

病例
患者:男性,70岁
主诉:以“突发右侧肢体无力21小时,加重6小时”为主诉入院。
既往病史:无特殊。
入院查体:体温: 36.2℃ 血压: 153/92 mmHg,NIHSS 8分。神志嗜睡,构音清晰,言语不利,对答切题,双侧瞳孔等大等圆,对光反射存在,双眼球活动自如,无眼震,右侧鼻唇沟对浅,右侧口角低,伸舌偏右,心律齐,各瓣膜听诊区未闻及病理性杂音,右侧上肢近端肌力3级,远端肌力3级,右侧下肢近端肌力3级,远端肌力3级,左侧上肢近端肌力5级,远端肌力5级,左侧下肢近端肌力5级,远端肌力5级,四肢肌张力正常,右侧巴氏征阳性。

术前检查
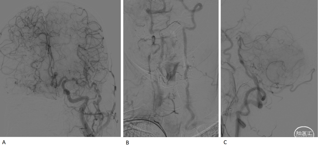
CTA示右侧颈内动脉起始段闭塞,头端圆钝(图A红圈),提示慢性闭塞可能,右侧大脑中动脉M1段显示不清、其走行区周围多发网状细小血管影(图B红圈),提示慢性闭塞可能;基底动脉尖闭塞(图C红圈)。

冠状位CTA提示左锁骨下动脉起始段闭塞(如箭头所示),右侧椎动脉为优势椎动脉,椎动脉与锁骨下动脉成钝角(如红圈所示),提示可经桡动脉入路。

CTP灌注:缺血区 170ml,缺血半暗带=165ml,核心梗死=5ml,不匹配比率=34。

A.DSA示右侧颈内动脉起始段闭塞,头端圆钝(图A红圈),提示慢性闭塞可能,右侧颈外动脉通过眼动脉代偿代偿右侧大脑中动脉供血区。

A.前交通开放,左侧颈内动脉通过前交通代偿右侧大脑前动脉,右侧大脑前动脉通过脑膜支代偿右侧大脑中动脉供血区,B-C.左侧锁骨下动脉起始段闭塞并盗血。

右侧椎动脉造影示基底动脉尖闭塞,如红圈所示,双侧大脑后动脉未见显影。

病情分析
1.责任血管判断:此患者存在前后循环血管病变,且灌注提示右侧大脑半球及后循环均存在低灌注,如何确定责任血管。这就需要依赖术前多模式影像检查。
2.如何排除前循环血管为责任血管:首先右侧颈内动脉起始段闭塞形态-残端圆钝,提示慢性可能性大,次为右侧颈内动脉下流区域,大脑中动脉的闭塞机制,倘若右侧颈内动脉为慢性狭窄基础上急性闭塞,那么右侧大脑中动脉栓塞可能性极大,但CTA平扫提示右侧大脑中动脉有增生的血管床提示右侧大脑中动脉慢性闭塞可能,且患者此次表现为右侧肢体无力,因此推测前循环非本次的责任血管。
3.倘若基底动脉尖为责任血管是否能理解灌注的表现:答案是肯定的。右侧颈动脉系统为慢性闭塞,那么右侧大脑后动脉需要通过大脑后动脉脑膜支代偿右侧大脑中动脉,此次基底动脉尖发生栓塞,通过大脑后动脉脑膜支代偿的大脑中动脉供血区区域则会出现相应的低灌注表现,如颞叶外侧面、颞枕交界区,与本例的低灌注区域是符合的。
术前诊断
急性大血管闭塞性脑梗死
定位:后循环
定性:栓塞
手术策略
1. 入路:经桡动脉
2. 导引导管可选择
(1)直接将中间导管当成导引管
(2)长鞘
术中操作
在5F多功能管辅助下将V18导丝送至右侧椎动脉V2段,利用交换技术退出5F多功能管,在V18导丝辅助下将6F Catalyst中间导管送至右侧椎动脉V2段, 在微导丝、微导管导引下,将6F Catalyst中间导管接近基底动脉尖(如圈C所示),撤出微导丝及微导管后,用50ml注射器保持负压抽吸血液,持续抽吸90s,并撤出中间导管至右侧椎动脉V3段回血通畅,复查造影提示基底动脉尖血栓影(D图如红圈所示),注射器无血血栓,采取同样的方法进行抽吸三次,中间导管中均未见血栓取出,复查造影提示基底动脉尖血栓。

利用交换技术退出6F Catalyst中间导管,沿V18导丝送入6F心玮通堑®Extraflex中间导管,在微导丝、微导管导引下,将6F心玮通堑®Extraflex中间导管接近基底动脉尖(C图如红圈所示),撤出微导丝及微导管后,用50ml注射器保持负压抽吸血液,持续抽吸90s,并撤出心玮通堑®Extraflex中间导管至右侧椎动脉V3段回血通畅,冒烟提示基底动脉尖血栓影,如D图所示,4次抽吸均未将血栓抽出,提示血栓形态可能不规则、质地韧,不易被抽吸住。如果通过支架锚定,将中间导管更加靠近血栓、回拉血栓,后撤出支架保持抽吸,可能会增加开通的机率。

在微导丝辅助下将微导管送至右侧大脑后动脉,退出微导丝,沿微导管送入取栓支架 4-20mm,造影提示支架打开形态欠满意,右侧大脑后、小脑上动脉可见显影,左侧大脑后动脉、小脑上动脉未见影,提示血栓被推挤至左侧,血栓未能被支架卡住,在支架辅助上将送入6F心玮通堑®Extraflex中间导管嵌入血栓(如图B红圈所示),退出支架,并保持负压抽吸60秒,注射器无回血。

用50ml自制负压器保持负压抽吸,并缓慢撤出心玮通堑®Extraflex中间导管,视频中可见负压注射器全程无回血(红圈所示),提示中间导管被血栓堵住。

撤出中间导管未见回血,考虑血栓被堵在桡动脉鞘,用50ml自制负压器接在鞘中保持负压抽吸,如视频中红圈所示,0.014inch微导丝在导引鞘辅助下送入桡动脉并置于右侧锁骨下动脉,利用交换技术退出鞘,清除鞘可见一个质韧血栓,后在0.014inch微导丝辅助下重新置桡动脉鞘。


基底动脉尖完全再通,左侧大脑后动脉显影良好,右侧大脑后动脉未见显影。

术后管理
血压不超过150mmHg不降压;
予阿哌沙班抗凝处理;
改善微循环及营养脑细胞等治疗。
术后影像
头颅MR提示后循环多发散在脑梗死,左侧中脑脚脑梗死,头颅MRA提示基底动脉通畅,左侧大脑后动脉血流通畅。


出院情况及药物管理
患者神志转清,右侧肢体无力明显改善,可独立行走;查体:NIHSS 3分,神志清楚;右侧鼻唇沟浅,右侧口角低,伸舌偏右,右侧肢体肌力5-级,左侧肢体肌力5级 。
出院用药:阿哌沙班、阿托伐他汀

心玮医疗
HEART CARE
上海心玮医疗科技股份有限公司(股票代码:06609.HK)成立于 2016 年,公司致力于提高创新医疗技术的可及性,守护生命健康。六年时间,心玮医疗在神经介入领域开拓性地打造了国内首个卒中治疗及预防一站式解决方案,拥有从急性缺血性卒中和神经血管狭窄治疗、缺血性卒中预防、出血性卒中治疗到介入通路器械的全产品管线,申请专利超过 200 项,销售渠道覆盖了国内除香港、澳门和台湾地区以外的全部省份。

点击或扫描上方二维码
查看更多“介入”内容






