整理自福建医科大学附属第一医院郑树法主诊组工作经历
福州四月天,天气说变就变。刚刚还是春光明媚草长莺飞,转眼就阴云密布日月无光。灰朦的天空隐约发出一声沉闷的巨响,一道闪电划破天际,满城黑云便化作大雨倾盆而下。
今天雨下这么大,应该没什么人来看门诊了吧。看完预约的几个病人后,我坐在诊室思考明天住院病人的手术策略。明天有2台手术,一台烟雾病血管搭桥手术、一台基底动脉瘤支架辅助栓塞术,刚想打开病人的影像资料,就听到一阵敲门声。
“医生,您好,请问可以加个号吗?”循声望去,门口是一位两鬓斑白的中老年男子,左手拿着伞,右手提着一大袋子材料。
“可以呀,请进。”我点头示意。
落座之后,我才发现他鞋子、裤脚、甚至上衣都湿透了,倒是装材料的袋子滴水未沾。
他在胸前仅剩的一小片未湿的衣服上擦了擦手,然后从袋子里拿出一份出院小结,轻声说道,“医生,这次来是想向您咨询一下我爱人后续治疗的事情,要不要转到我们医院补头骨。”他的面容稍显疲惫,但仍挂着浅浅的笑容。
“你把大概情况跟我说一下。”我接过出院小结翻看起来,但心中第一反应却是,颅骨修补?这是神经外科比较常规的手术,有必要转上来吗?
“是这样,3个月前,我老婆在家里从楼梯上摔下来,拍了片子,医生说脑袋里出血了,需要做手术,当时我其实想转到省里这边医院来,毕竟是脑袋的手术,但是那时候医生说情况紧急,要立刻做手术,转院怕有生命危险,所以当时就直接在我们那里做了手术。”言语之间,他似乎还有些懊恼当时没有转院上来。
左侧额颞顶部硬膜下血肿、左颞部脑出血、中线偏移,入院查体神志昏迷,双侧瞳孔不等大,对光反射消失——出院小结上短短几行字却是常人难以想象的血雨腥风。
“她这个情况确实刻不容缓,如果没有当时及时做了手术,也许你现在都没有机会在这里和我讨论后续的治疗方案。”我安慰了一下家属,他紧锁的眉头才有些许舒缓。我又说道,“有没有她检查的片子?我看一下。”影像资料对病情评估是非常重要的,特别是患者本人没有到场的情况。
“好的,这些是我们住院期间拍的片子,都在这里了。”他一边说一边将袋子里的片子拿出来。
接过厚厚一叠胶片,发现每一张胶片右上角都贴了一个小小的标签,上面写着2023年几月几日的字样,尽管字体歪歪扭扭,但清晰可辨。
一次次检查的颅脑CT,如同电影一般向我展示着患者从入院到现在的病情变化,但极强的专业素养让我立刻发现了端倪。从颅脑CT上看,如果是摔倒外伤引起的硬膜下血肿,甚至已经出现了脑实质出血的情况,当时创伤的应力应该非常之大,那么头皮的挫裂伤和肿胀应该也会非常的明显,而患者术前第一张颅脑CT上的头皮和颅骨却完好得太过反常!
此时,窗外的天空中突然闪过一道狭长白炙的光亮,将窗口一分二,晕开的光近乎将整个灰暗的天空照亮,随后传来一阵长长的隆隆雷鸣声。
于是,我直截了当的问他,“你爱人摔倒前有没有头晕头痛的症状?”
他似乎不明白我为什么要突然问这个问题,但回答却如我所料,“有的,她就是因为头痛才说要上楼休息的。唉,我当时要是陪她上去就好了。”
先头痛后摔倒,这是多么重要的信息!这极有可能意味这她是先出血后摔倒,而不是先摔倒后出血。此时我迅速翻找病人的影像资料,试图寻找脑血病筛查的片子,但一张都没有。
“是这样,不管是从时间还是从最后一次复查的颅脑CT看,都已经到了需要进行颅骨修补的时候了,如果单纯只是做颅骨修补,这个手术在你们医院是可以完成的,不需要转上来。但是,有一个事情需要注意,你爱人其实是先有头痛的症状,后面才摔倒的,这很有可能是脑袋先出血,而不是摔倒引起的出血。”
“啊?这怎么了?”
“如果是脑袋先出血,这说明脑袋里面可能有别的问题需要处理,但是术前的CT实在太像外伤引起的出血,确实容易遗漏脑血管的问题。”我特地提高的声量,这是经过一系列问诊之后的重要判断。
“啊,当时实在太慌了,我好像只说了是从楼梯上摔下来,没有说的这么详细,那现在要怎么办?”
“没事,这不影响当时的治疗。但目前需要先完善一下脑血管病的检查,排除一下脑血管病。如果有问题,就需要先处理脑血管的问题,再做颅骨修补。你可以在当地医院做个颅脑CTA。”
“好的,那我们先查一下,如果有问题我在和您联系可以吗?”
“当然可以。”将我的联系方式留给他之后,他收拾完材料,向我道谢一句,便出门离开了。
一周过去,福州的天空早已赶走带来暴雨的黑云,又洒满了令万物复苏的明媚阳光。
神经外科医生的工作总是忙碌而充实。如《无问西东》中梅贻琦所言,每天往返于手术室和病房之间,常常让我感受到一种,从心灵深处满溢出来的,不懊悔也不羞耻的平和与喜悦,更体验到一种生命的饱满与真实。但过去一周,我心里总萦绕着某种牵挂和不安,我似乎是想联系一个人,却想不起来是谁。直到我接到了一个电话。
“医生,我是上周门诊找您说要颅骨修补的患者家属,您让我们回去做那个血管的检查,您还记得吗?”
这熟悉的声音让我有拨开云雾见月明之感,就是想联系他!“我这几天也刚想着要联系你!检查有做了吗?”
“做了,竟然真的有问题!”
我赶忙让他将照片发过来,点开图片一看,颅脑CTA重建明确的显示了一个右侧中颅窝底硬脑膜动静脉瘘!所谓动静脉瘘,即动脉和静脉之间存在异常通道连接,动脉血液通过不正常途径流入伴行的静脉,这是一个危险的脑血管病,远期脑缺血或者再出血的概率都很高。这有可能就是当时出血的病因,是比颅骨修补更棘手、更需要解决的问题。
于是,后面的事情就顺利成章了。
入院,术前准备,全麻下行硬脑膜动静脉瘘介入栓塞术、平稳过渡后再行颅骨修补术。一系列治疗紧凑又有条不紊的先后完成。患者因为出血后遗留肢体肌力下降的问题,颅骨修补完成之后不久便转到康复科继续康复治疗。
转科半个月后,我过去探望了一下患者。患者正站在窗边,在家属陪护下进行肌力的锻炼,动作不急不徐。窗外,两排羊蹄甲花开得正艳。白色的粉色的花朵迫不及待地睁开眼,看这美好的春天。

附:

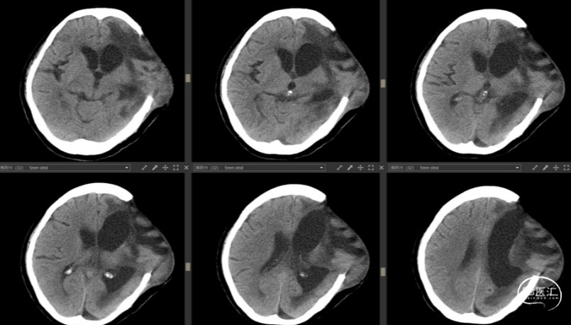
去骨瓣术前颅脑CT情况

去骨瓣术后颅脑CT情况


入院颅脑CTA情况

入院全脑血管造影情况

行硬脑膜动静脉瘘介入栓塞术情况


颅骨修补术前三维重建情况


颅骨修补术后三维重建情况。
作者简介
王豪杰
福建医科大学附属第一医院
福建医科大学附属第一医院专业型硕士研究生,师从康德智教授
从事脑血管病的研究,发表SCI论文6篇(排名前三),曾获得2022年研究生国家奖学金、2022年福建医科大学优秀研究生称号
点击二维码,前往王豪杰学术主页
谢冰森 主治医师
福建医科大学附属第一医院
国家区域医疗中心、复旦大学附属华山医院福建医院、福建医科大学附属第一医院滨海院区,神经外科主治医师
从事脑、脊髓血管疾病的临床(介入和开颅手术)和科研工作,参与多项课题及多中心临床研究,以第一作者或通讯作者身份在Neurosurgery、World Neurosurger等杂志发表SCI论文6篇,影响因子>20分
2015年毕业于福建医科大学七年制临床医学,师从康德智教授
2022年赴上海华山医院学习血管搭桥技术,师从徐斌教授
2021年荣获“神外有声”第二届脑脊液管理病例大赛全国第一名
2021年荣获“医生请上台”第一届神经外科医生演说家大会“别具医格”奖(全国第二名)
2022年荣获首届中国神经介入医师手术大赛全国第三名
点击二维码,前往谢冰森 主治医师学术主页
查看更多精彩内容
郑树法 副主任医师
福建医科大学附属第一医院
福建医科大学附属第一神经外科、复旦大学附属华山医院福建医院神经外科主诊医师
中国医药教育协会神经外科装备发展促进分会常务委员
脑防委出血性卒中外科委员会执行秘书
中国研究型医院学会脑血管病学专业委员会青年委员
中国老年医学学会脑血管病分会委员
卒中学会脑血管外科分会委员
中国抗癌协会脑胶质瘤专委会青年委员
中国医师协会脑胶质瘤专业委员会青年委员
中国医师协会脑胶质瘤专委会化疗与免疫治疗专委会委员
中国CBNS师资委员会委员
福建省脑卒中质控中心专家组成员
福建医科大学校友会志愿服务分会监事
主要研究方向为脑血管病的诊疗和脑肿瘤的生物治疗。擅长脑血管病,脑肿瘤,颅脑损伤,癫痫,面肌痉挛,三叉神经痛的诊疗。精通脑出血、脑动脉瘤、脑血管畸形、烟雾病、脑/脊髓动静脉瘘、脑静脉窦血栓(静脉性梗死)、脑静脉窦狭窄、脑梗死、急性颅内外大动脉梗塞或栓塞、颈动脉狭窄,颅内血管狭窄或闭塞等脑血管病的诊疗。2019年开始开展脑动脉瘤血流导向装置(密网支架)植入术治疗脑内复杂动脉瘤。目前为福建省能独立开展血流导向装置植入术治疗脑动脉瘤的术者和Pipeline密网支架植入术导师之一。提倡分区栓塞(MCP)理念治疗不规则脑动脉瘤,提出MT-TDSA技术治疗脑静脉窦血栓
点击二维码,前往郑树法 副主任医师学术主页
查看更多精彩内容
点击或扫描上方二维码,查看更多“创伤重症”内容














