我院脑病科脑血管介入小组完成右侧颈内动脉血管狭窄球囊扩张+支架植入术。

患者,男性,79岁,间断性发作。左侧肢体麻木无力。
核磁显示颅内多发小点状梗塞灶。
脑血管造影显示:左侧颈内动脉轻度狭窄,右侧颈内动脉起始部重度狭窄约80%。


微导丝到达C1段,沿微导丝将快交侧孔保护伞到位C1远端。
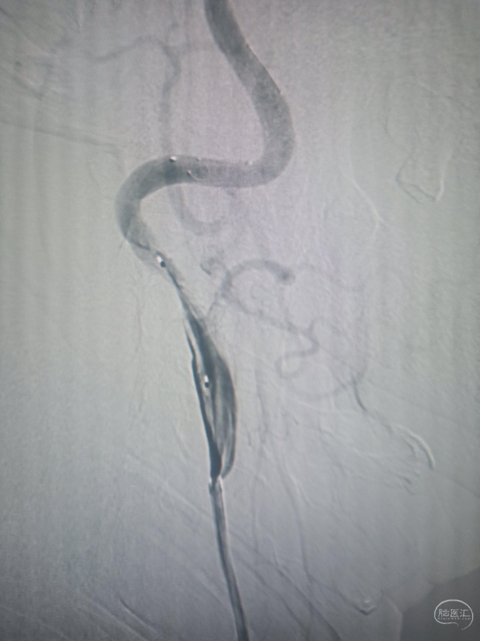
向前推进保护伞导丝,使保护伞到保护导管头端。
推住保护伞导丝不下移,回撤保护导管释放保护伞。

释放保护伞示意图-5mm

球囊铆定预扩张:用4mm球冠脉囊护张至命名压,泄压释放球囊。

球囊扩张示意图

支架置入:
沿保护伞导丝将支架置入8-10ⅹ40mm铆定狭窄部位。
保持支架导丝固定不下移,回撤支架导管,释放自膨支架。


保护伞回收
将单弯导管沿保护伞🌂导丝穿越支架后回拉保护伞至单弯导管内撤出体外。


回收保护伞后造影


支架置入后造影,狭窄消失,血流通畅。

颈动脉是将血液由心脏输送至头、面、颈部的大血管,是脑的主要供血血管之一。
颈动脉硬化、狭窄是危害健康比较严重的血管疾病,容易闭塞造成灾难性的大面积脑梗死,导致偏瘫或生命危险,及时进行科学的治疗很重要,一般颈动脉狭窄的治疗方式有三种:药物治疗、颈动脉内膜剥脱手术(CEA)和颈动脉支架植入术(CAS)。
颈动脉支架植入术即在狭窄的颈动脉里应用球囊扩张再安置支架的方法,对颈动脉硬化狭窄部位的扩张成型,改善恢复大脑血流的供应。该方法具有创伤小、操作简单、起效快、恢复快、疗效确切、可重复操作等优点。

前行的路上感谢老师的不倦指导,感谢团队的努力向前,感谢院领导的不懈支持,感谢患者及其家属的充分信任,使我们的团队逐步通达致遠…
生命只有一次,掌握新技术,减少中风残疾,提高生活质量。挽救一个生命,完整一个家庭。


术者简介

赵宝元 主任医师
武威市中医院 神经内科
武威市中医医院脑病科主任。从事神经内科工作20余年,曾在兰大二院进修神经内科和急诊,中国人民解放第940医院神经内科高级卒中中心进修脑血管介入。任武威市老年病专业委员会主任委员、武威市中西医结合神经内科专业委员会副主任委员、武威市中西医结合眩晕专业委员会副主任委员、武威市神经内科学会常务委员、甘肃省脑血管专业委员会委员。开展脑出血微创锥颅引流近500例,脑血管造影300余例,开展急性脑梗塞血管内取栓,动静脉桥接、颈内动脉狭窄、椎动脉狭窄、锁骨下动脉狭窄或闭塞的血管支架成形术。
点击或扫描上方二维码
查看更多“介入”内容





