
导语
尊敬的专家同道:
大家好!“沙场点兵,有史可鉴”是史赛克公司推出的一档病例展示及点评栏目,旨在手术技术交流,产品特点演示,与各位神经介入专家共同进步。疫情虽拉远了距离,却无法降低学习的热情,让我们相约线上,博采众长,共同探讨手术技术。精彩内容,敬请期待。
关
键
词
产品:Catalyst,Trevo
技术:SWIM
部位:MCA
病例展示
1
患者基本信息
患者:男,43岁。
主诉:右侧肢体无力39小时,加重17小时于2022年10月4日23:00入院。
现病史:患者于2022年10月3日早09:00左右自觉吐词不清,右侧肢体无力,症状逐渐加重,下午13:30在襄州区中医院完成溶栓,至10月4日凌晨05:00患者吐词不利减轻,右侧肢体无力较前好转,约06:00症状再次加重,吐词不利,右上肢不能抬起,右下肢不能行走,未行特殊处理。当地医院转诊,以"急性脑梗塞静脉溶栓术后"收住院治疗。
既往有高血压病史,未规律监测血压及服药;有家族脑血管病史,有少量吸烟饮酒史,否认有糖尿病、心脏病史。否认有肝炎、结核传染病史。否认有药物过敏史。
入院查体:血压:152/103mmHg,心、肺、腹明显未见异常。
神经系统:神志清楚,反应稍迟钝,运动性失语,双瞳孔等大等圆,直径2.5mm,对光反射存在,双眼向左侧凝视,右侧鼻唇沟浅,伸舌右偏,四肢肌张力正常,右侧肢体上肢肌力2级,右下肢肌力3级,左侧肢体肌力5级,右侧Babinski征阳性。
NIHSS评分11分(凝视2+面瘫2+右上肢3+右下肢3+语言1)。
2
术前诊断
1.急性脑梗死 TOAST分型:大动脉粥样硬化性
2.左侧大脑中动脉闭塞
3.高血压病2级 很高危组
3
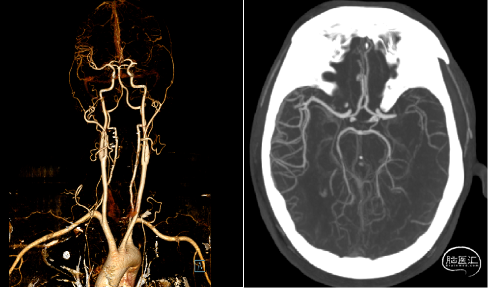
术前检查

4
使用器械
泥鳅导丝
5F 125cm造影导管
8F导引导管
Catalyst 6 132cm中间导管
200cm Synchro微导丝
取栓支架微导管
Trevo ProVue 4*20mm取栓支架
5
术中操作
患者为急性脑梗死,在当地医院已行阿替普酶静脉溶栓,溶栓后病情好转,后再次加重,入院后复查头颅CT未见出血,急诊头颈部CTA提示左侧大脑中动脉闭塞,考虑左侧大脑中动脉重度狭窄基础上急性血栓形成,患者年轻,CTA时相可见侧枝代偿丰富,目前病情进展加重,有急诊取栓指征。
手术方案:
主动脉弓和全脑动脉造影示:左侧大脑中动脉闭塞,结合患者病史及造影结果,考虑为本次责任血管,故与患者家属沟通后行动脉导管抽吸、支架取栓术,必要时行球囊扩张支架置入血管成形术。
术前造影:
造影显示左侧大脑中动脉闭塞,右侧颈内动脉及后循环血管未见明显异常;左侧大脑前动脉通过软膜支部分代偿。


术中操作:
将6F 132cm Cat 6中间导管送至左侧颈内动脉末端,将Synchro微导丝及取栓支架微导管通过闭塞段血管,经微导管造影提示进入血管真腔,引入Trevo ProVue 4*20mm取栓支架,精确定位后缓慢回撤微导管释放取栓支架覆盖闭塞段血管,远端血流即刻恢复,等待5分钟血栓与支架充分嵌合,关闭灌注系统,注射器持续负压抽吸中间导管,将中间导管跟进至取栓支架近端,将取栓支架及中间导管整体撤出体外,支架内可见少许碎屑样血栓。

复查造影显示左侧大脑中动脉显影良好,M1段局部毛糙,前向血流:TICI分级:III级,予以替罗非班5ml动脉内缓慢推注,观察15分钟、30分钟分别造影,左侧大脑中动脉显影良好,考虑患者年轻,未放置支架。

术后第一天查房,患者右侧肢体无力较前好转,吐词不利较前好转,精神饮食睡眠可。查体:BP 114/72mmHg神志清楚,吐词欠清晰,双侧瞳孔直径约3mm,光反射存在,双侧眼球运动正常,无眼震。口角向左歪斜,右侧鼻唇沟变浅,伸舌稍偏右。颈软,右上肢近端肌力4级,右上肢远端肌力5-级,右下肢肌力4级,左侧肢体肌力5级,右侧病理征阳性,左侧病理征阴性,布氏克氏征阴性,脑膜刺激征阴性。

临床反馈
Cat6作为一款高性价比的中间导管,其顺应性,通过性仍然不逊色。
Trevo ProVue 4*20mm取栓支架全程显影,能准确定位闭塞段血管,有良好的血栓抓捕能力。
专家点评
急性颅内大血管闭塞再通治疗目前已是急性脑梗死的标准治疗方案之一,在延时的患者经过影像筛选也能获得好的预后。此例患者溶栓后次日又有加重,影像显示左侧大脑中动脉闭塞,经过果断的取栓再通手术患者获得良好的恢复,充分体现了治疗团队高超的手术水平。对于手术器材的选择是术者需要精心考虑的问题,CAT6作为一款大内径的中间导管具有良好的柔顺性和到位能力,同时比同类产品长度更长,便于抵近血栓进行抽吸,Trevo XP的全程显影使术中的定位变得可视而精准,优秀的产品能力确保了手术一次取栓即获再通,对于患者预后起到了重要的作用。虽然术前没有做灌注影像,但入院头部CT平扫ASPECT评分不低,提示梗死范围不大,因此术者的经验、综合分析能力和决策能力也是非常重要的。
点评专家
王振
长沙市中心医院
主任医师,长沙市中心医院神经内科主任,硕士生导师
主攻脑血管病、神经介入诊疗
中国卒中学会理事
中国研究型医院学会介入神经病学专业委员会委员
湖南省医学会神经病学分会委员
湖南省卒中学会常务理事
湖南省卒中学会神经介入分会副主任委员
湖南省医学会神经病学分会神经介入学组委员
湖南省抗癫痫协会理事
长沙市医学会神经病学分会副主任委员
长沙市内科学会委员
术者简介
END
点击或扫描上方二维码
查看更多“介入”内容









