先天性蛛网膜囊肿
01
1、定义:指脑或脊髓实质外、蛛网膜内、充满脑脊液样液体的囊性占位性病变,属非肿瘤性;
2、儿童常见良性病变(门诊量占比高);
3、健康人群中总发生率约1.5-2.0%,幕上:80%(其中侧裂占60%),幕下:20%;
4、发病机制:不详,学说:1、渗透说,2、活瓣学说,3、囊壁分泌学说;
5、常见的发病部位:颅中窝(侧裂)占比:34-50%;颅后窝占比10-20%;大脑半球凸面占比:5%,四叠体池占比:5-10%,鞍上囊肿:10%,透明隔囊肿,侧脑室囊肿等。
鞍上池蛛网膜囊肿概述
02
1、定义:是指位于鞍膈上方的蛛网膜囊肿,约占颅内蛛网膜囊肿的10%,颅内占位性病变的1%,是颅内幕上囊肿第二常见的囊肿好发部位;
2、男性患病率略高于女性,约为1.5:1;
3、发病机制不详,Liliequist膜为两层蛛网膜囊肿,当其发育异常,两层蛛网膜膜完整无孔,形成封闭的腔,围绕基底动脉的蛛网膜囊肿存在裂隙样活瓣,随动脉搏动而开闭,脑脊液顺次压力梯度不断进入腔内,使其上层蛛网膜不断向上扩张隆起,压迫第三脑室,并向第三脑室内扩张,形成囊肿。
4、鞍区囊肿不包括“空蝶鞍”综合征,也不包括鞍内和鞍上蛛网膜憩室;在真性囊肿内无脑脊液流通。
裂隙瓣
鞍上池囊肿的临床症状
03
1、头疼和脑积水:囊肿壁的上部会侵入第三脑室,阻塞室间孔;
2、视力视野障碍:视交叉受到压迫;
3、内分泌功能障碍:压迫下丘脑-垂体部位,影响内分泌功能,最常见的是生长激素和促肾上腺皮质激素。
4、摇头玩偶综合症:约10%的鞍上池囊肿患儿会发生“晃头木偶”综合征,表现为头部前后方向的,规律的缓慢摆动。
5、鞍上池囊肿被证实会损伤其神经认知功能和心理概况。
治疗方案:内镜下造瘘治疗首选,囊肿双造瘘是保证手术效果。对于无脑积水型需要在导航辅助下穿刺进入脑室
鞍上池囊肿分类
04
1.合并脑积水的鞍上池囊肿;
2.无脑积水的鞍上池囊肿;
3.鞍上池囊肿合并侧裂蛛网膜囊肿及脑积水:
4.脑积水VP术后出现鞍上池囊肿。
鞍上池囊肿的诊断
05
1.主要依靠CT和MRI。
2.CT特征性的“米老鼠症”或“兔头症”。
3.MRI矢状位可见垂体柄视交叉向上和向前移位,第三脑室顶上抬,中脑导水管受压。


鞍上池囊肿的治疗
06
1、脑室镜技术的发展极大的影响了鞍上池囊肿的治疗方式。
2、对于鼻窦发育尚不完全的儿童患者,经颅内镜囊肿开窗造瘘+Liliquist膜造瘘,成为目前主流的治疗方式。
3、单纯囊肿壁开窗也能缓解病情,但手术仅开放了被压迫的中脑导水管,未能开放基底膜,后续病情反复的可能性较大。
4、基底膜开窗可使阻塞的流体绕过封闭的导水管而进入基底池。
5、禁止囊肿壁的完整切除,鞍上囊肿壁是被扩张了的三脑室底。
6、若术前存在严重的内分泌功能紊乱,术后很难缓解,需要定期复查,长期随诊或药物替代治疗。
鞍上池囊肿手术并发症
07
1、术中、术后出血;
2、第三脑室底结构损伤,高热、尿崩、头疼和精神症状,神经性肺水肿;
3、动眼神经损伤;
4、术后低颅压;
5、切口感染;
6、脑脊液漏;
7、视力下降(仅一例)。


我们中心目前开展的内镜工作,脑室镜占绝大部分
目前主要应用于婴幼儿及儿童脑积水三脑室底造瘘术、各部位蛛网膜囊肿造瘘、神经上皮样囊肿切除及造瘘、脑脊液漏修补、颅内占位切除、活检及血肿清除等。
CASE1

鞍上池蛛网膜囊肿合并脑积水
患儿 男 8岁,因“颅脑外伤查体发现鞍上池蛛网膜囊肿合并脑积水”入院。
神志清,精神好,无特殊不适症状。查体未发现阳性体征。



患儿鞍上池蛛网膜囊肿合并脑积水,诊断成立。完善术前检查,行神经导航下脑室镜鞍上池囊肿双造瘘术。


术中切口及体位


术中视频
手术前后囊肿形态对比


CASE2

鞍上池蛛网膜囊肿合并脑积水
患儿 秦** 男 8岁 因“间断性头痛1月余”于2020年07月07日入院。
现病史:患儿于入院前1月无明显诱因出现间断性头痛,无明显恶心、呕吐,无抽搐,无意识障碍及四肢活动障碍。患儿于当地医院就诊,行颅脑CT、MRI示鞍上池囊肿。




2020年07月09日去手术室在全麻下行神经导航下鞍上池囊肿造瘘+Liliquist膜造瘘术







神经导航下脑室镜额部蛛网膜囊肿纵裂池造瘘:
术后第1天复查颅脑CT结果:

术后第3天复查颅脑MR结果:

手术前后颅脑影像学检查结果对比:

CASE3

无脑积水鞍上池囊肿
患儿 刘** 男 4岁 因“CT发现鞍上池囊肿6天”2020年09月14日入院。
现病史:患者于入院前6天因呕吐、腿部抽动就诊于当地医院,行头部CT检查示鞍上池囊肿,现为进一步诊治来我院就医。

2020年09月17日 神经导航下脑室镜鞍上池囊肿造瘘+囊壁开窗活检+桥前池造瘘术


2020年09月17日 神经导航下脑室镜鞍上池囊肿造瘘+囊壁开窗活检+桥前池造瘘术
术后第1天复查颅脑CT结果:

手术前后颅脑影像学检查结果对比:


CASE4

脑积水VP术后鞍上池囊肿
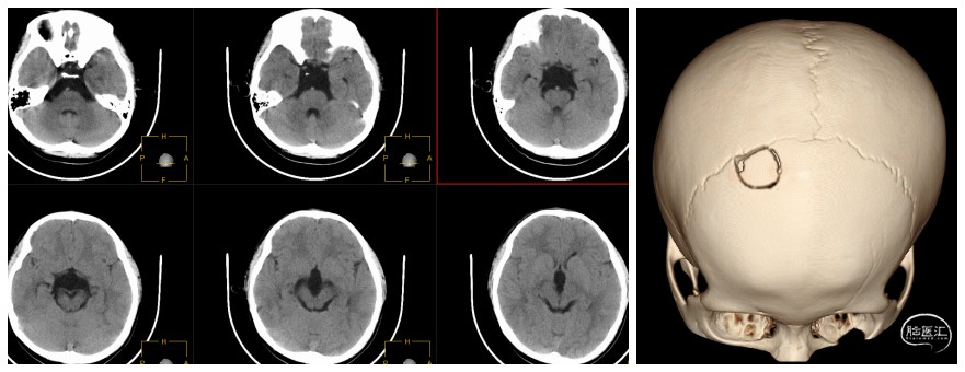
患儿 任** 男 2岁 因“VPS术后1.5年,头部包块”于2021年03月10日入院。
现病史:患儿2019年10月因“脑积水;鞍上池囊肿”入住我科,行右侧脑室-腹腔分流术。一月前家长发现储液阀皮下积液,未见好转,颅脑CT提示分流管脑室端脱开。

2020年09月17日 神经导航下脑室镜鞍上池囊肿造瘘+囊壁开窗活检+桥前池造瘘术
脑积水VP前,造瘘前术前,造瘘后

分流管脑室端脱开手术前后

CASE5

鞍上池囊肿合并脑积水侧裂蛛网膜囊肿
患儿 艾** 男 2岁4月因“发现鞍上池囊肿2周”于2021年05月11日入院。
现病史:患者2周前因“言语发育落后”就诊于我院儿保科,行颅脑MR检查发现双侧颅中窝蛛网膜囊肿、第三脑室囊肿、脑积水,现为行进一步诊治就诊于我科。

2021年05月14日 去手术室在全麻下行神经导航下脑室镜鞍上池蛛网膜囊肿造瘘+脉络丛烧灼+Liliquist膜造瘘术。


术后第1天复查颅脑CT结果:

术后第3天复查颅脑MR检查结果:

随诊

手术前后影像学检查结果对比:


术后1年最近复查影像学检查结果:



双极电灼囊肿顶壁
激光刀电灼囊肿顶壁
谨慎选择颅内蛛网膜囊肿手术方案:
一、儿童颅内蛛网膜治疗应慎重
二、无症状的及小的囊肿(5cm)随诊观察
三、有症状的及大囊肿(5cm)选择手术治疗
四、手术方案:
1、开颅囊壁切除或囊肿开窗术(显微手术);
2、囊肿分流术
3、内镜手术(优先选择)
4、脑室镜+手术显微镜联合手术
五、天坛医院李春德教授的科普文章:慎重选择颅内蛛网膜囊肿的手术治疗,无症状的以长期随诊观察为主;
六、早期手术方案选择囊肿-腹腔分流手术,首选低压分流管,虽然具有最好的囊肿缩小率及消失率,且具有简单、高效、并发症少的优点,但必须要正视其潜在分流管依赖的高风险;
七、开颅囊肿开窗术及内镜囊肿造瘘术,尽管囊肿消失率及缩小率较低,但可避免远期的分流管依赖。首选脑室镜造瘘术
鞍上池囊肿手术指征
1、颅内压增高症状。
2、有对周围神经组织压迫症状。
3、婴幼儿巨大蛛网膜囊肿,无症状也需要考虑手术。
作者简介
王广宇 教授
山东大学附属儿童医院
(济南市儿童医院)
神经外科主任,副主任医师,学科创始人兼学科带头人。
兼职:济南市医师协会小儿神经外科分会主任委员,中华医学会神经外科分会小儿神经外科学组委员,中国医师协会神经外科医师分会小儿神经外科专业委员会委员,山东省医学会神经外科学分会委员会委员,济南市神经外科专业医疗质量控制中心副主任。
年手术500台,疾病诊治覆盖:1.中枢神经系统先天性疾病:脊柱裂(各种脊髓脊膜膨出,椎管脂肪瘤,脊髓栓系,皮毛窦等),脑膜(脑)膨出,各种类型及复杂的脑积水,颅缝早闭(狭颅症等;2.创伤性疾病:颅脑外伤性疾病:各种创伤性脑出血,颅骨骨折,颅骨(颅脑)异物,脑脊液漏,生长性颅骨骨折,颅骨缺损修补,脊髓脊柱外伤;3.神经肿瘤:脑肿瘤:后颅窝肿瘤、鞍区肿瘤、三脑室肿瘤,松果体区肿瘤,大脑凸面及运动区肿瘤等),脊髓肿瘤:椎管神经母细胞瘤,脊髓室管膜瘤,脊膜瘤等;4.脑及脊髓血管性疾病:自发性脑出血,动静脉畸形合并出血(脑及脊髓),脑动脉瘤合并出血,小儿烟雾病;5.中枢感染性疾病:脑脓肿,脑炎后硬膜下积液/积脓,脑炎后脑积水;6.功能性疾病,小儿脑瘫的SDR手术,(选择性脊神经后跟部分切断术)涉及小儿神经外科个亚专业病种。科室配备有先进的蔡司显微镜、美敦力动力系统、头架、神经电生理监测仪,神经导航、脑室镜,超声骨刀、术中B超、超声吸引装置(CUSA)等先进仪器。
科室特色治疗有:脑积水神经导航辅助下脑室腹腔分流术(VP术)、神经内镜三脑室底造瘘术(ETV),狭颅症漂浮骨瓣成形术,神经电生理监测下神经显微镜下脊髓脊膜膨出切除修补、脊髓拴系松解术,神经导航下颅内占位切除术,烟雾病间接血运重建术,全脑血管造影术(DSA),各类脑肿瘤手术及术后化疗综合治疗,颅脑损伤颅内压监测技术,Peek材料颅骨缺损修补小婴儿术,神经电生理监测下脑瘫SDR手术等。
点击或扫描上方二维码,前往王广宇 教授学术主页
查看更多精彩内容
点击或扫描上方二维码,查看更多“小儿”内容







