端通路导引导管系统:赛诺神畅APEX TRA System—079-95 DA+130 SIM2 GC
远端通路导管:Catalyst 6
◆ 导丝
微导丝:Synchro 2
◆ 球囊
治疗过程
20230502 AM 11:08 全麻赛诺神畅 079-95 APEX TRA DA+130 SIM 2 GC+ Catalyst 6。


20230502 全麻 Catalyst 6+ Synchro 2+赛诺神畅 Neuro LPS™ 1.5×10。




20230502 赛诺神畅 Neuro LPS™低压球囊扩张。



20230506 AM 09:50 MRA。


20230420

20230506

20230506 HR-MRA VISTA+PD+VISTA+C。



赛诺神畅APEX TRA System 产品介绍
内腔更大、支撑更强、到位更高:


桡动脉通路导管
(Radial Access Catheter)产品介绍
针对不同规格,更合理的分段设计:


针对弓部成角,更优的抗折性能:

更柔软的头端设计:

在头端打两个结情况下内腔仍能轻松通过0.027微导管:

三型弓对侧前循环,赛诺神畅APEX TRA到位C3支撑微导管到C5。

总结

RAC外导管:0.079大内腔设计,满足各种治疗场景所需,加强弓步支撑,更合理的差异化柔软段设计,到位更高
GC内导管:更长130cm/140cm有效长度,建立同轴系统后,便捷稳定到位
APEX TRA System使用体会
1. 导管的支撑力和抗打折性更强,且导管支撑段的弯曲半径更小,不会贴主动脉弓下缘,心脏搏动对管子几乎无影响。
2. 到位容易快捷,高难度三形弓也能够轻松到位。经桡专用DA(TRA DA)可能会成为未来的主流,无可比拟的支撑,建立稳定的通路是关键!
3. 新的同轴通路建立方式(赛诺神畅经桡专用系统072/079 TRA DA+130/140 SIM2/MPA,无需双导丝(超硬导丝)提供额外支撑)。
一些个人感受:TRA是未来!!术前分析弓及弓上血管形态的重要性!!TRA不可能适合所有的患者,所以没有必要给自己增加难度!!除非是以CTA+CTP评估的中心,否则TRA做急诊不推荐!(TRA管径限制)
学习曲线:重新适应力与张力(新的血管形态新的导丝与导管弹跳位置);
TRA尤其适用于孕妇、肥胖患者和股动脉严重动脉粥样硬化的老年患者;
TRA的主要局限性是难以通过右桡动脉选择性插入左颈内动脉和左椎动脉(右头臂干与升主动脉之间的角度严重弯曲,以及左锁骨下动脉与左椎动脉起点之间的锐角)LVA左桡动脉通路。
远桡入路经验:




公司简介
赛诺神畅医疗科技有限公司(简称“赛诺神畅”或“公司”)由科创板上市公司赛诺医疗(688108.SH)于2020年在江苏苏州设立,注册资本1.25亿元人民币,经营面积一万余平米,拥有员工200余人,定位于高端神经介入器械的研发、生产及销售。
赛诺神畅业务覆盖神经介入缺血、出血、通路三大领域,目前已上市九款产品,公司依托核心科研团队及五大核心技术平台,开展研发二十余款创新产品,包括:自膨式颅内药物支架、新一代血流导向装置、颅内抽吸系统、颅内取栓支架、颅内药物球囊等,部分核心产品将填补国内空白,达到国际领先水平。
点击或扫描上方二维码
查看更多“介入”内容









