
Fastunnel®输送型球囊扩张导管,全球首款“球囊+微导管”一体化设计,1步完成球囊预扩张、支架释放、球囊后扩张全过程,相比传统手术减少10次交换步骤。引领“零交换”技术,减少器械交换,简化操作步骤,减少透视时间,减少造影剂剂量,缩短手术时间,降低手术风险,提高手术安全,开创ICAS血管内介入治疗新时代!

患者资料
基本资料:患者女,47岁。
简要病史:患者于入院前1个月无明显诱因出现右侧上下肢肢体无力,病程中伴有头晕,无恶心、呕吐、意识障碍、抽搐发作,患者既往体健。
入院查体情况:神经系统无阳性体征。
术前影像资料
头颅CT:未见明显异常;头核磁DWI:无新发梗塞。
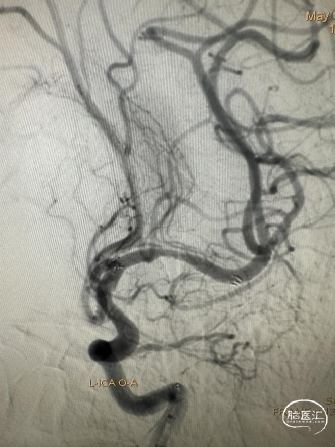
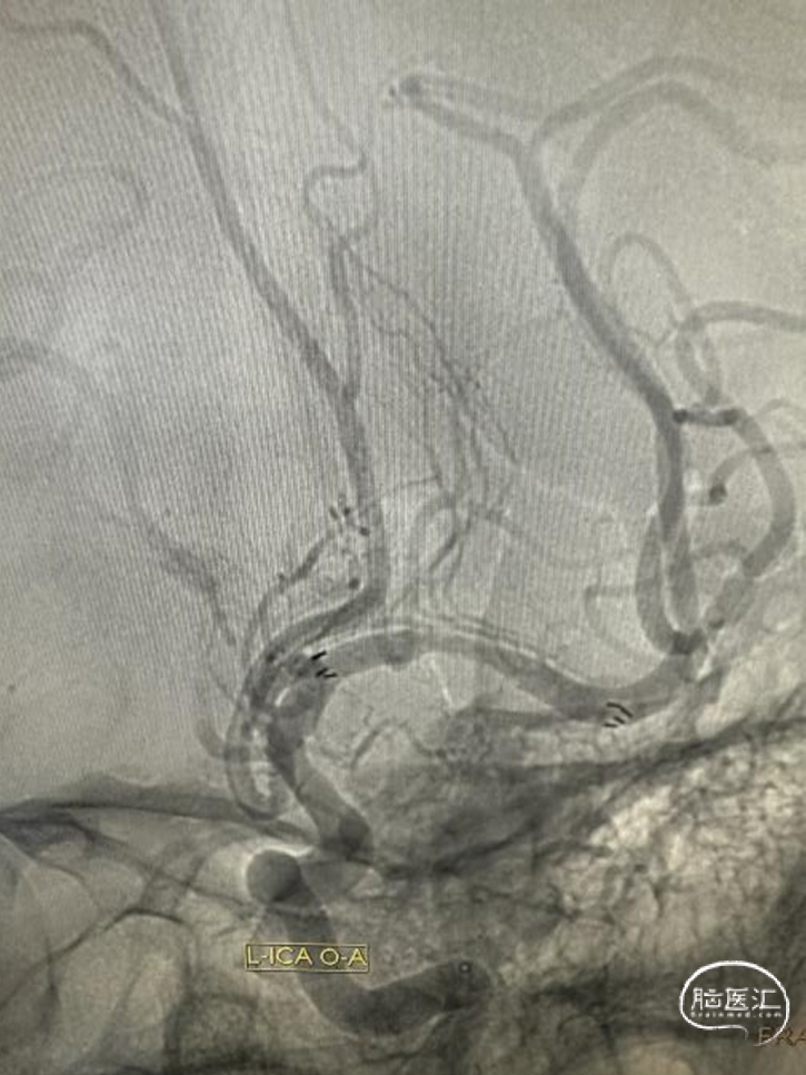
DSA
左侧大脑中动脉重度狭窄,近端:1.78mm,远端:2.18mm,最窄:0.25mm,长度:14.70mm,狭窄率约:89%。
术前讨论
左侧大脑中动脉狭窄球囊扩张支架成形术。
器械准备
21系列 Fastunnel®输送型球囊扩张导管 2.5mm*10mm
0.014inch 微导丝
4.0*23mm 自膨式闭环支架
手术过程
微导丝通过狭窄段到达左侧大脑中动脉远端。
Fastunnel®输送型球囊扩张导管 2.5mm*10mm沿微导丝输送到位,充盈球囊扩张狭窄病变。
扩张后即刻造影。
4.0*23mm 自膨式闭环支架沿21系列 Fastunnel®输送型球囊扩张导管输送到位造影。
支架释放后造影。
术后即刻影像及患者术后情况:
患者麻醉复苏后无神经功能障碍。患者术后标准正侧位造影。
病例总结
大脑中动脉狭窄是颅内动脉常见狭窄部位,该病例手术难度不大,手术指征明确,相较与传统大脑中动脉支架手术过程,Fastunnel®输送型球囊扩张导管到位容易,节省导丝交换步骤,定位准确,球囊扩张后直接支架置入,手术难度降低,安全省时有效。
术者简介
邹亮
哈尔滨医科大学附属第一医院
医学博士,博士后,副主任医师。
徐善才
哈尔滨医科大学附属第一医院
哈尔滨医科大学附属第一医院神经血管外科主任,医学博士,主任医师,教授;
中国卒中学会神经介入专业委员会委员;
中华医学会神经外科分会神经介入学组委员;
中国医师协会神经介入专业委员会出血性脑血管病专业委员会委员;
黑龙江省医学会神经介入专业委员会主任委员;
黑龙江省医师协会神经介入专业委员会副主任委员;
黑龙江省脑血管病学会介入专业委员会副主任委员;
黑龙江省老年医学研究会神经外科分会常委。


点击或扫描上方二维码
查看更多“介入”内容