导语
尊敬的专家同道:
大家好!“沙场点兵,有史可鉴”是史赛克公司推出的一档病例展示及点评栏目,旨在手术技术交流,产品特点演示,与各位神经介入专家共同进步。疫情虽拉远了距离,却无法降低学习的热情,让我们相约线上,博采众长,共同探讨手术技术。精彩内容,敬请期待。
病例展示
1
患者基本信息
患者:女,81岁。
主诉:发现左侧肢体无力5小时于2023年03月01日12:00入院。
现病史:缘于入院前5小时前(最后正常时间2月28日 20:00)晨起后被家属发现左侧肢体无力,表现为左侧肢体无法移动,伴言语含糊。就诊外院查颅脑CT未见出血,考虑脑梗死。为进一步治疗转诊我院,急查查颅脑CTA提示:右侧颈内动脉及右侧大脑中动脉M1段闭塞,远端分支减少,显影浅淡。心电图提示心房颤动。急诊拟“脑梗死、右侧颈内动脉及大脑中动脉闭塞”收住入院。
既往病史:“高血压” 病史10余年,平素未规律服用降血压药物、未监测血压变化情况。否认“冠心病、糖尿病”病史。
查体:T:36.8℃;P:20次/分;R:81次/分;BP:155/116mmHg。神经系统查体:神志嗜睡,言语含糊,双侧瞳孔等大等圆,直径3mm,双眼向右侧凝视,对光反射灵敏,左侧鼻唇沟浅,伸舌偏左,四肢肌张力正常,右侧可抬举,肌力查体欠合作,左上肢0级,左下肢0级,左侧巴氏征阳性;双侧针刺觉欠合作,双侧指鼻、跟膝胫欠合作;颈软,脑膜刺激征阴性。NIHSS评分:18分。
2
术前诊断
1、急性脑梗死 TOAST分型:心源性栓塞?大动脉粥样硬化性?
2、右侧颈内动脉闭塞
3、右侧大脑中动脉闭塞
4、高血压病
3
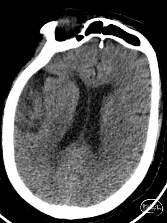
术前检查





4
使用器械
泥鳅导丝
Simon2导管
8F导引导管
Stiff导丝
Super Stiff导丝
Catalyst7(0.068×125cm)中间导管
Pro-18微导管
Synchro(0.014×200cm)微导丝
Trevo XP(4×20mm)取栓支架
Gateway(2.0×15mm)球囊
灌注微导管
4.0×16mm支架
5
术中操作
患者为急性脑梗死,头颅CT未见明显低密度病灶,CTA提示:右侧颈内动脉及右侧大脑中动脉M1段闭塞,远端分支减少,显影浅淡。目前患者神经功能缺损严重,有急诊取栓手术指征。
手术方案:
患者高龄,合并房颤,首先考虑心源性栓塞,不排除大动脉粥样硬化导致大动脉重度狭窄后闭塞。拟先进行近端大动脉抽吸,后进行远端血管取栓。
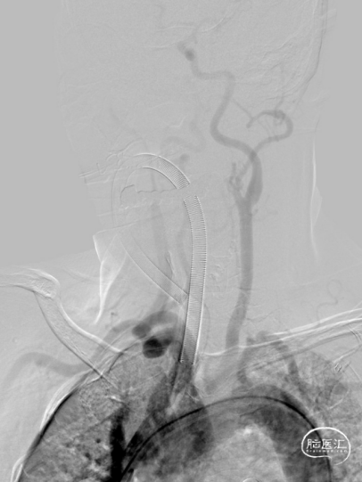
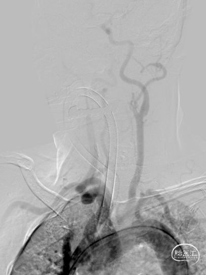
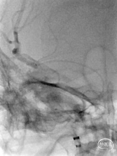
术前造影:
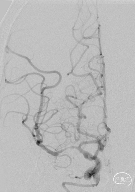
造影显示RICA:C1段起始部闭塞,残端呈锥形,TICI分级0级;RMCA未显影,远端由RACA经皮层支少量代偿,ASITN分级1-2级。



术中操作:
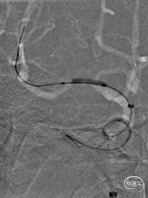
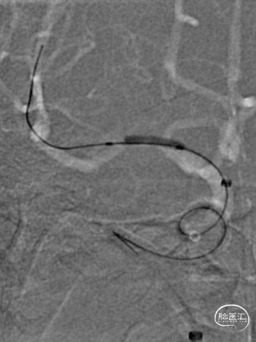
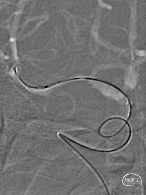
患者血管路径迂曲,经Simon2导管采用交换技术将8F导引导管内衬多功能导管,反复尝试均无法进入RCCA,后更换为Super Stiff导丝支撑,将8F导引导管送至RCCA远端。



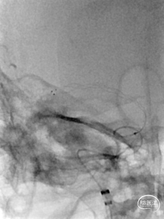
将Catalyst7 132中间导管经导引导管送至于RICA C1段起始部闭塞处,采用ADAPT技术自C1段至C4段反复抽吸取栓,取出大量暗红色血栓。


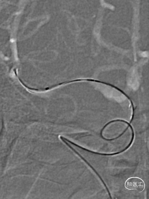
手推冒烟见RICA C1-C5段显影,C5段以远闭塞。将Pro-18微导管在Synchro(0.014×200mm)微导丝引导下送至RMCA M2段,微导管冒烟示远端血流通畅。将Trevo XP(4×20mm)取栓支架于M1段远端向RICA末端释放,采用SWIM技术取栓1次,并同时将中间导管送至颈内动脉末端抽吸。抽出数枚暗红色血栓。



造影见RICA再通,RMCA M1段近端重度狭窄,约90%。
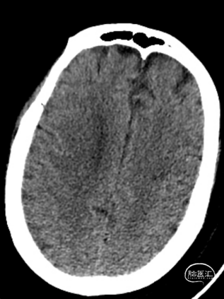
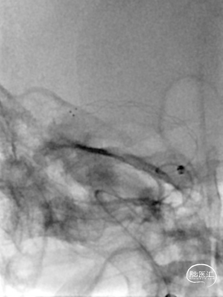
观察10分钟后,狭窄较前加重,局部不规则充盈缺损。术中即刻DynaCT未见造影剂染色。


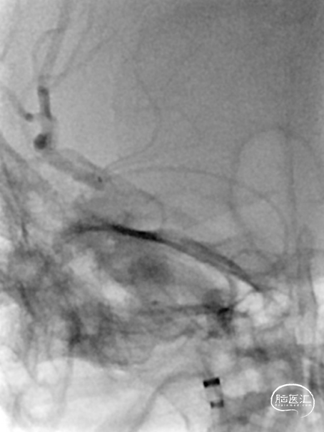
将Synchro(0.014×300cm)微导丝外衬Gateway(2.0×15mm)球囊缓慢通过RMCA M1段狭窄处,球囊定位于RMCA狭窄处缓慢扩张,压力6atm。采用交换技术置入灌注微导管,并将4.0×16mm支架定位于狭窄处释放。



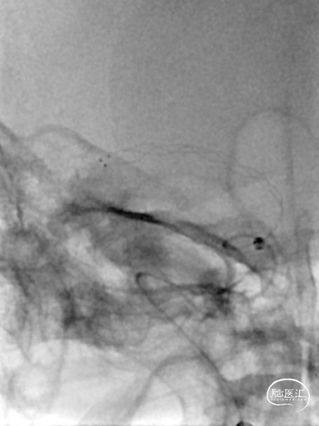
复查造影见支架展开良好,支架内及远端血流通畅,TICI分级3级。术顺,术毕,Proglide缝合术口。


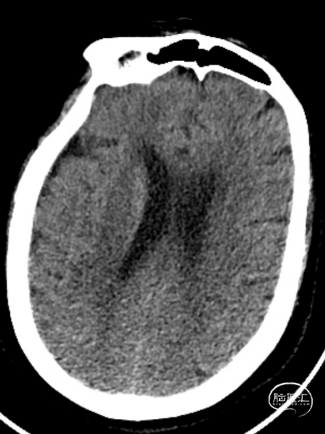
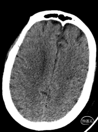
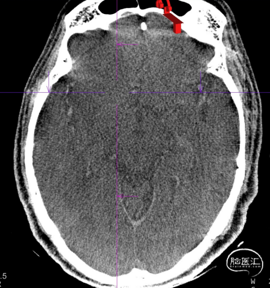
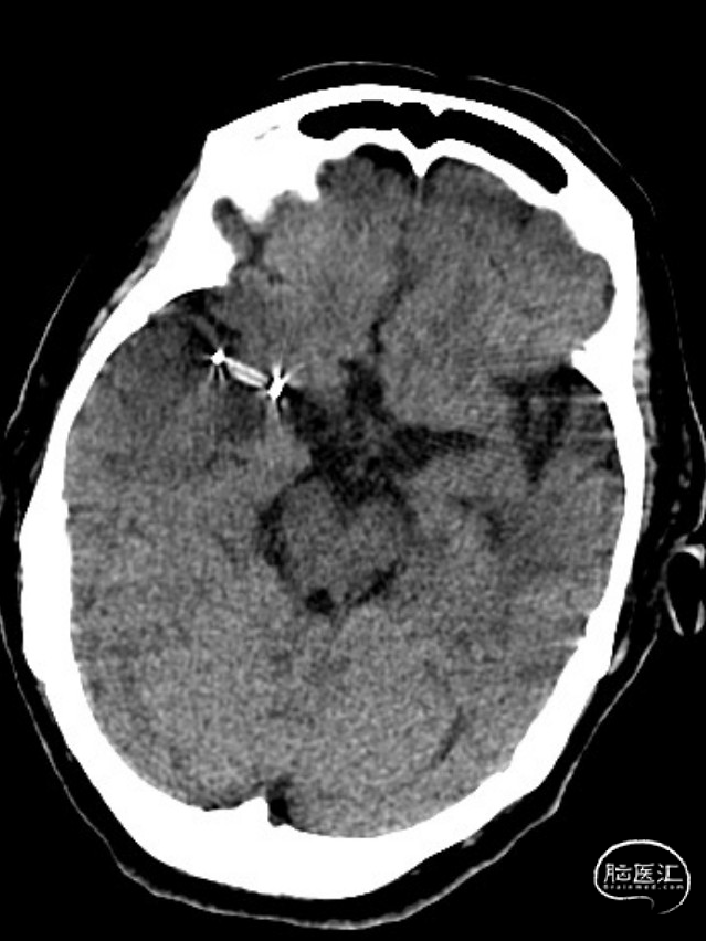
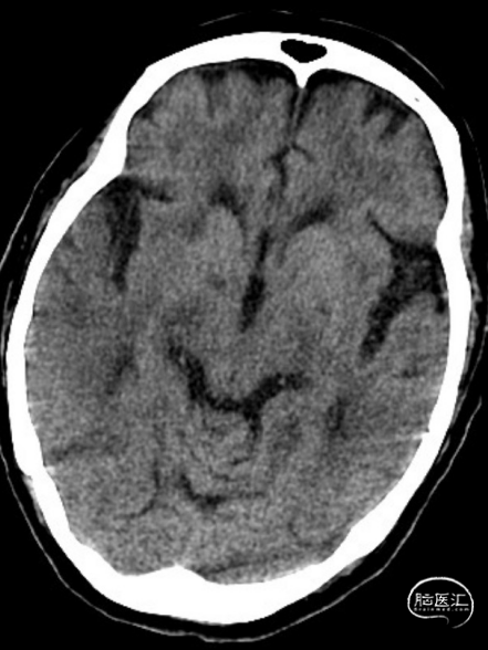
术后第一天复查颅脑CT未见异常染色及大面低密度病灶。


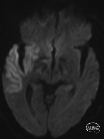
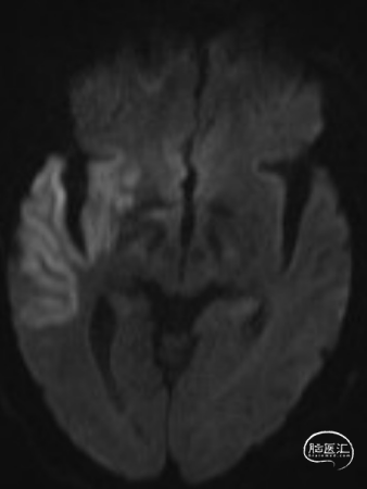
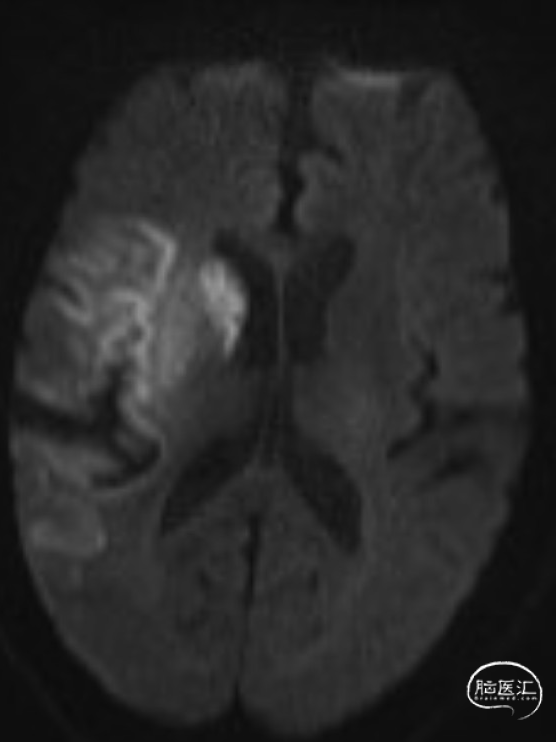
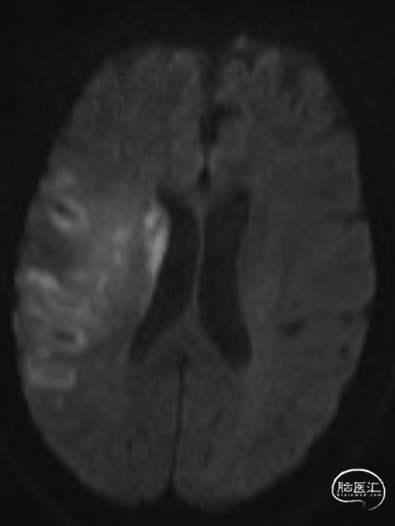
查头颅MRI:右侧基底节区、右侧顶颞岛叶急性脑梗死。



6
出院时情况
神经系统查体:神志清楚,言语稍含糊,双侧瞳孔等大等圆,直径3mm,对光反射灵敏,左侧鼻唇沟浅,伸舌偏左,四肢肌张力正常,右侧可抬举,肌力查体欠合作,左上肢4级,左下肢3级,左侧巴氏征阳性;双侧针刺觉未见明显异常,双侧指鼻、跟膝胫欠合作;颈软,脑膜刺激征阴性。NIHSS:4分。
小结
Trevo XP ProVue 4×20mm取栓支架全程显影,能准确定位闭塞段血管,并在取栓过程通过支架形态变换间接推断局部是否狭窄病变,同时亦具有良好的血栓抓捕能力。Catalyst7中间导管跟踪到位性好,多次操作耐用,口径比Catalyst6大,更适合反复抽吸操作。
术者简介
指导专家
关
键
词
产品:Catalyst、Trevo
技术:SWIM、球囊成型
部位:MCA、ICA

点击或扫描上方二维码
查看更多“介入”内容