
病例简介

60多岁的老人家,背痛好几年,双下肢活动障碍,大小便控制不了几个月,做检查发现是硬脊膜动静脉瘘(脊髓膜上的动静脉短路),很容易被误诊为椎间盘突出的疾病。

确定病变位置,定位清楚。
打开就可以找到瘘口。

荧光造影确定病变位置,给予夹闭。
瘘口消失,早显迂曲的静脉也不显影了。很好的解决病变。第二天患者就感觉胸部的束缚感有明显的缓解。

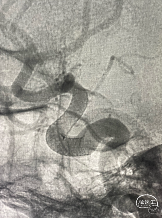
第一台手术结束。开始第二台,一个复发大脑中动脉瘤,复发部位虽然不大,但毕竟是出血动脉瘤,还是远期继续增大再出血的风险。

Lvis jr小支架辅助小弹簧圈栓塞,很好的解决的复发部分。

再次造影,没有动脉瘤的显影了,远期再复发的几率就很小了。

第三台,一个侧窦区的硬脑膜动静脉瘘,供血动脉繁多,以前的栓塞让脑膜中动脉的路径给用掉了。

颈内动脉脑膜垂体干有供血。

栓塞路径都不好,枕动脉供血动脉里面挑选出一支,经过努力,很好的到达了瘘口。

接着的事情就是往里面打栓塞剂。

继续打,直到将瘘口完全闭塞。

再次造影,那些繁杂的血管消失了,瘘口得到了很好的解决。

第四台是个颈内动脉的不好栓塞的微小动脉瘤。

密网支架的植入使得比较难栓的动脉瘤变得简单有效。

第五台是小脑动静脉畸形。

Glubran胶栓塞。

栓塞后畸形基本不显影。
充实的一天,忙完确实有些累了。

术者简介
何旭英
南方医科大学珠江医院
介入科负责人
神经外科-脑血管病中心副主任
主任医师,医学博士、博士研究生导师
广东医师奖获得者
广东省杰出青年医学人才
珠江青年医师奖获得者
羊城好医生
中国医师协会神经介入专业青年委员会副主任委员
中国研究型医院学会脑血管病学专业委员会常务委员
广东省医师协会神经介入医师分会副主任委员、出血专业学组组长
广东省医师协会介入放射医师分会常务委员
中国脑卒中学会神经介入分会委员
中国卒中学会青年理事会理事
从事神经外科临床工作20年。并在美国Ronald Reagan medical center of UCLA进行神经介入深造学习。主要擅长于脑动脉瘤、脑动静脉畸形、硬脑膜动静脉瘘、颈动脉海绵窦瘘、脊髓血管病变等血管疾病的介入和手术治疗,掌握各种国际领先的脑脊髓血管病介入治疗技术,如密网支架植入术、覆膜支架植入术、静脉入路栓塞脑动静脉畸形、脊髓动静脉畸形栓塞术等,为华南地区首位密网支架植入术导师,率先在华南地区开展静脉入路栓塞脑动静脉畸形等国内领先技术。每年完成颅内及脊髓血管性疾病治疗近千台,大部分取得满意的治疗效果。在国内首次开发脑血管病模拟器介入培训课程,收到极佳效果。主持及参与“十三五”国家重点研发计划项目、国家自然科学基金、广东省科技计划项目等多项基金,主编脑血管病专著《实用神经介入放射学》、《实用颅内动脉瘤血管内治疗学》《颅内动静脉畸形》3部,发表SCI文章累计影响因子40余,获中华医学科技三等奖1项

点击或扫描上方二维码
查看更多“介入”内容






