术者寄语


病例简介
01 患者基本信息
一般资料:患者女性,46岁,因“突发不能言语、左侧肢体乏力3小时”入院。
现病史:家属诉患者既往晕车,2023-01-29日从湖北返深,8:45分下车上厕所时突然摔倒,昏迷,呼之不应、不能言语、左侧肢体无力、小便失禁,家人喂水鸡蛋进食,食物未吞咽,呕吐胃内容物4-5次,无抽搐,急呼120院前急救。院前测血糖9.3mmol/L,建立静脉通道、生命体征监测、神志瞳孔监测、心电监护,院前通知我院总院急诊,于9:17分到达总院急诊科抢救。到达急诊科后予完善检查提示:头颅CT平扫(9:39):考虑右侧大脑中动脉致密征。考虑左侧中脑大脑脚区密度稍低,必要时结合MR检查。心电图:T波改变。排除溶栓禁忌症后予静注阿替普酶62mg于2023-01-29 10:01开始溶栓治疗,于2023-01-29 11:01泵入完毕,查颅脑MRA提示右侧大脑中动脉远端变窄并分支稀疏;立即行急诊介入造影提示右侧大脑中动脉下干闭塞,予Swim技术取栓3次,大脑中动脉获得mTICI 3级再通,术后拟“急性脑梗死”收入院。发病以来,未进食,大便未解,小便正常。
既往史:既往无特殊病史。
02 入院查体情况
神经系统查体:神志嗜睡状,查体欠合作,理解力、计算力、判断力下降,记忆力、定向力不能配合。双眼球右向眼球凝视,无复视,无眼球震颤。双侧瞳孔等大等圆,φ=3mm,直间接对光反射存在,调节反射无异常,辐辏反射不能配合。构音欠清,无饮水呛咳,悬雍垂居中,咽反射减退,伸舌不能配合,舌肌无萎缩及震颤。四肢肌肉未见萎缩或假性肥大。左侧肢体肌力0级,右侧肢体肌力5级,四肢肌张力正常,未见不自主运动。感觉系统不能配合。双侧肱二头肌肌腱反射、肱三头肌肌腱反射、桡骨骨膜反射、膝腱反射、跟腱反射正常。左下肢巴氏征阳性,脑膜刺激征(-)。共济检查不能配合。(NIHSS评分:17分,GCS=E4V1M3=8分)。
03 术前影像资料
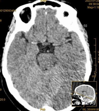
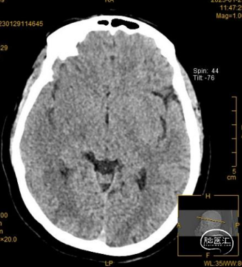
溶栓前颅脑CT提示考虑右侧大脑中动脉致密征,支持大脑中动脉为责任病变。
溶栓后颅脑CT见右侧大脑中动脉远端致密征,右外侧裂池变窄,同并见“岛带征”,考虑右侧急性脑梗塞,必要时进一步MR检查和/或CT脑灌注成像。
术前MRA显示右侧大脑中动脉远端变窄并分支稀疏。
诊疗经过
01 术前讨论
1. 评估:
患者女性,46岁,急性起病,发病时间明确,既往无特殊病史,颅脑CT排除脑出血,入院时距离发病不超过4.5小时,符合静脉溶栓适应症。溶栓后颅脑CT提示右侧大脑中动脉远端致密征,右外侧裂池变窄,同见“岛带征”,MRA见右侧大脑中动脉远端变窄并分支稀疏,狭窄或闭塞可能性大,ASPECT-CT评分10分,发病前mRS评分0分,NIHSS评分17分,有明确的取栓手术指征,定位右侧大脑半球,定性急性缺血性脑梗死,病因考虑动脉粥样粥样性脑梗死,心源性不排外。患者经静脉溶栓治疗后,MRA提示右侧大脑中动脉存在狭窄或闭塞,予急诊手术取栓治疗。
2. 术前诊断:
急性脑梗死(右侧大脑半球 前循环)
右侧大脑中动脉狭窄或闭塞
3. 发病机制推断:
脑动脉粥样硬化继发血栓形成?
心源性?
动脉到动脉的栓塞?
4. 治疗策略:
手术策略:MRA证实该患者为右侧大脑中动脉狭窄或闭塞,溶栓后颅脑CT见右侧大脑中动脉远端致密征,右外侧裂池变窄,同并见“岛带征”,结合患者临床症状,患者急性脑梗死诊断明确,发病时间短,机械取栓能够改善患者预后,因此予以机械取栓治疗。
机械取栓方案:该患者为大脑中动脉下干闭塞,血管偏细,在取栓过程中要选择既能提高血栓捕获能力,同时又要避免血栓逃逸的可能。
02 术中涉及介入器械选择
8F Cordis导引导管
5F多功能管
0.021in微导管
0.014in*2m微导丝
7F封堵器
6F 125cm Tethys®中间导引导管
3*25mm Syphonet®取栓支架
03 手术过程
术前造影提示右侧大脑中动脉下干闭塞。
使用8F导引导管在6F 125cm Tethys®中间导引导管同轴下超选至右侧颈内动脉建立通路,造影可见右侧大脑中动脉M1下干闭塞。
Tethys®中间导引导管到达大脑中动脉血栓部位,边抽边撤Tethys®中间导引导管,未见血栓;Tethys®中间导引导管再次到位大脑中动脉,微导丝微导管通过闭塞段,微导管造影证实在真腔。
左右滑动切换图片
释放3*25mm Syphonet®取栓支架,停留5分钟后撤出Syphonet®取栓支架并保持负压抽吸,第一次复查造影血流未通。
再次重复上述操作,释放Syphonet®取栓支架并停留5分钟后撤出取栓支架并保持负压抽吸,再次复查造影右侧大脑中动脉下干血流恢复,mTICI血流3级。
体外取出的韧质血栓。
04 术后情况
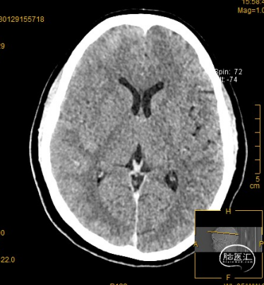
术后即刻CT
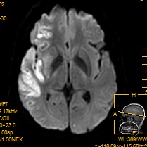
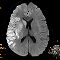
术后24小时复查颅脑MR未见明显出血。
左右滑动切换图片
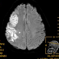
颅脑灌注成像提示高灌。
左右滑动切换图片
病例总结
//
器械的进步能给临床医生的手术带来极大的便利,也能使患者最终获益,一定程度上器械的进步也在推送着行业的前进。在国产替代的大趋势之下,国产品牌的崛起未来可期。
由加奇生物自主研发的Syphonet®取栓支架不仅仅是模仿,更有所超越:支架通体显影手术全程可视为操作判断带来便利;头端抓捕篮防止血栓逃逸;全系兼容0.017in微导管实现更高到位,更因此催生了BASIS技术,极大的方便了针对ICAS合并远端大负荷血栓患者的手术操作。
Tethys®中间导引导管16cm柔软段到位性佳、推送优异,更能适应迂曲血管;0.071in大内腔提高抽吸效率。结合Syphonet®取栓支架使用取栓效能更高
术者信息
颜俊文
深圳平乐骨伤科医院(深圳市坪山区中医院)
脑病科(神经内科)主任,副主任医师,医学硕士
广东省中医药学会卒中专委会常务委员
深圳市中医药学会急诊专委会委员
深圳市脑血病学会委员
深圳市卒中学会介入分会常务委员
毕业于遵义医科大学,参加工作18年,在三级医院神经内科临床工作10余年,对神经内科常见病、多发病的诊疗具有丰富的经验;对临床常见急性内科合并症具有丰富的诊疗经验;对神经内科疑难病有独到的见解;首都医科大学宣武医院进修神经介入1年,师从凌锋教授、焦力群教授,主修缺血性脑血管疾病的介入治疗,熟练掌握脑血管造影技术,开展脑血管支架植入、急性脑梗死动脉取栓。参与多项国家自然基金及省级基金的课题实验,熟练掌握各实验技术,获得省级及市级科研课题多项,在研广东省医学科学基金一项,发表医学论文10余篇,其中第一作者核心期刊4篇,SCI 3篇。
特别说明:本页面所包含的文字、图片、音视频等内容仅供医学专业人士参考。本页面所包含的内容,仅为专家个人观点,不能代替医疗专业人士的判断。本页面不向非医学专业人士开放,敬请理解。

点击或扫描上方二维码
查看更多“介入”内容