
2020年
Atlas开环小径支架全新上市
“革新输送,智能贴壁”
开启了辅助支架的新纪元
术者使用经验分享
实战与理论相结合
Atlas病例集锦开启
部位:
术式:
特点:
患者基本信息
患者男性,52岁。
主诉:右侧肢体麻木7小时30分。
现病史:患者家属代诉患者约于7小时30分钟前,无明显诱因出现右侧肢体麻木,无肢体乏力,无头晕头痛、无恶心呕吐、无肢体抽搐,在外院就诊,考虑“急性脑梗死”,因有颅内动脉瘤,外院未予溶栓等特殊处理,现为求诊治进一步诊治脑梗死及颅内动脉瘤,遂来我院。
既往史:2022年2月因“急性脑梗死”在当地医院就诊并诊断有“动脉瘤”;既往“高血压”病史,具体情况不详,未规律服用药物及监测。
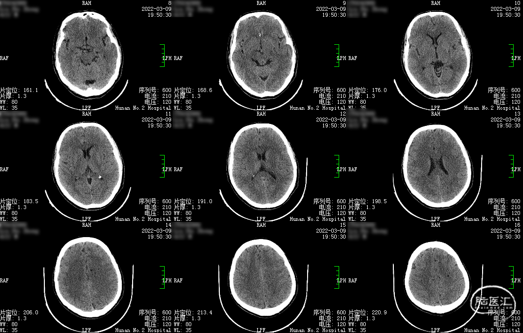
术前影像
CT平扫(2022-03-09我院):
1.左侧半卵圆中心、双侧基底节区腔梗;2.脑内动脉多发钙化。

MRI(2022-03-10我院):
1.左侧脑室体部旁急性脑梗死;脑内多发腔梗及小缺血灶。2. 脑动脉硬化症,右侧大脑前动脉A3段动脉瘤,右侧大脑中动脉M1段分叉处动脉瘤可疑,建议CTA检查。


DSA:大脑前动脉A3段动脉瘤、大脑前动脉A2段狭窄。




术前讨论
手术方案:阿司匹林100mg+氯吡格雷75mg双抗≥3天,术前一天抽血查血栓弹力图确认双抗有效,拟行Atlas支架置入+弹簧圈栓塞动脉瘤。
术中用药:4000U肝素全身肝素化、尼莫地平6ml/h泵入防止脑血管痉挛。
专家共识

推荐意见:
成年人群中,UIA患病率约为3. 2%,既往报道中,基于MRA或DSA的UIA检出率为1.9-7.0%(Ⅰ级推荐,B级证据)。
我国UIA总体年破裂率为1.0-7. 3%,国际上UIA5年破裂率约为3. 4%(Ⅰ级推荐,A级证据)。
UIA的年增长率为1.8-9.0%,增长后破裂风险增高(Ⅱ级推荐,B级证据)。
推荐对有aSAH家族史的患者,或合并常染色体显性遗传的多囊性肾病患者以及主动脉病变患者进行UIA筛查是合理的(Ⅱ级推荐,C级证据)。
UIA治疗推荐意见:
UIA患者合并控制不稳的高血压、吸烟无法戒断、既往颅内另一动脉瘤破裂出血、多发动脉瘤、动脉瘤直径>5mm(或明显大于载瘤动脉)、动脉瘤位于后循环、后交通部位、动脉瘤不规则如有子囊或多分叶状等情况,以上合并条件出现一条或多条,则动脉瘤患者有接受积极治疗的指征。(II级推荐,A级证据)。
合并多囊肾UIA患者,或患者有饮酒史;以及动脉瘤纵横比或尺寸比等测量参数>1.6,此类动脉瘤患者治疗倾向高于随访观察。(III级推荐,C级证据)。
老年患者、女性患者并不作为一定需要治疗的指征(IV级推荐,B级证据)。
UIA行HR-VWI 的磁共振检查,若出现瘤壁强化,建议积极治疗。(II级推荐,C级证据)。
动脉瘤血流动力学分析目前说法不一,低WSS,高OSI很可能是动脉瘤破裂的血流动力特征。对于UIA患者,可行血流动力学分析,在出现以上特征时可倾向治疗。(III级推荐,C级证据)。
对于随访观察患者,推荐在患者发现UIA的半年、1年、2年及往后每3年进行动脉瘤复查,并且在随访中戒掉不良生活习惯,监测血压,避免不良情绪。(II级推荐,B级证据)。
随访过程中动脉瘤发生增长,其破裂风险升高,应积极治疗。(II级推荐,A级证据)。
对UIA,可应用智能预测模型对稳定性进行评估,指导临床治疗,稳定性高者可以选择随访观察,而稳定性低者可以选择积极手术。(III级推荐,C级证据)。
手术耗材
鞘:6F 动脉鞘
中间导管:6F 105cm中间导管
微导丝:200cm Traxcess-14微导丝
微导管:
SL-10微导管(2根)
支架:Neuroform Atlas 4.5×20mm
弹簧圈:Target弹簧圈
手术过程
微导丝导引支架微导管到位瘤颈以远胼周动脉。

微导丝导引弹簧圈微导管到位动脉瘤腔。

释放Atlas支架覆盖瘤颈后,弹簧圈栓塞动脉瘤。

术前、术后对比,支架、弹簧圈位置满意,大血管通畅。

术前

术后

术前

术后
术后情况
术后第一天,患者晨起醒后出现左上肢无力,查体:左上肢肌力1级,左下肢肌力5级,左上肢浅感觉减退。NIHSS评分:5分。予以急查CT示:1.右侧大脑前动脉、右侧大脑中动脉动脉瘤术后改变;2.左侧半卵圆中心、双侧基底节区腔梗同前。

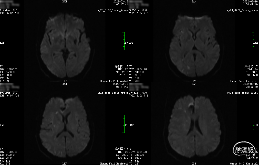
术后复查MRI:右额、颞、顶、枕叶、右侧基底节区多发急性脑梗死。


头部MRA:颈内动脉、大脑前动脉、大脑中动脉通畅。

继续予以阿司匹林100mg qd+氯吡格雷75mg qd联合抗血小板聚集,予以保护线粒体、改善脑循环等治疗。左上肢乏力症状逐渐好转。
出院时情况:患者神志清楚,吐词稍含糊,问答切题,双侧瞳孔3mm,对光反射灵敏,双侧鼻唇沟对称,伸舌居中,颈软,左上肢肌力4级,余肢体肌力正常,右侧肢体浅感觉较左侧减退,病理征未引出。NIHSS评分:1分,洼田饮水试验1级,mRS评分:1分。
术者体会
Atlas支架使用SL-10微导管释放,特别是对于路径较远,合并有血管狭窄的患者,通过性更好。该病例完美体现了其较顺畅的通过性,对于伴有狭窄的动脉瘤患者来说可以有效避免加重缺血并发症的发生。
Atlas支架为开环设计,释放后贴壁性好,可减少术后血管的刺激,减少血栓形成的几率,该病例虽然术后有脑梗死,但结合磁共振分析考虑为术中血管狭窄,低灌注造成的脑梗死,而非血管内血栓形成相关。
该病例中,弹簧圈在动脉瘤瘤体内均匀致密填充,得益于Atlas支架较好的顺应性和贴壁,并且具有足够的径向支撑力,而Target弹簧圈独特的360结构设计,具备顺应成篮和向心性填充的特性,并且填塞过程中几乎无踢管因此 ,因此填塞效果满意。
在分叉部宽颈动脉瘤治疗中,可利用Atlas支架的穹窿效应,对瘤颈口产生良好的保护效果,Atlas支架有良好的顺应性,在迂曲的载瘤血管中,释放更轻松从容。
术者介绍
袁波
湖南省脑科医院
教授,主任医师,硕士生导师,湖南省脑科医院神经病学学科带头人。
主要研究方向:脑血管病的基础与临床,脑血管病的介入诊治。
2004年开始学习脑血介入技术,先后在南京大学附属医院,宣武医院,天津环湖系统学习神经介入诊治技术,第一批Stryker取拴学院学员!完成脑血管介入手术千余例(包括取栓,脑血管支架手术,颅内动脉瘤手术等),湖南省最先从事脑血管病介入手术专家之一。
湖南省医学会神经病学专业委员会青年委员,湖南省医学会神经病学专业委员会脑血管组委员,湖南省中西医结合学会脑病专门委员会常委,湖南省中西医结合学会脑心同治专业委员会常委,湖南省康复医学会神经介入专业委员会委员,湖南省康复学会癫痫专业委员会委员,中国心胸血管麻醉学会脑与血管分会委员,中国中医药信息学会中西医结合介入分会委员,教育部学位中心评审专家,湖南、江西省、安徽科技厅科技评审专家库专家。
点击或扫描上方二维码
查看更多“介入”内容







