今天为大家分享的是,由中国人民解放军北部战区总医院曹鹏教授带来的桥脑海绵状血管瘤安全区切除,欢迎阅读、分享!
继2015年Michael T.Lawton教授在Neurosurgery上首次提出脑干海绵状血管瘤评分表后(文献一),2022年其在JNS上再次连续发文(文献二、三、四、五、六),对脑干不同部位的海绵状血管瘤的手术安全区三角、手术入路进行了详细的阐述,引发了神经外科医生对脑干海绵状血管瘤(BSCMs)手术的热烈探讨,本文通过近期本中心两例中脑BSCMs病例,结合Lawton教授的观点予以分析讨论。

文献一

文献二
文献三

文献四

文献五

文献六

图1
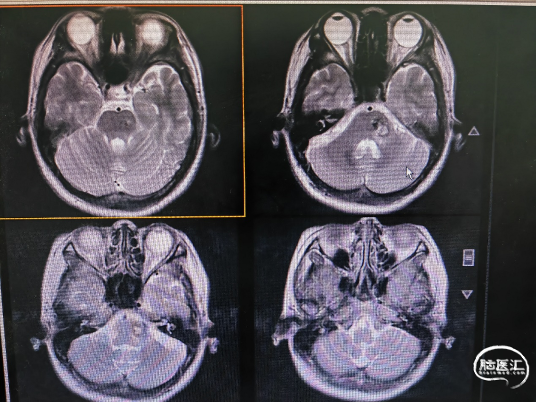
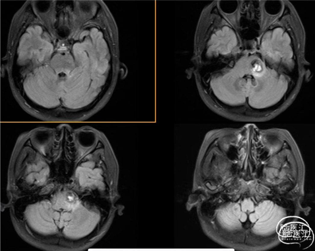
病例一

图2



对于菱形窝型BSCMs,选取枕下后正中入路,俯卧位头部尽量屈曲,沿小脑后下动脉P3段分开扁桃体延髓裂,切开部分下髓帆,右侧暴露相对充足,如果BSCMs未破溃至桥脑背侧表面,需神经电生理明确面丘位置,明确两个安全切入区三角,面丘上三角及面丘下三角,神经导航选择其一进入。
本例患者暴露四脑室菱形窝后已可见明显破溃口,电生理监测破溃点为面丘上三角,予以顺利切除,术后患者无新发神经功能障碍。





病例二
女,39岁,头痛伴四肢麻木半个月,BSCMs评分0。


图12
plan A

plan B





专家点评
(文中部分图片来源于Lawton教授文献;
视频来源于YouTube)
点评专家简介
梁国标 教授
中国人民解放军北部战区总医院
北部战区总医院神经外科主任、主任医师;全军神经医学研究所所长
中华医学会辽宁省神经外科分会候任主委
辽宁省神经介入学会主任委员
辽宁省神经介入组组长
中国研究型医院学会神经微侵袭专业委员会主任委员
世界华人神经外科协会委员
中国医师协会神经外科医师分会委员
中国医师协会介入医师分会委员
中国医师协会脑血管病专家委员会委员
中华医学会神经外科学分会脑血管病学组副主任委员
全军神经外科学专业委员会常务委员
担任《Neurosurgery》和《Neurology India》审稿专家,《中华神经外科杂志》《中华实验外科杂志》《中国临床神经外科杂志》《创伤外科杂志》《中国微侵袭神经外科杂志》《临床误诊误治》《解放军医药杂志》编委等职
先后荣获辽宁“兴辽英才”计划科技创新领军人才,沈阳市杰出医师奖,沈阳市第七届优秀专家,军区科技发展创新人才等荣誉称号
承担国家十一五、十二五科技支撑计划子课题各1项、国家自然科学基金2项、辽宁省重点项目指导计划1项、辽宁省科技攻关课题1项,辽宁科技创新领军人才项目课题1项,辽宁省博士科研启动基金计划项目课题1项。以第一完成人获军队医疗成果二等奖一项,以第一完成人获辽宁省科技进步一等奖一项,辽宁省科技进步二等奖两项,军队及辽宁省省科技进步三等奖6项,享受军队优秀专业技术人才岗位津贴。发表各类核心期刊200余篇,SCI文章80余篇
作者简介
曹鹏 教授
中国人民解放军北部战区总医院
北部战区总医院神经外科副主任医师、神经外科博士后、硕士研究生导师、芬兰赫尔辛基大学中心医院神经外科访问学者,师从全国著名神经外科专家北部战区总医院神经外科梁国标教授
点击上方二维码前往曹鹏 教授学术主页
查看更多精彩内容
声明:脑医汇旗下神外资讯、神介资讯、神内资讯、脑医咨询、AiBrain 所发表内容之知识产权为脑医汇及主办方、原作者等相关权利人所有。









