急性神经源性肺水肿是指在没有心肺原发疾病和损伤的情况下,由于中枢神经系统损伤引起的以肺水肿为特征的一种临床综合征。
患者情况
患者,女,33 岁,因突发头痛、咯粉红色泡沫痰伴意识障碍 1 小时于 急诊入院。5 小时前,患者在家骑动感单车锻炼过程中突感头痛,呈持续性胀痛,随后出现呼吸困难,咯粉红色泡沫痰,伴意识障碍且进行性加深至昏迷。既往体健,无高血压、糖尿病及心、肺、肾疾病史。
急诊120予以现场气管插管出后,通畅呼吸道急诊前往急诊科,查体:体温 37℃,脉搏 172 次/min,呼吸 30 次/min,血压 101/64mmHg。血氧饱和度波动于 70-80%。患者意识呈深昏迷状态,双瞳等大,直径约 5mm,对光反射消失,气管插管,呼吸浅促,气管插管内可见大量粉红色泡沫痰,双肺满布湿啰音,四肢皮肤尚温。颈阻阳性,病理征阴性。
经评估后间断吸痰,机械通气,予持续呼气末正压通气,PEEP 设置在 8-10H2O 之间(1cmH 2O = 0. 098kPa),胃肠减压。
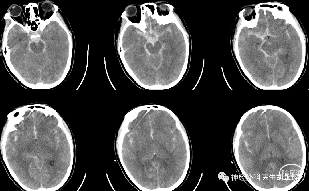
患者血压不稳波动于66/34—116/60mmHg,先后予多巴胺调控血压。心电图示 T 波改变。考虑为神经源性肺水肿,不除外心脏损害。于次日意识转为浅昏迷,双瞳孔不等大,右侧瞳孔直径约 5mm,光反射消失,四肢肌力无法查,肌张力高 。行头颅 CT级CTA(如下图)示:右侧鞍旁血肿破入脑室,右侧后交通动脉瘤,瘤颈宽约 2. 2mm,纵径约5. 8mm。胸部 CT(如下图):双肺较对称团片状渗出高密度影。











初步诊断
1、右侧颈内动脉C7段动脉瘤破裂出血;
2、自发性蛛网膜下腔出血(Hunt-Hess V级,Fisher IV级,MRS 5分,NIHSS 42分);
3、脑疝;
4、神经源性肺水肿;
5、吸入性肺炎。








手术过程
全麻满意后取平卧位,常规腹股沟区安多福消毒,铺巾,取右侧腹股沟韧带下方约2.5CM作穿刺点,用selderger法穿刺股动脉成功后置入黑导丝,顺黑导丝置换入6F导管鞘,静脉推注10mg肝素钠。使用造影导丝带6F指引导管上至右侧颈内动脉起始段,造影提示右侧颈内动脉C7段动脉瘤,进一步完善3D造影,见瘤体呈类球形,大小约3.6mm*5.5mm,朝向内上方,瘤颈窄。
将指引导管上至右侧颈内动脉颈段,Synchro-14导丝带 Excelsior SL-10微导管上至右侧颈内动脉,微导丝进入动脉瘤后带入SL-10微导管到位,分别填入Target 3D 4mm×8cm、Target 2D 3mm×8cm、Target 2D 3mm×8cm、Target 2D 3mm×6cmTarget 2D 3mm×6cm,共5枚弹簧圈。复查造影见动脉瘤腔栓塞致密,造影未见动脉瘤显影,未见瘤颈残留。退出微导管,退出指引导管,术毕,术程顺利,麻醉满意,术中出血少,保留股动脉鞘管并固定。术后患者未复苏。
术后情况
双侧瞳孔不等大,左:右=2mm:2.5mm,对光反射测不出。出介入室直接复查头胸CT后进一步评估病情。
结果与颅脑及胸部CT旧片对照:大量蛛网膜下腔出血,较前稍增多。脑肿胀,合并轻度缺血缺氧性脑改变,以上改变较前稍明显。新见右侧颈内动脉结节致密影,结合临床病史考虑右侧颈内动脉瘤术后改变;颅脑HRCT能谱分析显示目前未见明确造影剂外渗征象,考虑神经源性肺水肿,双肺渗出较前明显增多,建议治疗后短期内复查。






急诊予以床边行侧脑室外引流及其颅内压监测探头置入术。
患者气管插管镇静状态,取鼻根后9.5cm中线旁2.5cm为穿刺点。常规消毒铺巾,头部局部利多卡因局部浸润麻醉,切开头皮0.3cm,颅椎钻孔,钻孔一枚达硬膜层,刺破硬膜后,用带有颅内压监测探头的脑室外引流管,颅内压穿刺额角成功,置入深度约4.5cm,见透明脑脊液涌出,拔出针芯,脑脊液不流,可见碎裂脑组织流出,考虑颅内压高,脑肿胀严重,脑室变小,故予以再置入约0.5cm,随后固定引流管,连接颅内压监测仪及其引流管,显示颅内压力为51mmH2O,显示颅内压力极高,床边动态观察颅内压力进行性升高至65mmH2O。
由于患者病情进行性加重,颅内压力进行性升高,生命体征(循环)不稳,积极手术风险极高,术中容易出现心跳骤停,预后极差。经家属充分沟通商议后决定放弃进一步外科手术,予以暂时保守药物对症治疗。
患者因不可抗力,病情严重,于发病后3日离世。
诊断
蛛网膜下腔出血并发急性肺水肿者多起病急骤,发展迅速,死亡率高,及早的诊断有利于指导治疗。
急性肺水肿的诊断依据有:
①脑损伤或其他中枢神经统疾病损害后突然出现呼吸窘迫、发绀和粉红色泡沫痰。
②双肺湿啰音,胸片早期为轻度间质性改变或肺纹理增粗,晚期为大片云雾状阴影。
③无过多、过速输液,无原发性心、肺疾患。
④一般给氧时血气分析PaO2 <8.0kPa。
具备上述 4 个条件即可确诊。但在疾病的早期,可能仅表现为呼吸、心率增加及血压升高,这些表现缺乏临床特异性,同时早期肺部 X 检查也缺乏特异性,因此早期往往被误诊或误治,氧合指数(PaO2 /FiO2 ) <300 mmHg 有利于早期做出诊断,同时急性神经源性肺水肿也是一个排他性诊断,需排除误吸、原发性的心脏、肺部及肾脏疾病导致的肺水肿及输液过多导致的非急性神经源性肺水肿。
本例患者具有急性肺水肿的典型表现,故肺水肿的诊断不难。结合以头痛为首发表现,入院时意识障碍及颈阻阳性,考虑肺水肿为神经源性。病因诊断将中枢神经系统疾病放在首位,行 CT、CTA 后确诊为动脉瘤性蛛网膜下腔出血。该患者平素体健,无心肺疾病,其心脏损害,考虑为蛛网膜下腔出血后所致心肌顿抑,具有自限性和可逆转性。

临床上肺水肿的临床分型主要有心源性肺水肿、肾源性肺水肿、神经源性肺水肿等,各种继发性肺水肿的临床表现相似,诊断主要依靠临床与肺部影像学表现结合分析。正确认识神经源性肺水肿的临床影像学表现以及临床特征分析有助于病情的及早诊断以及识别。

研究分析发现神经源性的主要影像学表现为中心性肺水肿以及周围性肺水肿两种类型。中心性肺水肿表现为双肺以肺门为中心片状渗出性病变影,典型者又称为蝶翼样改变。周围性肺水肿又称为间质性肺水肿,其主要表现为双肺纹理增重,增多,肺内透光性降低,部分严重者可呈小片影,双侧胸腔积液较为常见。神经源性肺水肿的临床影像学表现与心源性肺水肿、肾源性肺水肿表现相似,鉴别诊断主要依靠临床原发疾病病史。

治疗
急性神经源性肺水肿一旦确诊,应立即救治,救治是否及时正确是决定患者预后的关键因素。
治疗应包括肺水肿与原发病两方面:
①加强氧疗:发生急性神经源性肺水肿后,立即予高浓度吸氧,效果不佳(Pa02 <8.0KPa)时应及时行气管插管机械辅助呼吸,给予中小潮气量,呼气末正压机械通气,PEEP 设置尽量不超过 10mmH2O,通气时间也无需过长,可减少肺血渗漏,促进肺水肿消退,同时改善肺通气/灌流比值异常。
②适当使用血管活性药物,调控血压:如东莨菪碱、尼莫地平、硝普钠等。必要时应用强心剂:对心率持续>120 次/min。尤其是高龄合并潜在心功能不全的患者。
③积极预防和治疗并发症:如应激性溃疡、循环衰竭、肺部感染及水电解质酸碱失衡等。
④加强护理.尤其是呼吸道的护理。患者病程中可出现大量泡沫痰,且患者往往处于昏迷状态,因此加强气道管理,及时翻身拍背吸痰、预防窒息,亦是抢救成功与否的关键因素之一。
⑤病因治疗:自发性蛛网膜下腔出血的主要病因是颅内动脉瘤破裂,故在确诊为动脉瘤后需尽早行手术治疗。对于合并有肺水肿的患者,通常 Hunt-Hess 分级较高(Ⅳ-Ⅴ级),且可能会同时或相继并发全身其他脏器的损害,开颅手术风险极大,血管内介入栓塞术对该类患者具有明显的优势,处理好动脉瘤也可为后续治疗打下基础。
参考文献
[1] Busl KM,Bleck TP. Neurogenic pulmonary edema[J].Crit Care Med,2015,43(8):1710.
[2] Davision DL,Terek M,Chawla LS.Neurogenic pulmonary edema[J].Critical Care,2012,16:212.
[3] 谢思宁,吴震.神经源性肺水肿的研究现状[J].临床神经外科杂志,2018,15(2):158-160.
[4] 杨福英,陈光华.神经源性肺水肿(附 14 例临床及病理报告)[J].广东医学,1992,13(5):254.
[5] 赵菁.神经源性肺水肿的发病机制及诊疗进展[J].中国中西医结合急救杂志,2015,22(4):442-444.
[6] 唐占军,段凯强,梁立,等.急性脑血管病并发神经源性肺水肿临床特点及影像学分析[J].临床合理用药杂志,2015,8(31):100-101.

更多精彩内容 请关注作者
点击或扫描上方二维码
查看更多“脑血管”内容





