
神经肿瘤科
手术切除
枕骨大孔区脉络丛乳头状瘤
概述
脉络丛乳头状瘤(choroid plexus papilloma)是起源于脉络丛上皮的乳头状瘤,是一种少见的良性肿瘤。
脉络丛乳头状瘤组织学相当于WHO Ⅰ级。占颅内肿瘤的0.4%~0.6%。该肿瘤好发于儿童,1岁以下婴幼儿更多见,占发病率的40%~50%,平均发病年龄为17个月,男性多于女性,男女之比约为1.6:1本病的发病部位因患者、年龄的差异而有所不同,儿童多见于侧脑室,而成人则多见于第四脑室。




病例主诉:
反头晕、恶心、走路不稳1+周
现病史:入院前1+周,患者无明显诱因出现头晕不适,呈阵发性,休息后无明显缓解,伴恶心感,走路不稳,当地医院头颅MR提示“2022-11-26头颅MR:诊断意见:延髓后发占位,考虑肿瘤性病变,脑膜瘤?其他?建议增强扫描。”为进一步诊治,来我院就诊,以“颅内占位病变”收住入院。
既往史:既往病史无补充。
入院查体:意识Ⅱ级,GCS 13分,嗜睡,查体合作,对答基本切题,查体部分配合,定向稍力差。双侧瞳孔等大等圆,直径约3mm,对光反射灵敏。四肢自主活动,肌力正常,病理征未引出。指鼻试验正常,轮替动作可,跟膝腱反射正常。
/////
入院诊断:
(枕骨大孔区肿物)颅内占位性病变
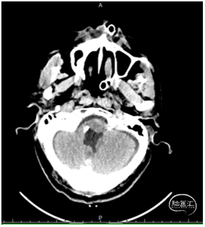
头颅CT:
提示四脑室至枕骨大孔区2.9*2.3cm肿物,内见多发钙化,延髓、四脑室受压

头颅MRI:
四脑室下份至延髓枕骨大孔区,分叶状肿物,大小约2.8*2.3*2.8cm,T1WI呈稍低信号,T2WI呈等、稍高信号,邻近延髓、左侧小脑半球稍受压。



完善术前准备,
行全麻下枕骨大孔区病损切除术

术后CT、MRI:


术后病理:

/////
术后10天,患者康复出院。
三大常规、肝肾功能、心肺功能等检查未见明显异常;
作者介绍
神经肿瘤科
娄四龙
主任医师
神外医学硕士
重庆大学附属肿瘤医院神经肿瘤外科
曾赴天坛及华山学习
中国抗癌协会神经肿瘤专业委员会全国委员
中华医学会重庆市神经内镜副组长
巜中华神经肿瘤杂志》编委
一直从事神经肿瘤医疗、科研工作20余年
有重庆市卫计委科题二项
专业优势:熟悉神经肿瘤的诊疗,目前专注神经显微镜及神经内镜处理神经肿瘤的临床手术治疗。
石油
神经外科医师
神经肿瘤外科科室简介

【科室简介】
重庆大学附属肿瘤医院神经肿瘤科成立20余年,经过多年的人才培养、发展建设,已形成以神经外科为先导、肿瘤专科为特色、专家有特长、专病专治,拥有国内外先进技术并可以保持同步发展的神经肿瘤外科专科队伍,是我市目前唯一专业收治神经系统肿瘤的重点专科。随着人才队伍的不断壮大,学科建设不断加强,各项高难度医疗技术相继开展,综合治疗取得良好效果,已成为重庆市肿瘤的综合治疗中心之一。2015年先后获批为重庆市临床重点专科及神经外科专科医师规培基地。
近十年来,我科承担市卫生局科研多项,在国内各级专业期刊发表论文 80余篇。现拥有德国ZEISS手术显微镜2台、STORZE神经内镜与脑室镜、美敦力S8手术导航系统、美敦力显微动力系统、术中电生理监测系统、术中彩超、蛇牌双极电凝器;同时拥有完善医院配套设施,配置有术中滑轨CT、术中DSA以及术中放疗的复合手术室的精准外科手术平台;拥有TOMO、EDGE在内的一系列高端加速器精准放疗平台;拥有PET/CT和双源CT、西门子Prisma3.0T MRI等完备的精准诊断平台;配备循环肿瘤细胞检测(CTC)与PGM高通量基因测序等肿瘤分子生物诊断平台。
【科室人员构成】
重庆大学附属肿瘤医院神经肿瘤科拥有一支结构合理,医德良好,技术精湛,爱岗敬业的医护队伍,我科室现有医疗高级职称7人,中级职称3人,有博士6人,其中海外留学经历博士5人。同时拥有完整的神经外科护理团队。
【科室特色】
功能区胶质瘤术中唤醒手术;
脑胶质瘤 转移瘤术中放疗手术;
神经内镜微创手术;
脊髓肿瘤微创通道治疗;
复杂颅底肿瘤双镜联合手术;
神经外科机器人手术。
以复合手术室为依托开展颅内肿瘤介入栓塞辅助治疗、术中放疗、术后介入下动脉化疗、颅内血管疾病介入治疗、术中及术后实时CT等国内同等领先技术。
特色微创手术诊疗技术:(1)经鼻内镜下鞍区肿瘤切除手术,包括常见垂体腺瘤、颅咽管瘤、鞍结节脑膜瘤、侧颅底肿瘤等;(2)神经导航或机器人辅助下脑内组织穿刺活检技术;(3)神经内镜下脑室内、松果体区肿物切除以及神经内镜下三脑室底造瘘技术治疗脑积水;(4)经通道椎管内肿瘤切除;(5)神经内镜与显微镜双镜联合行大脑深部、颅底的复杂肿瘤切除。
以脑胶质瘤多学科联合诊疗模式(MDT)为基础,科室开展了脑胶质瘤手术切除(涵盖术中唤醒技术、术中神经导航、术中电生理监测技术、术中荧光、术中CT、术中实时超声等先进的手术辅助技术)、术前影像学多模态评估(包括平扫、增强、DWI、MRS、DTI、灌注成像、脑功能成像等核磁序列评估术前后肿瘤情况)、术后同步放化疗、辅助化疗、电场治疗、靶向治疗、脑胶质瘤基因检测、药物临床试验等多种手段兼顾的脑胶质瘤规范化、个性化、全程化的综合诊疗体系,为脑胶质瘤患者提供全面、详尽、个体化的综合治疗。同时积极开展术中放疗、血管介入动脉辅助化疗、免疫治疗等脑胶质治疗特色新技术,为患者提供更多、更优质的治疗选择。
咨询电话:
023-65075681
023-65075682
19122912052(可短信留言)

文丨石油
图丨石油
排版丨龚雪
审核丨邓燕宏 唐荣华
点击或扫描上方二维码,查看更多“脑肿瘤”内容








