导语
尊敬的专家同道:
大家好!“沙场点兵,有史可鉴”是史赛克公司推出的一档病例展示及点评栏目,旨在手术技术交流,产品特点演示,与各位神经介入专家共同进步。疫情虽拉远了距离,却无法降低学习的热情,让我们相约线上,博采众长,共同探讨手术技术。精彩内容,敬请期待。
病例展示
1
患者基本信息
患者:女性,82岁。
发病过程:
2023-03-13 16:00 家属诉:患者自行上厕所后进房睡觉,无他人陪伴。
2023-03-13 20:30 被家属发现被发现卧床不起,意识障碍、呼之不应,四肢活动障碍,患者家属发现后立即呼叫120。
2023-03-13 21:00 到达我院急诊就医。
就医时代主诉:
意识障碍伴右侧肢体活动不能5小时。
既往史:
高血压病史15年余,最高血压200/100mmhg,平日规律口服硝苯地平缓释片、倍他乐克药物治疗,家属诉患者血压控制满意。
接诊过程:
21:02 家属到达我院急诊科,导引挂号,接诊后一般生命监测:体温36.5、心率92次/分、呼吸18次/分、血压178/99mmHg, 血糖:6.0mmol/L,心电图:房颤。
21:05 急诊医生优先评估此患者为卒中患者,呼叫卒中医生评估患者病情的同时行绿道筛查,专用绿道电梯转运至影像科,卒中医生到位并查体:意识朦胧、查体不合作,言语不能,双眼向左侧凝视、双侧瞳孔等大同圆,直径约2.0mm,对光反射灵敏,左侧鼻唇沟变浅,颈软,右侧肢体肌力0级,左侧肢体肌力刺痛可定位,右下肢babinski征阳性。Nihss评分 23分。
21:05 评估头部CT,排除出血后,转运10米旁核磁检查室完善脑梗死核磁一站式检查,期间完成急诊采血。
21:10 DWI+MRA序列:MRI显示左侧半卵圆中心、基底节区呈高信号,MRA显示左侧颈内动脉闭塞。
21:14 导引护士辅助患者家属办理入院。利用剩余扫描时间与家属第一时间沟通交代需要机械取栓及开通血管必要性(同时通知导管室相关人员),家属积极治疗,下机后直接绿道电梯转运科室进行术前采血、签手术同意书。
21:25 患者家属经商量后强烈要求手术,签置手术知情同意书。
21:40 完成术前准备到达导管室行DSA检查。
2
术前影像学检查
入院心电图提示:心房颤动。
绿道核磁脑梗死一站式检查:MRI显示左侧半卵圆中心、基底节区呈高信号,MRA显示左侧颈内动脉闭塞。
初步诊断:
1、定性诊断:颈动脉闭塞脑梗死
2、定位诊断:左侧颈内动脉闭塞
3
手术材料
8F MPD指引导管
Catalyst6 中间导管
Synchro导丝 200cm
Trevo Pro 18微导管
Trevo 6*25取栓支架
4
手术过程


穿刺成功。
造影评估:L-ICA侧位造影示ICA末端、眼动脉以远闭塞,未见明显颅内代偿情况。行同侧后循环造影:后交通未开放,通过脑膜支向前循环少量代偿。根据造影结果提示并结合患者房颤病史,考虑此次发病机制:栓塞。
8F指引导管在泥鳅导丝指引下置于L-ICA,路图下,Catalyst6颅内中间导管进入ICA水平段,Synchro导丝携带Pro 18微导管超选入MCA起始段并顺利通过闭塞段。


微导管超选入MCA分支内,路图证实真腔并可见造影剂回返,充盈至MCA水平段。确定闭塞位置,释放Trevo 6*25取栓支架,全程显影,透视下可见支架打开良好。




采用抽拉结合技术取栓一次:中间导管尾端连接60ml注射器手动持续负压,将支架轻柔缓慢回撤入中间导管内,过弯后快速撤出体外,支架网梁捕获大块暗红色栓塞物,中间导管尾端以20ml注射器进行持续性负压抽吸,可抽血3小块暗红色栓塞物。


术后造影
通过中间导管正/侧位造影:颈内动脉血流通畅,远端充盈良好,血流恢复至mTICI分级 3级。
5
术后
术后给予镇静、控制血压、卒中单元监护治疗。替罗非班6ml/小时,静脉泵入、先必新15ml日二次静脉滴注。
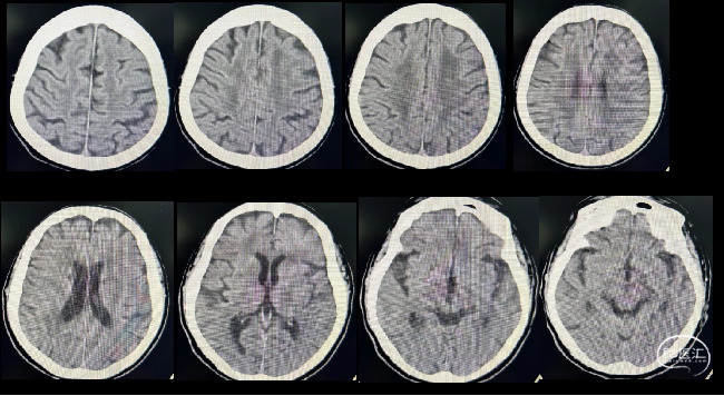
术后次日复查头部CT,NIHSS评分下降至5分。
术后第七日NIHSS评分下降至2分。
小结
该患者为老年女性,NIHSS评分23分,有心源性脑栓塞危险因素:心房颤动,发病时间为5小时,评估是否适合静脉溶栓,理论上存在静脉溶栓的适应症,但会延误患者的取栓救治时机。故行急诊介入取栓术。急诊高效完善CT、核磁检查,采取了选择性的责任血管造影后抽拉结合,一把再通,缩短了手术时间,减少了血管的二次损伤。
产品使用体会:术者在本病例中使用了史赛克的微导管、中间导管、取栓支架,将各个产品的特性发挥到极致,比如中间导管的优越通过性及强大的抽吸能力,支架的完全显影可视保障精准定位,大网眼强抓捕力有效抓取硬质血栓,缩短开通时间,提高预后,改善临床结局。
专家点评
本病例是一例左侧颈内动脉末段的大负荷血栓病例,左侧颈动脉DSA造影可见眼动脉呈“杯口”状的闭塞残端,结合房颤病史,考虑为心源性栓塞。术者采用了Catalyst 6路内支持导管,结合Trevo ProVue 6*25取栓支架,采用抽拉结合技术,快速开通了闭塞血管,实现3级再通,病人症状迅速改善。术者取栓策略选择合理,操作娴熟。
本病例良好的预后取决于几个因素:
1.核心梗死与侧支循环情况。本病例术前DWI检查显示核心梗死体积不大。MRA可见前交通动脉开放,大脑后动脉亦有软膜支代偿,提示有较好的侧支循环。
2.快速再通。颈动脉大负荷血栓是临床常见的较难开通的闭塞类型。采用ADAPT技术直接抽吸,也是一种可行的取栓策略,如果抽吸未能再通,可选择支架取栓补救。但本病例血栓负荷较大,病人症状重,“快通”就是硬道理,提倡“杀鸡用牛刀”,选用到位能力好,抽吸作用强的中间导管,配合大直径的取栓支架,甚至可以结合球囊导引导管,比如Flowgate 2,采用BADDASS技术,快速实现FPE。
3.本病例操作次数少,亦未见动脉夹层等血管损伤,心源性栓塞病例,取栓后即刻再闭塞风险低于动脉粥样硬化性狭窄导致的大血管闭塞。因此本病例成功再通后是否需要抗血小板仍然有一定的争议。需警惕替罗非班带来的出血转化的风险。
4.合理的绿色通道流程是医院脑卒中救治能力的体现,好的技术结合好的流程才能使卒中病人预后更好!
点评专家
张广
哈尔滨医科大学
附属第一医院
神经外科,副主任医师
黑龙江省医学会神经介入分会委员
黑龙江省医师协会神经介入专业委员会委员
黑龙江省脑血管病学会介入专业委员会委员
术者简介

点击或扫描上方二维码
查看更多“介入”内容