本文来源于公众号:燕山介影
病史简介

患者基本信息:患者男性,47岁,主因“搏动性耳鸣3月”就诊于我科。
简要病史:患者3个月前无明显诱因出现搏动性耳鸣,左侧明显右侧较弱。呈持续性,风吹样,节奏与心跳一致,劳累及静息时加重,向对侧转颈或压迫左侧颈部时耳鸣无改变。不伴有视物旋转、视物模糊,与体位无关。就诊于当地医院,2021-03-18行颅MRV+MRA示:左侧颈内动脉C5段内后方多发迂曲,脑动脉硬化。左侧横窦及乙状窦较对侧纤细,考虑右侧引流优势。既往体健,无头部外伤史。无烟酒等不良嗜好,家族史(-)。
入院查体情况:体温:36.9℃,脉搏:76次/分,呼吸:18次/分,血压:119/76mmHg。未见眼球突出、球结膜水肿等,双侧耳后听诊未闻及杂音,向左侧转头或按压左侧颈部耳鸣未见消失。心肺腹查体未见明显异常。神经系统查体未见明显阳性定位体征。
术前影像学检查结果

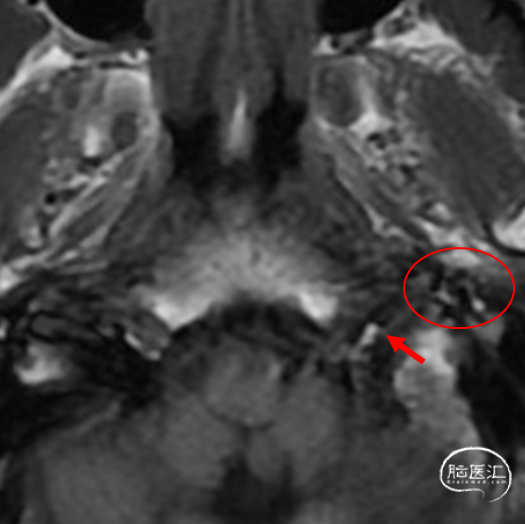
图1:头颅MRA(2021-03-18)左侧颈内动脉C5后方异常血管团(红圈)

图2:头颅MRV(2021-03-18)右侧横窦优势引流,左侧横窦显示不清(红箭)

图3:头颅核磁平扫:左侧舌下神经管前方异常增粗的血管影(红箭:舌下神经管,红圈:异常血管团)。

图4:DSA:LECA正位(左侧舌下神经管区硬脑膜动静脉瘘,供血动脉主要为咽升动脉神经脑膜支)


LECA:侧位(左侧舌下神经管区硬脑膜动静脉瘘,供血动脉主要为咽升动脉神经脑膜支)


LVA-正位(左侧脑膜后动脉向瘘供血)

LVA-侧位


余颅内血管未见瘘样染色



初步诊断,左侧舌下神经管区硬脑膜动静脉瘘。
治疗经过

术前讨论:根据患者病史、体征及造影结果,患者左侧舌下神经管区硬脑膜动静脉瘘诊断明确,考虑为患者搏动性耳鸣病因。患者造影显示,动静脉瘘为位于舌下神经管区,供血动脉为咽升动脉分支及椎动脉硬膜支分支,血流经髁前汇、岩下窦向海绵窦反流,分型介于I型、II型之间,如不进行治疗可能引起舌下神经损伤,导致舌肌萎缩、言语障碍等,如进一步发展有颅内出血风险,有手术指征。瘘均为细小分支供血,动脉入路栓塞风险较高且不易治愈;经静脉单纯用Onyx胶栓塞可能导致栓塞胶堵塞静脉窦。
手术方案:拟全麻下行颅底动静脉瘘修补术,经股动脉、股静脉双侧入路,经颈静脉至髁前汇行弹簧圈及组织胶栓塞流出道已达到治愈目的。手术风险有,已向患者充分告知手术风险,患者表示充分理解,并签署手术知情同意书。
术中涉及介入器械选择。
股动脉入路:4F股动脉鞘、4F椎管。
股静脉入路:8F股动脉鞘、8F导引导管(Boston Scientific)、Synchro-14微导丝、Echelon-10微导管、JasperSS弹簧圈、Synchro-10微导丝、Marathon微导管、Onyx栓塞胶
手术过程:
a、泥鳅导丝及4F多功能导管导引下将8FGuiding置于左侧颈内静脉开口附近;

b、4F椎管管超选入左侧咽升动脉造影及3D造影

c、动静脉同时手推造影,显示路图,清楚显示瘘口及髁前汇

d、首先沿8FGuiding在Syn-10微导丝导引下将Marathon微导管经静脉端置于瘘口附近。

e、再在Syn-14微导丝导引下先将Echelon-10 微导管置于左侧髁前汇内(①为Marathon,②为Echelon-10)

f、 经Echelon-10送入JasperSS 3mm*8cm弹簧圈,推送顺利,在髁前汇内分布均匀,造影见瘘样染色改变不明显


g、再次送入JasperSS 3mm*8cm弹簧圈,输送顺利,复查造影可见向岩下窦反流消失。

h、用DMSO冲洗Marathon微导管后,将Onyx胶缓慢注入,透视下见Onyx胶弥散至动静脉瘘处。


术后左侧颈总动脉造影、椎动脉造影,未见瘘样染色,患者麻醉清醒后波动性耳鸣小时,无言语不利、伸舌偏斜等症状。


术后6月随访,患者耳鸣未复发,无舌肌萎缩、伸舌左偏等症状,复查造影颅内血管均未见瘘样染色。


术者体会

本例患者首发症状为搏动性耳鸣,临床中搏动性耳鸣的原因主要有动脉源性、静脉源性及系统性疾病。动脉源性耳鸣多音调较高,查体按压颈静脉耳鸣不能消失,其中最主要的原因即为硬脑膜动静脉瘘。而在硬脑膜动静脉瘘中,舌下神经管区硬脑膜动静脉瘘( Dural arteriovenous fistulas of the hypoglossal canal,HCDAVFs )较为罕见,常累及髁前汇( anterior condylar confluence ,ACC )和/或髁前静脉( anterior condylar vein ,ACV)。常常累及通常累及髁前汇( anterior condylar confluence ,ACC )和/或髁前静脉( anterior condylar vein ,ACV);由于解剖十分复杂,容易与眼眶、后颅窝硬脑膜静脉窦以及椎体内外静脉系统形成复杂的静脉吻合,故常被误认为其他类型的DAVFs,如岩下窦、颈静脉球、边缘窦、颅底或枕骨大孔的DAVFs。
HC-DAVF的静脉引流变化多样,主要分为三型:
一型(占62.5%)主要引流至颈静脉球、颈内静脉或者椎静脉丛;
二型(23.3%)主要引流至海绵窦,并表现为眼眶症状如突眼、结膜充血等;
而三型(14.2%)主要引流至小脑软膜或者髓周静脉,出现该型的原因常常由于髁前静脉与颈内静脉、岩下窦等静脉吻合消失或者狭窄,导致髓周静脉淤血从而出现颈髓症状或者颅内出血。目前舌下神经管DAVF的治疗指征主要为高级别瘘口或者出现眼眶、皮层或者髓周静脉引流,非常严重的搏动性耳鸣也可以作为治疗指征。
治疗方法有多种,主要还是血管内栓塞治疗。
首先,由于供血动脉最常见的是咽升动脉的神经脑膜支,该动脉同时还担负着8-12对颅神经的供血,经动脉栓塞导致颅神经缺血风险极高;
其次,枕动脉乳突支、椎动脉脑膜后分支、脑膜垂体干、脑膜中动脉均可能向瘘供血,以上供血动脉与颅内血管存在危险吻合,液体栓塞材料容易通过危险吻合堵塞颅内血管;
最后HC-DAVF多为丛状供血动脉,瘘口弥散,动脉端很难达到完全栓塞;综上,经动脉途径栓塞风险高且不易完全治愈。结合以往文献经静脉弹簧圈栓塞或者经静脉弹簧圈+Onxy胶栓塞最为常用,而且临床疗效好,复发率低,总体闭塞率大于90%,症状缓解率接近100%。本例的手术方案设计如下图:

通过静脉端进行栓塞,先通过弹簧圈(红圈)在髁前汇内成篮,一方面可以部分阻挡血流,更主要的是为后续的Onyx胶(紫点)搭建一个“金属笼”,防止液体栓塞胶向静脉端过度反流,而主要向瘘口方向弥散,从而达到完全栓塞;这样弹簧圈的栓塞率不需要很高,减少其对周围舌下神经的压迫,避免出现持续性的舌下神经损伤。
动脉端置入椎动脉管超选入主要的供血动脉咽升动脉,通过动静脉双管造影,对舌下神经管区的硬脑膜动静脉瘘显示更为清晰。
小结:HCDAVFs为硬脑膜动静脉瘘中的罕见类型,容易误诊;传统经动脉栓塞风险高、难度大且不易完全栓塞,而经静脉途径应用弹簧圈+胶栓塞相对安全有效;手术中需注意避免过度栓塞,防止压迫舌下神经或堵塞静脉窦造成永久性损伤。
参考文献

[1] Santillan A, Schwarz J, Patsalides A. Transvenous Embolization of Dural Arteriovenous Fistulas of the Hypoglossal Canal: Report of Three Cases and Review of the Literature[J]. Interv Neurol, 2018, 7(6): 315-322.
[2] Miyachi S, Ohshima T, Izumi T, et al. Dural arteriovenous fistula at the anterior condylar confluence[J]. Interv Neuroradiol, 2008, 14(3): 303-311.
[3] Spittau B, Millan DS, El-Sherifi S, et al. Dural arteriovenous fistulas of the hypoglossal canal: systematic review on imaging anatomy, clinical findings, and endovascular management[J]. J Neurosurg, 2015, 122(4): 883-903.
[4] Tanaka M. Embryological Consideration of Dural Arteriovenous Fistulas[J]. Neurol Med Chir (Tokyo), 2016, 56(9): 544-551.
[5] Okamura A, Nakaoka M, Ohbayashi N, et al. Intraoperative cone-beam computed tomography contributes to avoiding hypoglossal nerve palsy during transvenous embolization for dural arteriovenous fistula of the anterior condylar confluence[J]. Interv Neuroradiol, 2016, 22(5): 584-589.
[6] Dahl RH, Biondi A, Caterino FD, et al. Alternative route to a hypoglossal canal dural arteriovenous fistula in case of failed jugular vein approach[J]. Interv Neuroradiol, 2021, 27(2): 275-280.
[7] Sakakura K, Nakai Y, Ikeda G, et al. Transvenous Embolization of Dural Arteriovenous Fistula of the Anterior Condylar Confluence via the Intercavernous Sinus Assisted by Bone Subtraction Computed Tomography Angiography[J]. World Neurosurg, 2019, 126: 151-155.
[8] Cognard C, Gobin YP, Pierot L, et al. Cerebral dural arteriovenous fistulas: clinical and angiographic correlation with a revised classification of venous drainage[J]. Radiology, 1995, 194(3): 671-680.
[9] Crockett MT, Chiu AHY, Singh TP, et al. Transvenous coil embolization with intra-operative cone beam CT assistance in the treatment of hypoglossal canal dural arteriovenous fistulae[J]. J Neurointerv Surg, 2019, 11(2): 179-183.
作者简介


边洋
解放军总医院第一医学中心
中国人民解放军总医院第一医学中心神经介入科 主治医师 医学硕士。从事脑血管疾病的介入诊疗工作6年余;参与Enchanted-MT、LAST等多项临床研究;第一作者发表SCI论文1篇,核心期刊论文5篇。

点击或扫描上方二维码
查看更多“介入”内容





