本文来源于公众号:宣武脑血运重建CRC

今天给大家介绍一下凸面蛛网膜下腔出血,这个题目源于汇报预案的时候,老师提的一些问题。
话不多说,先看病例——
病例情况

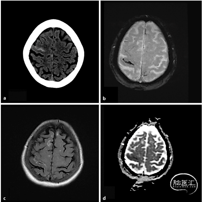
上图为患者发病当天的CT
可以看到左侧顶叶的沟里有高信号,很容易让人认为是蛛网膜下腔出血,或者是其他考虑。患者一天后做了FLAR,如下图所示:

显示也是一个高信号,我这里没有贴T1,T1是等信号。同时做了一个MRA,发现了左侧大脑中动脉的一个狭窄。

7天后的CT显示,高密度已经消失,如下图所示:

我们为患者行球囊扩张手术,因为患者身体放了起搏器,不能做核磁,所以脑组织用CT去复查,可以看出这个患者治疗后的预后还是不错的,即使他有蛛网膜下腔出血。如下图所示:

术后脑影像
🔽

被问了三个问题:
1、凸面蛛网膜下腔出血多久能吸收?
2、凸面蛛网膜下腔出血与皮层静脉血栓如何鉴别?
3、为什么颅内外动脉狭窄也可以导致蛛网膜下腔出血?
问题解答
凸面蛛网膜下腔出血占蛛网膜下腔出血的3-6%。
病因通常为:脑淀粉样血管病变(CAA)、可逆性脑血管收缩综合征(RCVS)、可逆性脑白质病变综合征(PRES)、皮层静脉闭塞、凝血病变、吸毒、狼疮性血管炎、海绵状血管瘤和脑脓肿等等;
有研究报道颅内外动脉狭窄也可以导致蛛网膜下腔出血。
原因有三个:
1)血管长时间狭窄或闭塞导致新生的扩张的侧支循环血管破裂,同时可能伴随着栓子进入分水岭区域,导致梗死或者破裂出血;
2)系统性的调节紊乱,如血压突然升高或凝血障碍,可能促进凸面蛛网膜下腔出血的发生;
3)长期狭窄导致脑缺血缺氧,炎症反应,氧化应激,使得血脑屏障被破坏。
动脉狭窄相关的凸面蛛网膜下腔出血


上图是2021年日本学者发表的一篇文章,虽然他自己的病例只有四例,即36到39例(与大动脉粥样硬化所致血管狭窄或者闭塞相关的),但是他回顾了既往文献所发表的一些狭窄相关的凸面蛛网膜下腔出血的内容,差不多有40例,发现:
与狭窄相关的非创伤性cSAH主要位于同侧额、顶叶
病变血管主要为前循环,颅内外均可
狭窄程度可以是狭窄或闭塞
cSAH吸收时间
接上面的病例:4例cSAH患者
a. DWI b、c. FLAIR;d. MRA e. CT

Case1,CT时间在MRI即刻
Case2、3,CT时间在MRI后2天
Case4,CT时间在MRI后3天
Case2和4 从头CT上已看不出高密度
小结论:通过这4例病例我们可以看到凸面蛛网膜下腔出血能够很快被吸收。

这篇文章的结论:
凸面型蛛网膜下出血在7天内就可能会消失,这是使用更灵敏的核磁进行判断的结论;如果使用CT判断,可能是信号消失的时间会更早。
皮层静脉血栓
脑静脉血栓形成的危险因素包括:
口服避孕药、怀孕、感染和易于血栓形成
皮层静脉血栓可由急性炎症引起,Virchow三联征(指静脉血栓形成和肺栓塞必需的3个因素:高凝性、静脉内膜完整性的破坏、静脉血流瘀滞),潜在的病因因素,包括高水平的凝血因子,抗血栓机制的丧失和血液瘀滞。
case1


从上图文献当中可以看到,这是确诊的皮层静脉血栓的例子。
如果当时就看到这个CT的时候,大家是否能够确定它是一个蛛网膜下腔出血?还是一个皮层的静脉血栓?
它确实跟我们之前看到的蛛网膜下腔出血非常相似,都是CT上凸面的高高密度。
女性75岁,突发左下肢的无力,复查头CT不能显示蛛网膜下腔出血中典型可见的血液产物再循环。(相当于没有持续出血的表现)再进行造影检查发现:

造影证实多发皮质静脉充盈缺损,抗凝治疗,患者痊愈。
这两者相当于两个治疗策略相反的疾病,一个抗凝,一个抗血小板聚集,所以鉴别非常有必要。
case2

间断头疼入院,脑CT为高信号

上面的病例,是韩国学者发表的文献,也是这样一个表现,不知道大家能把他是否能一眼就看出它是蛛网膜下腔出血?还是皮层静脉血栓?
研究者在进行了CTA检查没有特殊发现,然后进行了一系列的磁共振:FLAIR、梯度回波、SWI以及ADC影像,最后是通过造影检查确诊。


研究者反复地去比对高信号的区域以及DSA上所显示的充盈缺损的区域,最终判断出这是一个皮层静脉血栓,而不是其他的疾病。通过上面的两个例子,我们得出皮层静脉血栓的鉴别的方法:
皮层静脉血栓鉴别:
病史:是否存在高凝状态,以及易感因素
复查CT:动态观察
DSA:金标准
静脉血栓发生分布

从上图可以看到,皮层静脉血栓可以在整个静脉系统发病当中占17%,相对来说是比较常见的发生的概率,这里还有其他的一些部位发生静脉血栓的比例。
皮层静脉血栓鉴别

上图是,2011年AHA发布的关于静脉血栓形成的诊治的指南,如何去诊断?是否是静脉血栓?首先看患者是否具有高危因素;
高危因素:
高凝状态,如口服避孕药,产后状态,恶性肿瘤
脑外伤
颅内低压
感染
诊断:
临床症状:主要包括颅高压相关;静脉缺血或出血所致的局灶性脑损伤
血液学检查:血常规、生化、凝血等相关检查
影像:CT/MRI/超声;CTV/MRV;DSA;灌注

静脉血栓处理流程

总结
皮层静脉血栓并不能快速与凸面型的蛛网膜下腔出血做出鉴别,动态复查CT可能是一种相对简单的方法,同时注意患者病情变化,最终做出正确的判断。
作者简介
冯 瑶
首都医科大学宣武医院神经外科在读博士,
师从焦力群教授;
主要研究方向为缺血性脑血管病的临床及基础研究,涉及疾病包括颈动脉狭窄、椎动脉狭窄、颅内动脉狭窄、烟雾病和急性缺血性卒中。对于SCI写作有一定的经验,迄今以第一作者在JNIS、frontiers in immunology、Thrombosis research等期刊发表SCI论文10余篇,参编书籍1部。

更多精彩内容 请关注作者
点击或扫描上方二维码
查看更多“脑血管”内容






