病例介绍
1.37岁男性患者,既往体健。
2.主诉:车祸伤后意识障碍2小时。
3.专科检查:T:36.6℃、P:96次/分、R:21次/分、BP:147/84mmHg、GCS6(E1V1M4)分,昏迷状态,查体不合作,头颅五官未见畸形,右侧瞳孔直径约3.0mm,对光反射灵敏,左侧瞳孔直径约4.5mm,对光反射消失;颈阻(+),四肢刺痛屈曲,生理反射存在,病理征阴性。
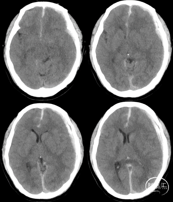
4.头颅CT(2022-10-22):

入院诊断
1.创伤性蛛网膜下腔出血
2.左侧额颞顶部硬膜下血肿
3.大脑镰下疝
4.右侧颞极蛛网膜囊肿
诊治经过:急诊全麻下行左侧额颞顶部去骨瓣减压术+硬膜下血肿清除术。
术后CT(2022-10-23):

自体颅骨修补术前,去骨瓣术后3月CT(2023-02-09):


自体颅骨修补术术中图片(2023-02-10):



自体颅骨修补术术后CT(2023-02-10):


总 结
01
颅骨缺损修补目的
1.保持生理性颅内压稳定,减轻头痛,头晕头昏,脑脊液循环异常(硬膜下积液,轻度脑积水),恢复脑组织移位,大脑半球血流量减少等颅骨缺损综合征;
2.恢复正常解剖结构,保护脑组织,避免二次损伤;
3.外形修复整形,避免社交心理障碍。
02
颅骨修补适应症及禁忌症
适应症:
1.颅骨缺损直径大于3厘米,直径小于3厘米而病人强烈要求修补;
2.临床表现有颅骨缺损综合征;
3.严重精神负担,影响生活和工作;
4.影响外观容貌。
禁忌症:
1.颅内病变导致颅内压增高或需要再次开颅手术;
2.颅骨缺损直径小于3厘米且没有任何症状;
3.手术切口及头皮感染或感染恢复早期;
4.缺损处头皮菲薄且有大片瘢痕者。
03
自体颅骨修补的优点
颅骨修补用的材料较多,过去有骨水泥、有机玻璃等,目前已基本淘汰,现阶段主要有自体颅骨、钛网板、聚醚醚酮(PEEK),各有优劣势。在此总结自体颅骨优点:自体颅骨符合生理要求,免去了排斥反应;不需另取材料塑型;避免了放射伪影;保持原有解剖形态,几乎无头皮反应性水肿和皮下积液;修补后一段时间可达到骨性愈合的标准;外观更接近解剖学特点。
04
自体颅骨修补术中要点
1.年轻患者及骨窗凹陷不理想患者,在开颅前可先安置腰大池,暂关闭,待皮肌瓣分离好后,欲还纳骨瓣时,再开放腰大池释放脑脊液,避免术中穿刺脑室造成继发性出血;
2.硬脑膜生长欠佳及分离时破裂缺损处予以颞肌筋膜争取严密修复,避免脑脊液漏,硬脑膜预留悬吊丝线;
3.自体颅骨骨瓣采取深低温液氮冻存,术中予以过氧化氢、聚维酮碘溶液依次浸泡30分钟,再予以生理盐水冲洗;
4.骨瓣每间隔2cm左右,予以2mm微型钻打孔,用于悬吊硬膜及利于后期肉芽生长,骨瓣边缘予以磨钻将内板及板障磨出斜面,勿伤及外板皮质,利于骨瓣嵌入,避免硬脑膜剥离而出血;
5.连接材料尽量覆盖原骨孔,降低骨缺损;悬吊硬脑膜,避免硬膜外血肿;颞肌予以固定于骨瓣或连接材料上,避免颞肌萎缩,影响美观;
6.头皮下安置负压引流管,避免皮下积液发生;拔管后予以弹力绷带包扎。
作者简介

声明:脑医汇旗下神外资讯、神介资讯、神内资讯、脑医咨询、AiBrain 所发表内容之知识产权为脑医汇及主办方、原作者等相关权利人所有。




