
扫描左侧二维码
进入健适医疗品牌专区
01
病例简介
基本信息
患者:男性,56岁,反复发作性言语不清伴右侧肢体乏力5小时。
简要病史:5小时前出现言语不清伴右侧肢体乏力,行走不能,口服速效救心丸感觉症状缓解,持续时间5-6分钟;患者三天前有类似症状发作1次既往高血压病史11年,服用苯磺酸氨氯地平1片/天;血糖升高病史,空腹血糖7-8umol/L,未服药;否认房颤病史。
入院查体情况:NIHSS评分23,BP 155/95mmHg,HR 75次/分。
02
术前影像学
术前CTA
CTA评估:基底动脉闭塞;右侧椎动脉优势;左侧椎动脉纤细,起至主动脉弓。术前评估入路:经右侧椎动脉途径取栓。
术前基底动脉CTA
03
术前诊断评估
1、基底动脉闭塞
2、双侧椎动脉V4段狭窄或闭塞
急性发病,发病时间短。
双侧椎动脉动脉粥样硬化狭窄基础上基底动脉急性闭塞。
1、考虑到患者急性发病,发病时间短,遂启动取栓程序。
2、结合术前CTA,考虑右侧椎动脉为优势血管,首先选择右侧椎动脉路径进行取栓。
ACE60抽吸导管
RECO 4×20mm取栓支架
2×15mm球囊
微导丝
微导管
8F导引导管
125多功能导管
04
手术过程
DSA造影
1、选择右侧椎动脉入路;2、造影提示V4段近端狭窄,远端未见显影。
1、ACE60抽吸导管插至右侧椎动脉V4段,微导丝导丝反复尝试未能越过闭塞段;2、考虑右侧椎动脉V4段远端完全闭塞。
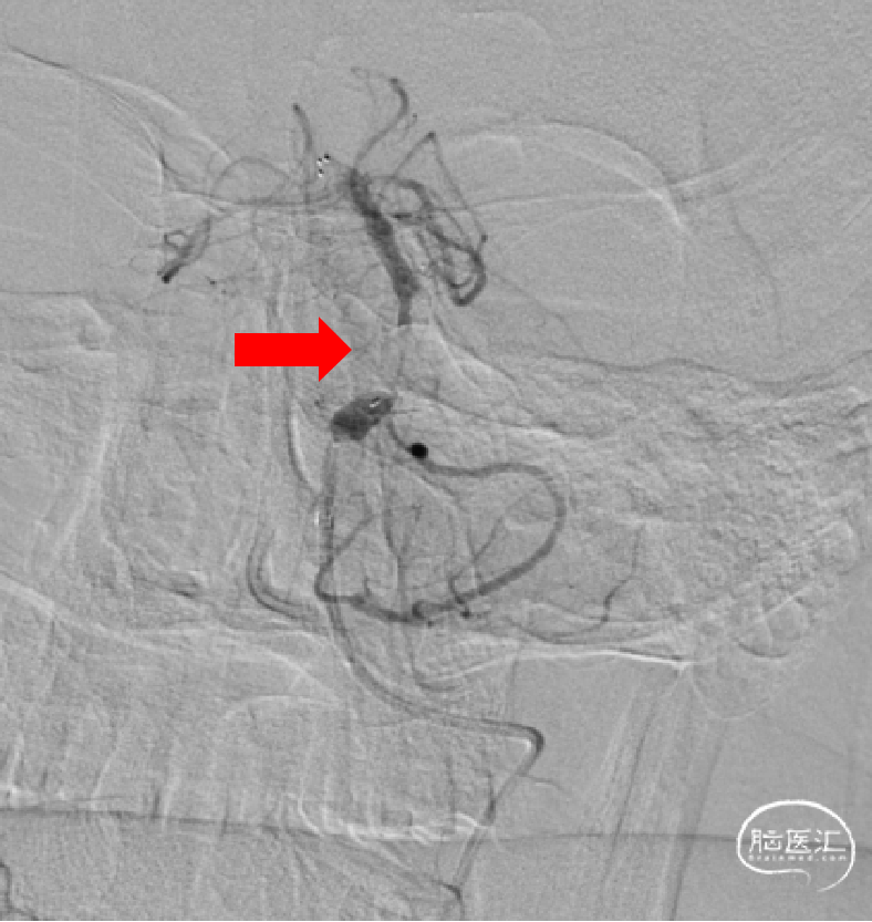
右侧颈动脉造影未见明显后交通开放,可见基底动脉末端显影(红色箭头)。
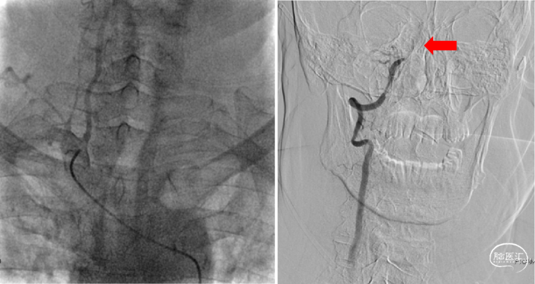
1、考虑右侧椎动脉V4段闭塞,不再犹豫,即刻选择左侧椎动脉入路;2、左侧椎动脉造影:提示V4段末端瘤样扩张伴基底动脉近端重度狭窄。
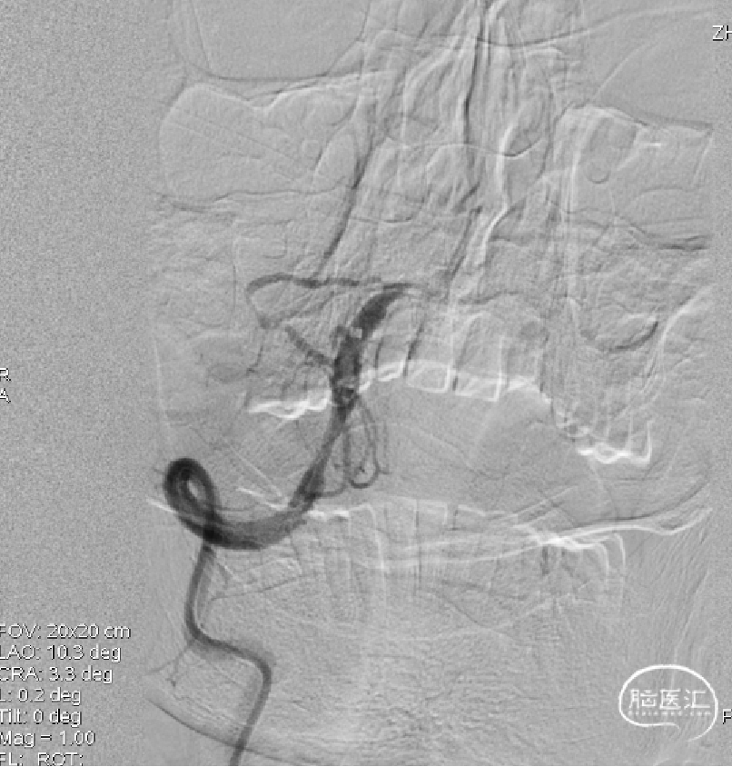
ACE60抽吸导管+RECO 4×20mm取栓支架抽拉结合,造影示基底动脉近端重度狭窄,远端通畅。
1、取栓两次,第二次将尼科支架置于狭窄处;2、第二次取栓后造影基底动脉近端重度狭窄,远端通畅。
1、术后即刻造影;2、15分钟后再次造影,基底动脉近端仍有重度狭窄,远端血流稀疏、缓慢。
1、选择2×15mm球囊针对狭窄处进行亚满意扩张;2、术后造影,狭窄好转,远端血流明显改善,观察15分钟后未见明显变化后结束手术。
05
总结和讨论
1、针对术前CTA评估和术中造影不一致时,需要及时调整取栓策略,及时更改取栓路径。
2、不轻言放弃,相信“山穷水尽疑无路,柳暗花明又一村”。
3、医疗器械的进步让我们有了更多的手段和方法来完成复杂的病例。
手术指导
吕朋华
苏北人民医院
医学博士,扬州大学硕士研究生导师,苏北人民医院介入科主任,主任医师,中共党员
先后至韩国Asan Medical Center神经介入中心以及意大利锡耶纳大学医院研修
国家卒中中心管理指导委员会委员
中华医学会放射学分会介入专委会神经介入组委员
江苏省医学会介入医学分会常务委员
江苏省医学会介入医学分会肿瘤介入学组副组长
江苏省抗癌协会肿瘤介入专委会副主任委员
江苏省卒中学会神经介入专业委员会委员
扬州市医学会介入专业委员会主任委员
扬州市医学会脑卒中专业委员会委员
国际肝胆胰协会中国分会微创介入专业委员会常务委员
术者简介
徐川
苏北人民医院
医学博士,主治医师
毕业于南京医科大学,就职于苏北人民医院介入科
江苏省医师协会介入医师分会第三届委员会青年委员会委员
江苏省医学会第三届介入医学分会青年委员会委员
2014年、2019、2022年分别获得扬州市新技术引进二等奖
2020年获得江苏省新技术引进二等奖


点击或扫描上方二维码
查看更多“介入”内容