患者术前MRI【肿瘤最大径约23mm】

患者术前CT 【显示患侧内听道扩大】

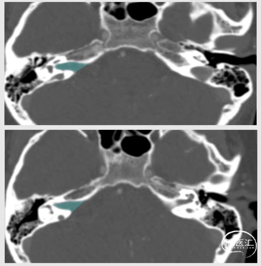
患者术前颈静脉球【高位】


🌻 小瑞术后5天视频 🌻

患者术后面神经功能1级保留
❤️ 快速康复:
听神经瘤手术的目的就是为了全切肿瘤,同时保护面神经的功能和听力。术中可能会碰到各种各样的问题,颈静脉球高位是术中常见的一种阻碍肿瘤全切的情形。妥善处理颈静脉球高位既能保留面神经功能,又能做到肿瘤全切,将高位颈静脉球变成低位颈静脉球是关键。
神经内镜技术在显露内听道底方面有优势,我们将内听道后壁磨开和内镜技术相结合,可以保证在面神经无张力的基础上利用内镜技术分离肿瘤并做到全部切除。这样,面神经功能才可以保留到最好。
快速康复是在听神经瘤手术切除规范化、流程化的基础上进行的,规范化、流程化处理得越好,快速康复效果就越好。
走进手术室-听神经瘤手术现场
团队简介
上图为神经外科团队和听瘤患者合影
上海市第一人民医院神经外科听神经瘤团队是一支医资力量雄厚、勇猛精进的队伍。
经过数年的经验积累,团队积累了丰富的临床经验,总结出成套科学的疾病治疗流程。
从微创切口到术中神经监测,从术后预防感染再到出院后宣教和后续跟踪随访,我们团队始终在拓展为患者服务的维度。
2020年,虽然新冠疫情给就医带来了许多困难,但是团队依然坚持以更加有利于患者就医为出发点,在精进诊疗技术的同时,为每位患者克服各种不便,从而为更多的患者祛除肿瘤的阴霾,让他们重拾灿烂的微笑。
术者简介

楼美清教授
Professor Meiqing Lou,M.D.
楼美清,现任上海市第一人民医院神经外科主任,医学博士,教授,主任医师,博士生导师。
任世界神经外科联合会(WFNS)颅底外科组委员,中华医学会上海市神经外科专委会常委,中国医师协会神经内镜专业委员会委员,中国医师协会微侵袭神经外科专委会委员,世界华人神经外科协会脊柱脊髓专家委员会副主委,中华医学会神经外科分会神经肿瘤专业组委员, 中国医师协会脑血管病专业委员会委员,上海市抗癌协会神经肿瘤专业委员会副主委,中华医学会神经脊柱专业委员会委员,中国垂体瘤协作组委员。
从事神经外科工作27年,有高度娴熟扎实的显微镜和内镜神经外科技术操作功底, 在颅内肿瘤、脑血管病、脊椎等神经系统疾病手术中积累了约6000余例的丰富临床经验。擅长治疗垂体瘤、听神经瘤、脑干等颅底疾病。
![]()
完
点击或扫描上方二维码,查看更多“脑肿瘤”内容


















