
术者:黄明雷
术者单位:广东省惠州市惠阳三和医院
病例简介
入院检查:BP:207/82mmHg。专科查体:神清,构音清,记忆力、定向力、计算力可,双侧瞳孔直径约3mm,对光反射灵敏,双侧额纹对称,口角不歪,伸舌居中,四肢肢体肌力5级,肌张力正常。四肢腱反射:左(++),右(++),Babinski征(-),Gordon征(-),脑膜刺激征(-),指鼻试验欠稳准,感觉系统未见异常。NIHSS评分1分(共济失调1分),GCS评分15分,发病前mRS评分1分。
CT检查:

MR检查:




进行了常规化验,颈部超声检查、头部CT和MRI检查。
初步诊断:
右侧脑室旁急性脑梗死(TOAST分型大动脉粥样硬化),左侧大脑后动脉P2、P3段可见中-重度狭窄,右侧大脑后动脉P2、P3段可见局限性轻-中度狭窄;
右侧颈内动脉C4、C6段狭窄,左侧颈内动脉C6、C7段局限性轻-中度狭窄。彩超提示右侧椎动脉起始段探测不清,不排除狭窄可能,左侧椎动脉阻力高,不除外远端闭塞可能;
高血压3级;
2型糖尿病。
术前准备
结合患者病史以及相关影像学检查,提示了前循环的新发脑梗,但似乎无法解释患者多年头晕的症状。患者入院后经系统治疗,但症状无缓解。考虑后循环缺血可能性大,拟行主动脉弓加全脑血管造影术。

1、Ⅲ型弓,右侧头臂干左侧颈总动脉,左侧锁骨下动脉起始均有斑块形成。

2、右侧椎动脉V2段以远闭塞。

3、左侧颈内动脉起始重度狭窄(90%)
患者突然出现讲话不清,头晕,视物不清,烦躁不安,查体可见双眼水平眼震,构音不清,共济失调无法检查,粗测肌力未见异常。造影显示患者后交通开放,左侧颈动脉造影的正侧位像均可见基底动脉逆流显影至小脑前下动脉。考虑右侧椎基底动脉急性血栓。
取栓备球囊扩张、支架成型。
斑块脱落引起栓塞事件、通路建立困难。
微导丝:泥鳅导丝、Avigo™
微导管:Rebar™ 18
导引导管:6F,经绕入路
取栓支架:Solitarie™ X颅内取栓支架3×20mm
手术过程

单弯导管造影提示右侧椎动脉起始重度狭窄,V1段开始血流缓慢。考虑右侧椎动脉V4重度狭窄处急性血栓,撤出造影导管,更换6F指引导管。

微导丝配合微导管同轴带入6F导引导管,进入右侧椎动脉V2段,再次造影提示右侧椎动脉V4段急性血栓。

微导丝尝试通过右侧椎动脉V4狭窄段,再次造影提示血栓向基底动脉尖端逃逸,闭塞基底动脉尖端。新鲜血栓容易碎,故选用支架取栓。

微导丝配合微导管超选入左侧大脑后动脉P1段,随后撤出微导丝,微导管冒烟证实真腔。

经微导管推送到位并缓慢释放Solitaire™ X(3×20mm)颅内取栓支架,整个过程需要的推力很小。

Solitaire™ X颅内取栓支架轻松推送并释放,全程显影。

停留6分钟后,导引导管负压下将取栓支架和微导管缓慢回撤至6F导引导管中,随后快速撤出体外。

如图为支架取出的约0.8×0.4cm大小血栓,此外前端还有一小块血栓,不小心掉在地上,所以这个不是完整的血栓照片。

再次造影可见右侧椎动脉起始段和V4段重度狭窄。

随后应用颅内球囊(2.5mm×12mm)6个atm下缓慢扩张,再次造影,显示狭窄改善,仍有残余狭窄大约40%。

后用药物涂层球扩支架4.0×16mm,准确定位右侧椎动脉开口起始狭窄部位,8atm压力下释放支架后造影。
术后情况

术后右侧椎动脉正位。

术后右侧椎动脉侧位。


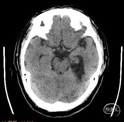
术后即刻CT:延髓幕上池及大脑纵裂池高密度影。

术后24小时CT复查:左侧小脑新发脑梗死。
患者术后第二天生命体征稳定,意识清,言语流利,自诉头晕,行走不稳明显,自己在床上可独坐,搀扶可下地行走,术后一周患者头晕症状进一步减轻,但仍有行走不稳,可自行下地行走。
病例总结
1、这是一个后循环的串联病变病例,传统治疗急性基底动脉闭塞的报道中,良好预后为5%-21%(mRS评分0-3分),死亡率为40%-86%,存活中严重神经功能障碍者≥65%。因此支架取栓,早期再通血管对降低残障率、致死率至关重要。
2、该病例在造影中才发现患者无名动脉起始多发斑块伴狭窄以及右侧椎动脉起始段和V4段重度狭窄,同时术中合并有急性血栓形成。这给治疗增加了手术难度。造影是选择经桡入路的,6F的导引导管在通过椎动脉起始狭窄时存在一定的风险,但幸运的是同轴技术下6F指引导管顺利的进到右侧椎动脉V2段,入路建立稳定后治疗就顺利了。
3、颅内取栓支架Solitaire™ X输送更顺滑,抓栓力强,对血管牵张力更小,铂金显影点有利于判断支架打开的情况。
术者简介
黄明雷
广东省惠州市惠阳三和医院
广东省惠州市惠阳三和医院神经内科主任,卒中中心执行主任,副主任医师
学习经历:2008年本科毕业于佳木斯大学临床医学院,2015年于首都医科大学附属北京安贞医院进修学习神经内科重症以及神经介入,2018年于哈尔滨医科大学附属第一医院神经介入科史怀璋教授团队进修学习。
专业特长:擅长神经内科常见病如眩晕,头痛,脑血管病,脱髓鞘病,脑炎,周围神经病的诊断及治疗,尤其是急性缺血性脑血管病的动静脉溶栓以及支架取栓等介入治疗。
点击或扫描上方二维码
查看更多“介入”内容






