导语
尊敬的专家同道:
大家好!“沙场点兵,有史可鉴”是史赛克公司推出的一档病例展示及点评栏目,旨在手术技术交流,产品特点演示,与各位神经介入专家共同进步。让我们相约线上,博采众长,共同探讨手术技术。精彩内容,敬请期待。
病例展示
1
患者基本信息
患者:女,82岁。
因右侧肢体无力伴言语不利1小时34分入院。
既往:高血压、冠心病病史。
查体:BP156/88mmHg,神志昏睡,不语,双眼向左侧凝视、右侧肢体肌力0级,右侧病理征阳性。
NIHSS评分24分。
随机血糖7.6mmol/L。
完成颅脑CT:提示无出血病灶,ASPECTS评分10分。
家属知情同意静脉溶栓+桥接取栓治疗。
2
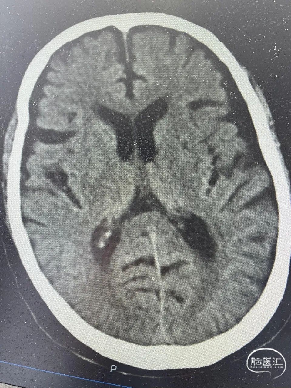
术前影像学检查
入院时头颅CT:多发腔隙性脑梗死灶。
3
病例诊断
定位诊断:左侧大脑半球
定性诊断:缺血性脑血管病
病因分型:大动脉粥样硬化型?心源性栓塞?
诊断:脑梗死;冠心病;高血压病
4
治疗方案策略
手术方案:应用SWIM技术机械取栓。
手术策略:造影评估侧支代偿,术中路径图下将8F导引导管内衬中间导管下将中间导管超选至左侧颈内岩谷段,微导管+微导丝将中间导管送至虹吸段,微导丝配合微导管轻柔通过闭塞处,证实位于真腔后进行后续支架取栓。
可能的并发症:再灌注出血、夹层形成、血栓逃逸、开通后再闭塞、再通失败。
5
直播器械耗材
股动脉入路
短鞘:
8F 穿刺鞘
导引导管:
8F 导引导管 90cm
中间导管:
6F 远端通路导管 125cm
微导管:
Trevo Pro18微导管
微导丝:
Synchro2™神经导丝 200cm
取栓支架:
Trevo 6mm×25mm
其他:
125cm 多功能 0.035"泥鳅导丝 150cm
6
诊疗经过
DSA:左侧颈内动脉C4段闭塞。
侧支循环评估:
DSA:通过左侧大脑前动脉软膜支、左侧大脑后动脉软膜支少量代偿。
建立通路:
泥鳅导丝(150cm 0.035″)携带5F多功能导管将8F导引导管送至左侧颈总动脉近颈内动脉起始处,6F远端通路导管超选左侧颈内动脉,送至左侧颈内动脉虹吸段,跟进8F导引导管至C1中段。
确认真腔:
0.014in Synchro携带Trevo Pro18微导管上到左侧大脑中动脉上干M2段,微导管造影,确认真腔。
Trevo 6mm×25mm支架释放:
Trevo 6mm×25mm支架释放,全程显影,正位造影提示支架打开。
SWIM技术取栓:
SWIM取栓后,血管再通,无栓子逃逸,闭塞局部无血管狭窄。
7
术后处理及预后转归
术后24小时复查头颅CT无出血。
栓子病理检查提示为红色血栓,高度提示心源性可能,进一步行长程心电监测提示:阵发性房颤。
术后24小时给予口服阿司匹林100mg qd、氯吡格雷75mg qd,1周后调整为利伐沙班15mg qd。
出院查体:神志清楚,部分运动性失语,双眼活动正常、右侧中枢性面瘫,右侧肢体肌力4级,NIHSS评分4分。
出院复查MRA及血栓病理如下:
血栓病理检测
出院复查MRA
小结
Trevo支架是全程可视的取栓支架,打开支架后有助于术者判断闭塞部位是否存在原位狭窄,对于大负荷血栓,抽拉结合的SWIM技术可以提高一次血管再通,改善患者临床预后。
二级预防选择抗板治疗还是抗凝治疗取决于发病原因,对于无栓塞证据的病例,栓子成分分析有助于病因识别。
专家点评
1.该患者高龄女性,既往有高血压、冠心病动脉硬化危险因素,起病急骤,迅速达高峰,出现意识障碍、失语、凝视、偏瘫,提示大血管病变 ICAS病变基础上急性血管闭塞或心源性栓塞可能,给予标准静脉溶栓和血管内桥接治疗,责任血管为左侧大脑中动脉栓塞,SWIM技术实现左侧颈内动脉及分支血管成功再通,结合动态心电图检查,病因考虑为心源性栓塞,术后血栓病理成分分析确证了心源性栓塞的病因,术后根据伴有心房颤动的急性缺血性卒中推荐方案于发病1周后调整双抗为新型口服抗凝剂抗凝用药,术前决策、术中操作、术后管理全流程治疗得当,患者临床症状恢复良好。
2.本病例为心源性栓塞,栓子负荷大,采用了经典的SWIM技术,实现以抽拉结合机制一把再通、双重保护、三级灌注的优点,避免了大负荷血栓栓子逃逸风险。
3.本病例使用Trevo 6mm×25mm支架取栓,全程显影,支架释放后能很好的显示责任血管病变的长度和栓子负荷相关信息,大直径支架选择结合SWIM技术加强了血栓的捕捉减少逃逸概率,为手术成功提供有利保障。
4.本病例在术前部分,静脉溶栓过程中若进一步完善头颈CTA+CTP术前影像评估,可提供更多的有关发病机制的相关信息,为制定完备的手术策略提供证据线索;临床信息部分建议提供术后头颅CT、头颅MRI+SWI、术后查体及NIHSS评分等相关内容,能够呈现出更加完整的临床资料。
点评专家
高峰
首都医科大学
附属北京天坛医院
神经介入科主任医师,医学博士、副教授,病区组长,业务骨干
主要从事脑血管病介入治疗工作,包括:脑动脉狭窄支架成形术、脑动脉瘤、硬脑膜动静脉瘘、脑血管畸形、脑血管急慢性闭塞血管内开通治疗等,独立完成脑血管病介入治疗手术5000余台。在国内外发表多篇缺血性脑血管病支架成形术及急性期治疗的相关论文,参与国家十五科技攻关课题“颅内脑动脉支架成形术研究”,并获得北京市科技进步二等奖,中华医学奖,参与其他多项关于颅内外支架成形术的国家级和省部级卒中课题研究工作
指导老师
术者简介

点击或扫描上方二维码
查看更多“介入”内容