
术者寄语
桡动脉通路建立目前仍需借用股动脉常用的通路材料,需要我们对现有材料熟知熟用,常规使用的guiding和高性能长鞘经桡动脉使用越来越多,但仍存在弊病,guiding难高到位,部分路径使用易打折;使用长鞘有的需要交换,且术后桡动脉痉挛及闭塞率明显较高。
桡动脉入路进行血管治疗时,稳定的支持、兼容的管径和到位性是术者需要考虑的。Tethys®中间导引导管无支撑下应用在桡动脉入路辅助治疗过程中,到位高,良好的支撑性,转弯处不易折,充分体现了桡动脉入路通路建立中的优势。
本期「嘉介谈」邀请蚌埠医学院第一附属医院殷亮团队,展示Tethys®中间导引导管无支撑下经左侧远桡通路辅助行椎动脉颅内段支架植入术一例,精彩不容错过。


病例简介
01 患者基本信息
一般资料:患者男性,77岁。
现病史:以“发作性眩晕2月余”为主诉于2023年2月26日入院。
既往史:既往有高血压及吸烟史多年,否认糖尿病等病史。
查体:神志清楚,查体合作,闭目难立征(±),余无特殊。NIHSS评分:0分,GCS评分:15分,mRS评分:1分。
02 术前影像资料
外院头MRI+颅颈MRA(2023.02.07):双侧基底节区腔隙性脑梗死,双侧椎动脉颅内段显示不清,颈动脉及基底动脉未见明显狭窄。


外院DSA(2023.02.09):左侧椎动脉V4段重度狭窄,右侧椎动脉V3段远端闭塞。前循环未见明显异常。

外院DSA(2023.02.09):左侧椎动脉V4段重度狭窄,右侧椎动脉V3段远端闭塞。前循环未见明显异常。

外院DSA(2023.02.09):左侧椎动脉V4段重度狭窄,右侧椎动脉V3段远端闭塞。前循环未见明显异常。

外院DSA(2023.02.09):左侧椎动脉V4段重度狭窄,右侧椎动脉V3段远端闭塞。前循环未见明显异常。

诊疗经过
01 术前讨论
当地医院予以阿司匹林+氯吡格雷+他汀等治疗后患者发作性眩晕症状仍频繁再发。诊断:后循环TIA,拟行经远桡动脉椎动脉支架植入术。
手术指征:
1.狭窄大于70%
2.有缺血症状
3.身体状况允许
4.无手术禁忌症
5.患方知情同意
麻醉选择:全麻
1、局麻下患者难以耐受
2、保证操作稳定
3、并发症后处理及时
通路选择----左侧远桡通路
1、右椎右桡,左椎左桡,通路最短
2、左侧远桡体位舒适
导管选择----单纯5F中间导管
1、减少交换步骤
2、减少对椎开口牵拉
3、5F适合颅内支架,减少桡动脉损伤
球囊选择----3MM预扩
目标血管直径70%
支架选择----自膨支架
1、狭窄段长
2、狭窄远近端直径相差大
术中突破血管
预案:温柔操作,鱼精蛋白、弹簧圈、球囊备用
夹层或再闭塞
预案:替罗非班、支架备用
术后高灌注
预案:严格控制血压110以下
5F 桡动脉鞘
260cm泥鳅导丝
加奇生物5F 115cm Tethys®中间导引导管
0.014*300cm微导丝
3*20mm球囊
XT-27微导管
4.5*20mm自膨支架
05 手术过程

置鞘成功

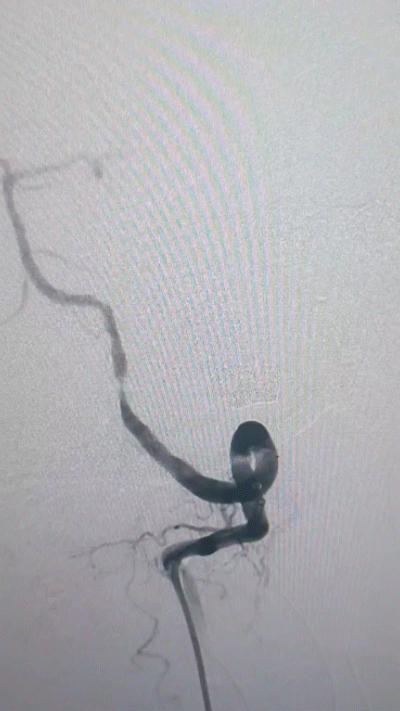
鞘内造影

锁骨下造影

近椎口造影
Tethys®中间导引导管沿导丝顺利到达病变近端附近,锁骨下至椎动脉转弯处充分体现了近端良好的⽀撑性与抗折性,帮助后续⾎管开通治疗建⽴稳定通路系统

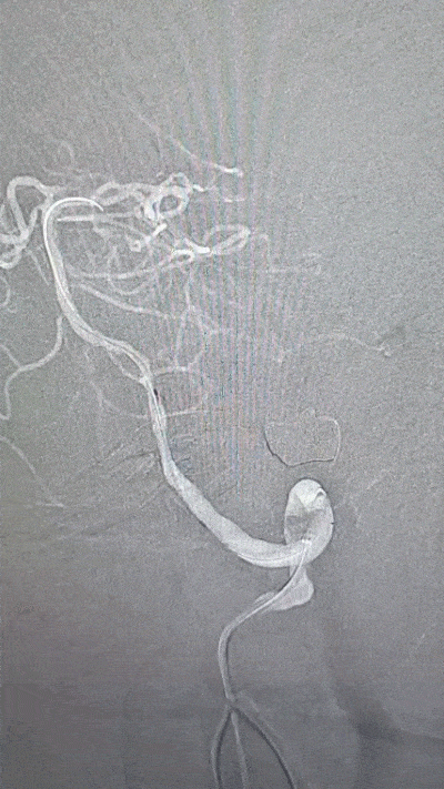
中间导管到位后造影
微导丝通过狭窄段

微导丝置于左侧大脑后

球囊到位

3mm*20mm球囊扩张

复查造影

5min后复查造影

XT27微导管到位

支架导管到位

支架到位

回撤支架输送杆

4.5mm*20mm自膨支架释放

复查造影

术前造影

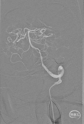
术后造影

麻醉科复苏室
术后思考
//
5F Tethys®中间导引导管可以满足颅内支架需求,同时适合桡直径。
无支撑Tethys®中间导引导管利用上肢动脉作为自然支撑,相比较股通路可减少手术器械,减少操作步骤
右椎从右侧近桡,左椎从左侧远桡,符合生理,路径最短,病人及术者体位均舒适。
桡通路进椎,较股通路进椎简单,尤其右侧。
Tethys®中间导引导管可以根据需要上到更高位置,同时,近端转弯处具有良好的支撑与抗折性,且减少对血管拉直效应,减少损伤及痉挛可能。
桡通路术后直接拔管,及早下床,可减少股通路相关并发症,舒适感增强。
越来越多研究证明,经桡动脉入路的优点。

133例经桡动脉入路或经远桡动脉造影或介入治疗患者没有明显的穿刺并发症。

该研究共有92例病例(42例经桡动脉入路,50例经股动脉入路),研究表明,经桡动脉入路穿刺部位并发症、术后留置导尿、围手术期事件均优于经股动脉入路。

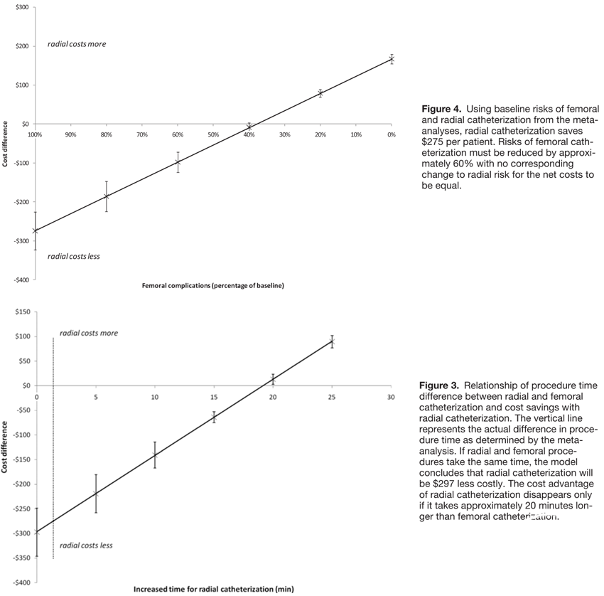
经桡动脉入路较经股动脉入路时间多花费3分钟,但经桡动脉入路可为患者节约成本。
术者简介
殷亮
蚌埠医学院第一附属医院
蚌埠医学院第一附属医院神经内科神经介入组组长、副主任医师、副教授、硕士研究生导师
中国研究型医院学会介入神经病学专委会经桡动脉介入协作组委员、安徽省卒中学会理事、安徽省医学会神经病学分会青年委员、安徽省医师协会神经介入委员会委员、安徽省抗癫痫协会理事会理事、蚌埠市医学会秘书
2012年起从事神经介入工作,主要研究方向为上肢通路神经介入诊疗及颅内外血管非急性期闭塞开通
刘扬
蚌埠医学院第一附属医院
蚌埠医学院第一附属医院神经内科副主任医师,神经病学硕士
专业特长为老年神经病学,脑血管病介入诊疗方向
现任安徽省医师协会神经内科学医师分会第一届青年委员会委员,安徽省医学会临床神经电生理分会青年委员,安徽省医师协会神经调控专业委员会第一届委员。蚌埠预防接种异常反应调查诊断专家库成员。在各类学术杂志发表专业论著数篇
时鹏
蚌埠医学院第一附属医院
蚌埠医学院第一附属医院神经内科,医学博士,副主任医师,副教授,硕士生导师,科室副主任,教研室副主任,科室党支部书记
安徽省神经病学青年委员,安徽省神经病学认知功能障碍学组委员,安徽省全科医学整合神经病学委员、安徽省全科医学罕见病委员,安徽省心身医学学会委员
致力于脑血管疾病神经介入、神经自身免疫性疾病的临床与基础研究,第一或通讯作者发表核心期刊20篇(SCI 5篇),主持省厅级课题5项(教育厅重大课题1项),获国家创新发明专利2项,获安徽省科学技术进步奖3等奖(排名第三)1项,安徽省中医药科学技术奖2等奖(排名第四)1项
王春
蚌埠医学院第一附属医院
蚌埠医学院第一附属医院神经内科副主任医师、讲师
2007年毕业于蚌埠医学院,一直从事神经内科临床、科研及教学工作,基础理论扎实,对神经内科常见病、多发病的诊治积累了较为丰富的经验,擅长脑血管病的介入治疗。发表论文多篇,主持蚌埠医学院科技发展基金课题一项,主持蚌埠市社科类课题一项,均已结题
点击或扫描上方二维码
查看更多“介入”内容














