术前头颅CT

头颅CTA

3D造影

另外一个角度

左侧造影

侧位

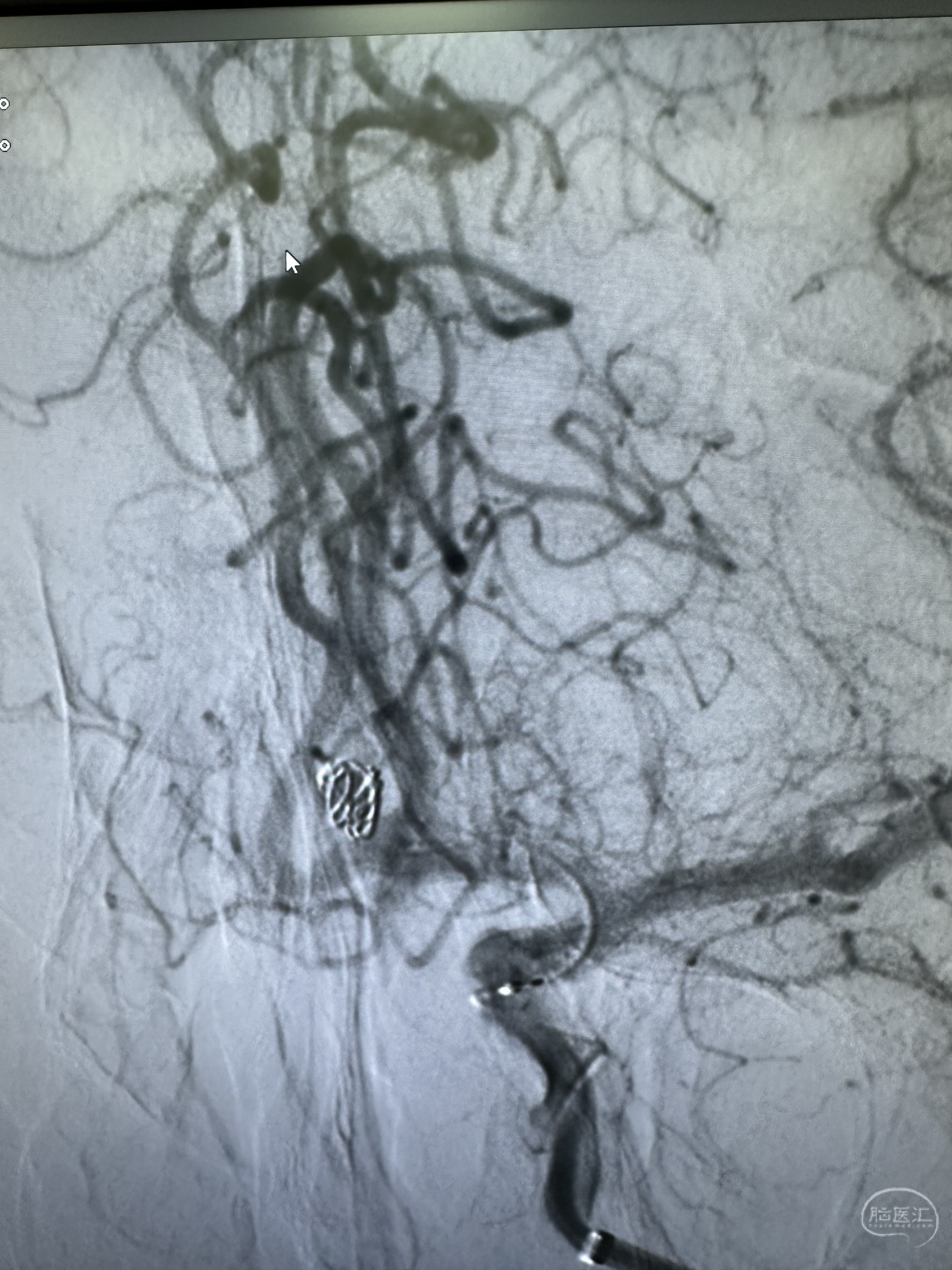
右侧颈内动脉造影

工作角度,选择Neuromax90加上6f的银蛇115

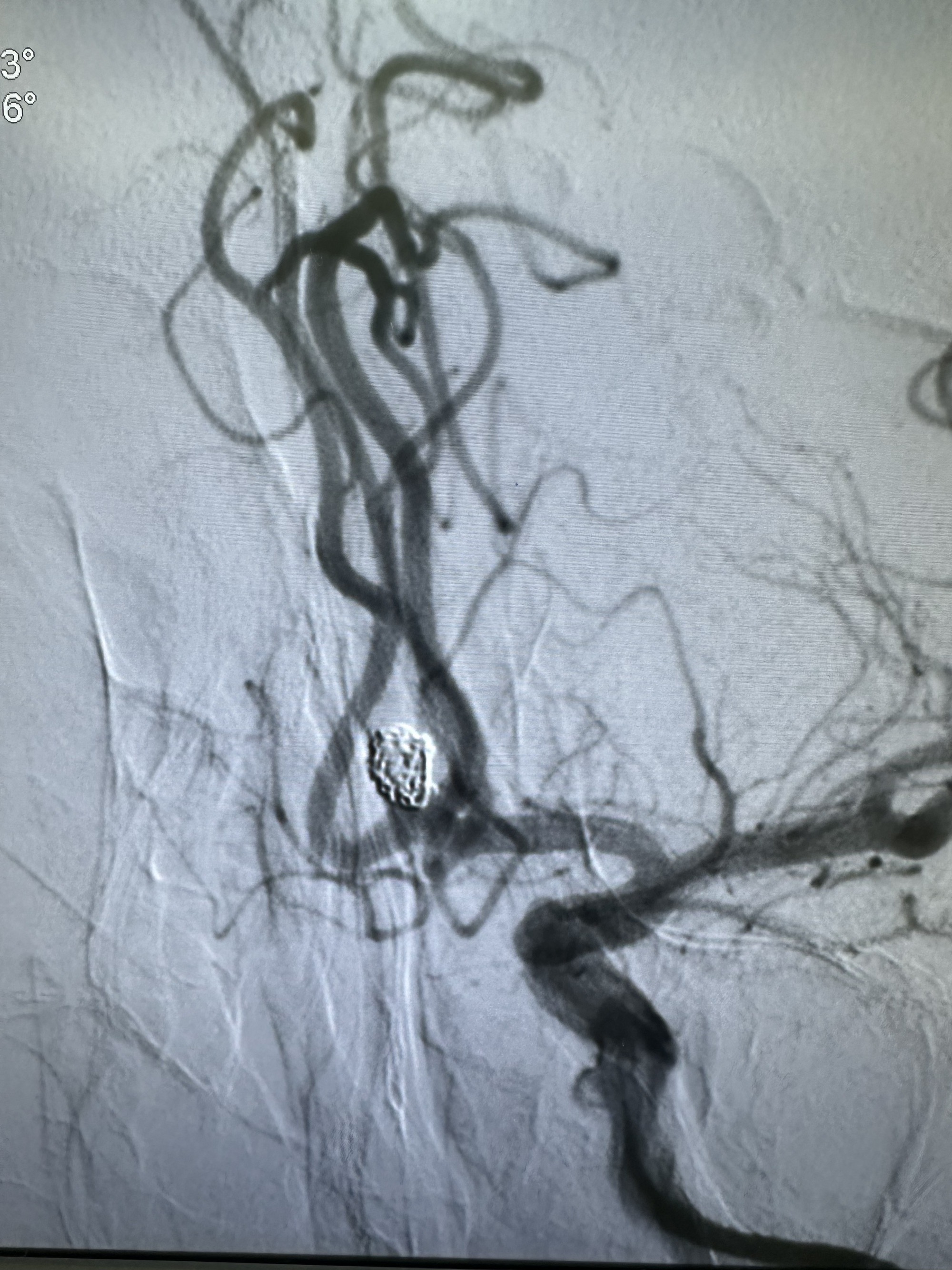
第一枚圈选择4*8的target 3D

圈的形态

后续填塞三枚ES 3*8,1.5*3,1*3.

最后圈的形态

正位

骨窗

侧位

侧位

术后头颅CT
作者简介
蒋国梁
昆明医科大学第一附属医院神经外科
博士,神经外科神经介入亚专业组组长,九三学社
云南省医学高层次后备人才
云南省医师协会神经修复专业委员会委员
在长海医院、华西医院等国内知名脑血管病中心学习;长期从事脑血管病疾病的临床和科研工作,尤其擅长于脑血管病的介入治疗,开展颅内动脉瘤、血管畸形等介入微创治疗,发表SCI及国内核心期刊8篇,主持及参与国家及省厅级项目5项。
点击或扫描上方二维码,
前往 蒋国梁 学术主页
查看更多精彩内容
点击或扫描上方二维码
查看更多“介入”内容







