2023年02月23日发布 | 2278阅读
脑肿瘤-血管母细胞瘤

山东省肿瘤医院李峰教授:枕下后正中开颅一期手术全切延髓及小脑半球多发血管母细胞瘤

李峰

山东省肿瘤医院

孙鹏

山东第一医科大学附属肿瘤医院

曹景蔚

山东第一医科大学附属肿瘤医院

达人收藏

患者情况


16岁,男性

主诉:头晕、头痛、视物重影1月余。

现病史:患者2022-12自述新冠病毒感染后出现头痛、头晕,无恶心、呕吐等不适,自行按上感治疗后缓解,2023-01-17患者再次出现间断头痛、头晕,就诊于当地卫生室,测血压90/50mmHg,给予葡萄糖注射液补液治疗后未好转,遂就诊于当地县医院,行颅脑CT平扫+强化提示:小脑半球及蚓部囊实性占位,给予甘露醇对症治疗后好转。1天前患者无明显诱因出现左眼视力下降、视物重影,并头晕、头痛加重,现为求进一步治疗就诊于我院,门诊以“脑肿瘤”收入院。患者自发病以来神志清,精神一般,饮食差,睡眠一般,二便如常,体重未见明显下降。

查体:左眼视力2米数指,右眼粗侧视力正常。


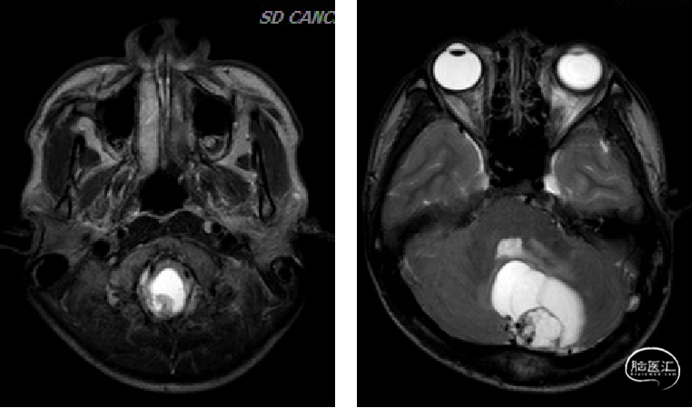
术前检查


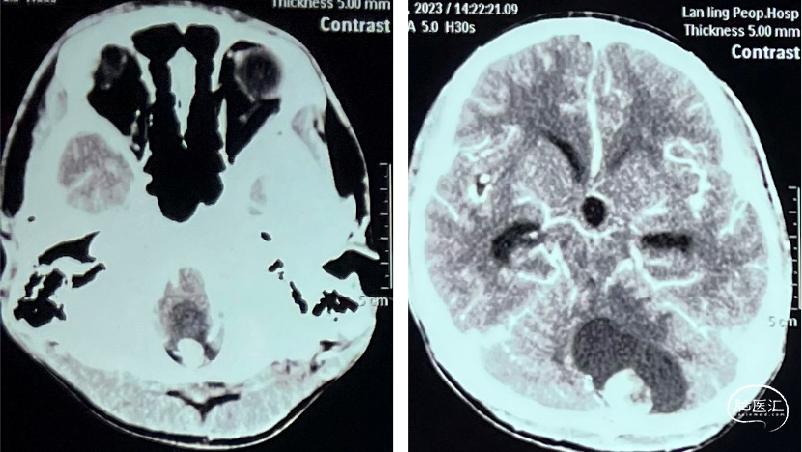
术前CT

image.png

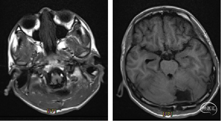
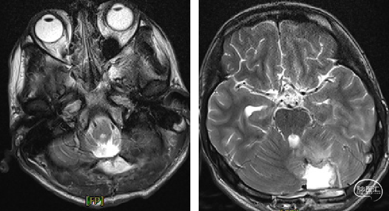
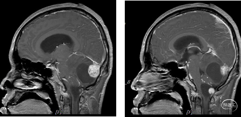
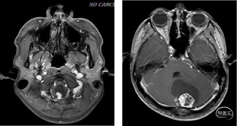
术前MRI

image.png

image.png

image.png

image.png

image.png

image.png


诊断及手术方式


术前诊断:

1.小脑、延髓占位(血管母细胞瘤)

2.梗阻性脑积水 

3.头痛 

4.头晕 

5.恶心和呕吐 

6.单眼视力低下


手术方式:

枕下后正中入路延髓及小脑半球病损切除术


术中照片


image.png


术后情况


术后病理

image.png

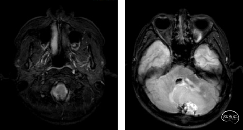
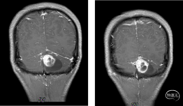
术后MRI

image.png

image.png

image.png



作者简介


微信图片_20220928142438.png

李峰 教授

山东第一医科大学附属肿瘤医院

 山东第一医科大学附属肿瘤医院(山东省肿瘤医院)神经外科主任,大外科副主任。主任医师,硕士研究生导师。

 2015年评聘为山东大学齐鲁医院第三届十大杰出青年人才,2016年评聘为山东大学齐鲁医学院齐鲁名医体系杰出青年医师。2021年人才引进至山东省肿瘤医院,2022年评聘为山东省肿瘤医院十大知名专家。

 学术兼职:山东省临床肿瘤学会神经肿瘤专家委员会主任委员,山东省疼痛医学会副会长、神经外科青年专业委员会主任委员,山东省医学会神经外科学分会委员,中国抗癌协会神经肿瘤专委会委员,中国医师协会小儿脑胶质瘤专业委员会委员,山东省胶质瘤协作组委员,山东省脑血管病防治协会微创诊疗专业委员会委员,山东省神经肿瘤质控学组组长,山东省突发事件卫生应急专家咨询委员会委员。

 课题研究主要进行脑肿瘤的发生、发展机制以及精准诊疗的基础与临床研究,脑组织再生与修复的基础与临床研究。主持研究课题包括:山东省重点研发计划二项,国家自然科学基金、山东省自然科学基金、中国博士后科学基金特别资助项目、中国博士后科学基金面上项目一等资助、以及山东大学自主创新基金各一项。研究成果获山东省科技进步二等奖,山东省心功能研究会科技创新二等奖。发表SCI收录英文论文29篇,中文论文19篇。编著著作《临床神经外科学》、《颅脑巨微解剖学》等。

 擅长对高难度、高风险疑难复杂颅底、松果体区以及脑干肿瘤的显微及内镜微创手术治疗,垂体腺瘤、颅咽管瘤、脊索瘤、脑膜瘤、神经鞘瘤等中央及侧颅底肿瘤的内镜经鼻腔微创手术治疗,脑胶质瘤、转移瘤、淋巴瘤、黑色素瘤、儿童胚胎性肿瘤等恶性肿瘤的手术、放化疗、靶向和免疫治疗的综合多学科、序贯一站式、个体化精准诊疗,以及面肌痉挛、三叉神经痛、舌咽神经痛等的内镜微创手术治疗。


下载 (11).png

点击扫描上方二维码

前往李峰 教授学术主页

查看更多精彩内容

未命名码 (3).png

点击扫描上方二维码,查看

 山东第一医科大学附属肿瘤医院神经外科

更多内容



孙鹏.jpg

孙鹏 医师

山东第一医科大学附属肿瘤医院

 孙鹏,首都医科大学硕士研究生

 单位:山东省肿瘤医院

 社会任职:山东省临床肿瘤学会第一届神经肿瘤专家委员会委员


未命名码.png

点击扫描上方二维码

前往孙鹏 医师学术主页

查看更多精彩内容



曹景蔚 医师

山东第一医科大学附属肿瘤医院

 擅长对颅脑肿瘤、椎管及脊髓肿瘤、颅脑外伤、三叉神经痛及面肌痉挛等神经外科常见疾病的诊治。

  山东省临床肿瘤学会神经肿瘤专家委员会 委员

 山东省疼痛医学会神经外科青年委员会 委员


下载 (14).png

点击扫描上方二维码

前往曹景蔚 医师学术主页

查看更多精彩内容


未命名码.png

点击扫描上方二维码,查看更多“脑肿瘤”内容


声明:脑医汇旗下神外资讯、神介资讯、神内资讯、脑医咨询、Ai Brain 所发表内容之知识产权为脑医汇及主办方、原作者等相关权利人所有。

投稿邮箱:NAOYIHUI@163.com 

未经许可,禁止进行转载、摘编、复制、裁切、录制等。经许可授权使用,亦须注明来源。欢迎转发、分享。

最新评论
发表你的评论
发表你的评论
相关临床评分小工具