
张小森
河北省滦南县医院
副院长兼介入科主任
唐山市医学会介入医学分会委员
唐山市医师协会神经介入专业委员会常务委员
河北省中西医结合学会神经外科分会委员
唐山市医学会医疗事故技术鉴定专家库成员
先后在天津环湖医院,北京军区总医院,北京天坛医院、福建医科大学附属漳州市医院进修学习,在我县率先开展了经股动脉和挠动脉全脑血管造影术、脑动脉瘤介入栓塞术、急性脑梗塞介入支架取栓术、脑血管狭窄支架植入术,脑动脉瘤开颅夹闭术。填补了我县医疗领域的多项空白
姚翠娟
河北省滦南县医院
神经内科主治医师
主要从事神经内科常见病多发病的诊治。尤其擅长缺血性脑血管病的诊治,2021年于福建省漳州市医院进修学习神经介入半年,目前可独立开展经桡动脉全脑血管造影术、经股动脉全脑血管造影术、经皮椎动脉、颈动脉支架植入术、急诊取栓术等
中间导管的使用在取栓手术中至关重要,最好能在稳定的支撑性、良好的通过性,大腔的抽吸力和耐疲劳性这些指标方面达到一个良好的平衡。

患者基本信息:
患者女性,65岁。
主诉:发现言语不清、左侧肢体活动不利2.5小时,于2022-10-08 06:37入院。
现病史:患者于2.5小时前睡眠中醒来发现言语不清,左侧肢体活动障碍,无恶心、呕吐,无饮水呛咳及吞咽困难,无意识不清、抽搐、二便失禁。
既往史/家族史:有高血压病、心房纤颤史;家族史无特殊。
入院查体情况:
T:36.0℃ P:68次/分 R:18次/分 BP 102/78mmHg,神清,言语不能,双瞳孔等大等圆,直径3.0mm,光反射灵敏,眼球向右侧凝视,伸舌不合作,四肢肌力检查不合作,左上、下肢疼痛刺激无运动,肌张力、腱反射正常,右上、下肢有自主活动、肌张力正常,腱反射正常,左侧Babinski征阳性。双肺呼吸音清,未闻及干、湿性啰音;心率90次/分,律绝对不齐;腹软,肝脾未触及,双下肢无水肿。NIHSS评分14分。
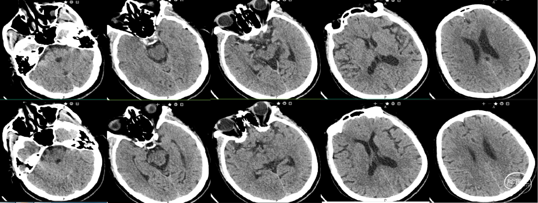
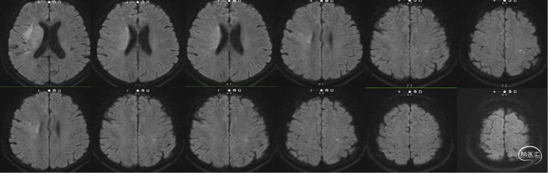
术前影像学检查结果
术前心电图提示:心房颤动

术前头颅CT影像学检查结果——排除脑出血

术前急诊头颅核磁共振——DWI:右侧基底节、放射冠区、左侧顶叶点状高信号

术前急诊头颅核磁共振——MRA:右侧颈内动脉缺失

手术策略制定
急性右侧颈内动脉闭塞型脑梗死
心房颤动
高血压病
该患者老年女性,急性起病,心电图提示心房颤动,初步考虑患者病变性质:栓塞
患者头颅核磁共振提示右侧颈内动脉未见显示,考虑病变部位右侧颈内动脉,具体位置造影中分析
一般栓塞在颈内动脉,说明血栓符合量较大,我们的首选方式ADAPT技术快速开通颈内动脉,必要时支架结合抽吸行SWIM技术补救治疗
术中涉及介入材料选择
8F 导引导管
125cm多功能导管
泥鳅导丝
6F 125cm Skathi远端通路导管
微导管:Rebar 18
微导丝:Synchro2 200cm
取栓支架:Solitaire FR 4×20mm
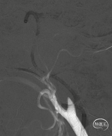
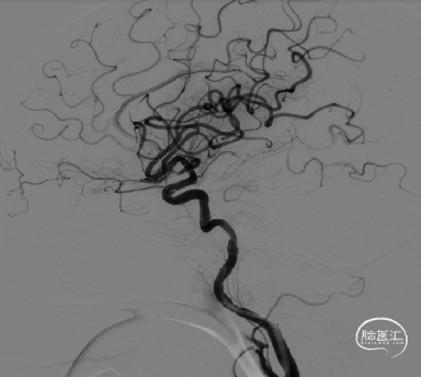
术前造影
右侧颈内动脉闭塞,同时颈外动脉有血栓,闭塞。

右侧颈内动脉起始部呈现“火焰征”,提示假性闭塞,远端眼动脉未见代偿。

前交通开放,左侧A1供应双侧A2。

后交通动脉开放,右侧大脑中动脉可见部分显影。
提示病变为栓塞性串联病变,增加手术难度。这样我们就考虑首先争取单纯抽吸快速开通颈内动脉,然后再SWIM技术取通大脑中动脉。

治疗经过
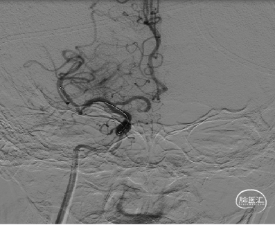
8F导引导管在多功能管及泥鳅导丝导引下直接进入右侧颈总动脉,此时Skathi远端通路导管尾端连接自制50ml负压注射器一路裸奔抽吸至C5段,反复抽吸3次,抽出大量血栓,回血通畅后,轻轻冒烟提示颈内动脉通畅,大脑中动脉M1远端闭塞,与取栓前后循环造影显示情况一致。



大脑中动脉M1段血栓采用SWIM技术-抽拉结合,避免血栓逃逸。




一次SWIM取栓,成功血管再通,达到mTICI分级:3级。



对于血栓负荷量大的前循环卒中患者,需要考虑更短的手术操作时间、保护血栓的完整性,尽量避免造成远端二次栓塞。远端二次栓塞再次补救不仅会增加患者的经济负担,而且也增加了术后并发症发生的风险,ADAPT技术应该是首选方式。
Skathi远端通路导管通过性较好,可以上到较高节段直接接触血栓进行抽吸,此外,其大口径的特点能增加其与血栓的接触面积,增加取栓成功率,减少血栓逃逸。而且管腔的抗疲劳性也较好,能够耐受多次抽吸管腔不变形。
Skathi远端通路导管在颅外段血管可以采取“裸奔”方式,但切忌手法粗暴,遇拐弯处可以旋转上行,在颅内段(床突段以上)尽量在微导丝、微导管引导下上行。
关于励楷
励楷科技成立于2019年,专注研发生产销售神经介入植入医疗器械产品,产品管线全覆盖出血类、急性缺血类、慢性缺血类产品。公司致力于以神经介入为切入点,通过强大的自主研发能力+全球先进技术BD能力双轮驱动,以及完善的研发-产品-市场销售闭环体系,成为全球脑血管疾病器械,乃至整个医疗器械产业中领先的创新技术平台。励楷科技为目前国内极少数几家真正掌握神经介入底层核心技术、并已成功建成完全自有技术平台,且具有极强出海能力的公司之一。

器械百科
扫码/点击二维码
了解Skathi远端通路导管详情
点击或扫描上方二维码
查看更多“介入”内容









