

结论:与ICG-VA相比,红外热像仪可能为评估吻合口通畅性提供一种非侵入性、无造影剂、可不间断反复使用的选择,与ICG-VA相比,它可能在不久的将来在临床脑血流动力学检测领域得到更广泛的应用。
这项连续入组研究纳入了21名符合手术条件的患者,年龄范围为27至59岁(中位数46岁)。其中17名患者出现了缺血性中风症状,例如偏瘫;4例有脑出血病史(表格1)。所有患者均接受了STA-MCA搭桥手术,这些手术均由本文第一作者主刀完成,并由2名经验丰富的神经外科医生评估吻合口通畅性。

图1显示了我们的研究环境,我们使用了AT1280数字红外相机(电子调制在线测温仪,艾睿光电科技有限公司,中国),通过被动地检测红外发射,对整个大脑皮层的局部温度梯度进行成像。我们将室温保持在23℃,以尽可能保持皮质表面的背景温度。吻合术完成后,红外成像系统的高分辨率红外摄像机被设置在大脑斜上方500毫米处,以连续监测血流,时间长达3分钟,包括放置和释放血管阻塞夹的时间。红外成像系统由红外热像仪、主机和监视器三部分组成。热像仪尺寸为70mm×63mm×143mm,安装在可折叠的三脚架上,通过网线连接到主机进行成像分析。该相机使用氧化钒非制冷红外焦平面探测器,具有12μm像素间距、1,280×1,024像素、19mm镜头和0.63mrad瞬时视场。相机可架设在距大脑皮层0.5m处,可获得400mm×320mm的红外视场,可观察最小直径为0.315mm的目标。可检测波段为8-14μm。没有使用造影剂或辐射来获得图像。记录速度为每秒15帧。所有图像都存储在安装的计算机上,并用数字视频设备记录。可以直接在监视器上评估血管吻合的通畅性。


图2展示了一例右侧STA-MCA(M4)旁路手术期间获得的红外热成像图像。在释放血管阻塞夹之前,吻合口和供体血管(STA)的温度较低,几乎没有血液流经吻合口,对应于图2A1、2中的黑暗区域。在释放血管夹后,从供体血管流入吻合口的血液温度相对于大脑皮层较低,在图2B1、2中清晰可见,表明吻合口通畅良好。此外,远端分支血管在热成像中出现了一瞬间的黑暗影像,表明从供体血管向大脑皮层有正向的血流。图2C1、2显示了释放血管阻塞夹后4秒的情况。所有血管都变成了彩色。证明了再灌注的成功,并表明红外热成像可以正确评估吻合口通畅性。

图2. 右侧STA-大脑中动脉(M4)分流手术期间的红外热成像。(A1-C1)血管夹释放前和释放后不久的红外热成像图像。(A2-C2)放大的视图与上图相对应(黑色箭头表示STA,红色圆圈表示供体和受体血管的吻合处)。


图3显示的是对每个烟雾病患者进行了红外热成像后,通过与ICG评估相比较的结果。在ICG注射后,ICG被可视化,明确确认了血管吻合口的通畅性,并且在同一患者的红外热成像结果也显示了相同的结果。在我们的研究中,共有21名患者接受了相同的治疗。在20名患者中,红外热成像的结果显示血管吻合口通畅,并且与随后的ICG-VA结果达成了一致。通过将红外热成像技术的结果与ICG评估结果进行比较,证实了红外热成像技术的有效性。
图3. ICG-VA和红外热成像的比较。


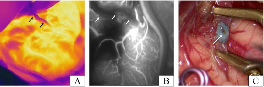
其中一名患者术中应用红外热成像评估后怀疑吻合口通畅性不足,而吻合口的ICG-VA评估结果证实确实存在吻合口梗阻(图4A,B)。打开颞浅动脉观察吻合口内部情况后,从图4C可以看到血栓,我们考虑该血栓形成是本例吻合口梗阻的原因。这进一步证明了红外热成像和ICG-VA在评估吻合口通畅性方面的一致结果。随后,该病例通过拆除吻合口并清除血栓后重新进行了吻合。

图4. 一位血管吻合口不通畅的患者。(A)该患者释放血管夹后的红外热成像结果(黑色箭头表示STA)。(B)该患者释放血管夹后的ICG-VA图像结果(白色箭头表示STA)。(C)在剪开颞浅动脉后发现血栓,是导致该病例血管吻合口不通畅的原因(白色箭头表示吻合口的血栓)。

讨 论
由于血管吻合有一定的技术难度,并且缺乏通过目视检查判断吻合口通畅性的客观依据,因此快速准确地评估血管吻合口通畅性一直是决定直接血运重建手术效果的一个重要因素。在这项研究中,我们展示了红外热成像技术在烟雾病患者直接血运重建过程中识别吻合口血管通畅性的有效性。令人惊讶的是,我们的结果表明,与ICG-VA相比,红外热成像技术在确定吻合血管通畅方面同样有效。
当前临床实践中的红外热像仪往往侧重于评估组织缺损修复的皮瓣血供等领域。除传统应用外,我们首次提出应用红外热成像技术评估烟雾病直接血运重建过程中吻合口血管的通畅性。血管吻合完成后,未松开血管夹的供体和受体动脉中的血流是静止的,因此其温度更接近室温。打开血管阻断夹后,供受体血管的血流动力学行为立即发生变化,使流动的血液迅速恢复到与人体相同的温度。不同温度下血流的动态分布导致不同部位的血管和周围组织之间存在显着的温度对比。温度对比导致不同强度的红外辐射被采集相机并转换成伪彩色热成像视频/图像,用高亮颜色突出显示较高温度的区域,以及较低温度的较暗区域。温度越高,该区域越亮。红外热成像的技术优势在于伪彩色视频/图像使外科医生能够了解供体和受体血管的通畅性和血流动力学行为,从而对吻合口通畅性进行有效和准确的术中评估。
迄今为止开发了许多血管成像技术。DSA被认为是烟雾病和烟雾病综合征的诊断和评估标准。然而,DSA是一种侵入性手术,存在腹股沟血肿和短暂性神经系统症状的风险。此外,DSA程序复杂且执行起来昂贵,需要笨重的支持仪器和特定的手术室,并且患者和操作外科医生都暴露在辐射下。与DSA相比,红外热成像基于血流来可视化温度调制的变化,以显示流量并评估通畅性。它在操作简便性和成本效益方面都具有无可比拟的优势。
微血管超声多普勒可以通过量化血管血流动力学数据来评估吻合口通畅性。但限制也随之而来。首先,超声多普勒技术过于强调探头与血管的夹角,不同角度的测量会产生不同的结果,导致结果相差太大。其次,微血管超声多普勒不可视化血管形态,对细小血管的敏感性更低。红外热成像以血流可视化解决了微血管超声多普勒存在的血管测量不准确和间接观察的问题。
吲哚菁绿视频血管造影术是目前术中评估吻合口通畅性最常用和标准的方法,具有出色的时间和空间分辨率,并且操作简便。然而,值得注意的是,少数患者对ICG染料过敏。尽管发生率非常罕见,但这并非没有风险的程序。值得一提的是,ICG-VA在造影过程中必须保持手术视野内的清洁,显微镜的视角对成像结果影响很大,需要操作者有一定的吻合口稳定性评估经验.如怀疑吻合口有梗阻,需调整或重新缝合、重新造影。研究表明,ICG在之前一次静脉注射后血管的残余部分被完全代谢至少需要15分钟,这无疑增加了时间成本。与ICG荧光素成像相比,红外热成像增强了手术的安全性,无需造影剂,清晰显示吻合口血流情况,可随时、重复、多次使用。
限 制
诚然,红外热成像远非完美的技术。我们研究的局限性之一是目前还没有看到相应的软件开发应用,使得红外热成像目前只能显示血流方向,还不能评估血流分布并进行相应的定量分析。期待更大样本的收集和相关软件的开发应用。

第一作者简介
林静辉 副主任医师
宁波大学附属第一医院
神经外科副主任医师,硕士研究生导师
擅长各类脑血管病、颅内肿瘤手术及颅脑外伤手术,包括各类胶质瘤、脑膜瘤、神经鞘瘤等,尤其是烟雾病搭桥、颈动脉狭窄、脑动脉瘤等脑血管疾病手术治疗
浙江省医学会神经外科分会青年委员
浙江省医师协会神经修复专业委员会委员
浙江省卒中学会会员
以通讯或第一作者发表论文8篇,其中SCI论文5篇
主持厅局级科研项目2项,获得专利1项
声明:脑医汇旗下神外资讯、神介资讯、神内资讯、脑医咨询、AiBrain 所发表内容之知识产权为脑医汇及主办方、原作者等相关权利人所有。