

术前诊断

图1. a,b,c:患者为60岁女性,DSA造影显示左侧颈内动脉C6段前壁宽颈动脉瘤,高分辨MRI提示动脉瘤管壁有强化。
手术过程
1

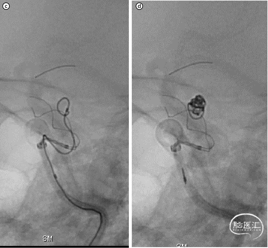
图2. a,b:采用支架半释放辅助栓塞宽颈动脉瘤,动脉瘤近端血管弯度较大。

图2. c,d:编织支架(LEO+3.5×25)过弯时卸张力,支架导管沿小弯侧走行,充分打开。
2

图3:栓塞完毕,支架解脱后造影,动脉瘤不显影。

图4:支架末段卸张力释放,造影提示贴壁欠佳(红色箭头)。
考虑到支架近端已经完全打开,此时可以采用微导丝微导管按摩来让支架完全贴合血管壁。
3

图5:微导丝(Synchro 14)成襻通过支架内腔,可以看到支架近端轻微向前移动。
4

图6:微导管(Echelon 10)跟上,给予适当张力,微导管呈弧形、支架内按摩,确保支架在大弯侧充分贴壁。
术后影像

图7. a,b:术后即刻正侧位造影显示动脉瘤已完全闭塞(Raymond I级)。
患者术后3天出院,mRS 0分。
抗栓方案
术前:阿司匹林100mg+氯吡格雷75mg qd*5d,血栓弹力图结果显示抗板效果好。
术中:全身肝素化,未使用静脉抗血小板药物。
术后:阿司匹林100mg+氯吡格雷75mg qd,拟3个月后改为阿司匹林100mgqd单抗,6个月复查DSA。
思考总结
1.颈内动脉前壁动脉瘤正对血流冲击方向,存在破裂风险。编织支架可提高动脉瘤填塞的致密度,其较高的金属覆盖率有利于载瘤动脉的内膜修复,促进动脉瘤的愈合。
2.使用LEO+编织支架时需要注意型号选择。对于一般直径小于4.4cm的C5、C6段的血管,选择LEO+3.5支架可以确保其充分打开。
3.LEO支架在最后解脱释放前应卸除系统张力,让支架自然解脱。因此在血管转弯处可能出现支架张开但不贴壁的情况。此时使用微导丝微导管按摩技术可以轻松让支架充分贴壁。


图8. a:微导丝微导管按摩前。b:微导丝微导管按摩后。可以看出按摩操作有效促进了支架近端贴壁,同时支架近端进一步向前短缩。
万杰清
上海交通大学医学院附属仁济医院
主任医师,教授
上海交通大学医学院附属仁济医院脑血管病中心主任,兼神经外科副主任
中国医师协会神经介入专业委员会常务委员
国家卫生健康委脑防委缺血性卒中外科专业委员会常务委员
中国卒中学会神经介入分会常务委员
中国医药教育协会脑卒中血运重建专委会副主任委员
上海医学会脑卒中专科分会副主任委员
上海市医学会神经外科分会委员
丁圣豪
上海交通大学医学院附属仁济医院
外科学博士
上海交通大学医学院附属仁济医院神经外科副主任医师
上海市医学会脑卒中分会青年委员会副主任委员
上海市医学会脑卒中缺血性诊疗规范学组组员
负责国家卫健委课题一项,市级申康课题一项
发表论文10余篇
擅长脑、脊髓血管疾病的血管内诊断及治疗

点击或扫描上方二维码
查看更多“介入”内容









