
病例简介
基本信息:男性,77岁。
主诉:突发右侧肢体无力5小时。
现病史:患者5小时前无明显诱因出现右侧肢体无力,仍能站立,但行走困难,言语含混,无意识障碍,无抽搐,症状持续不缓解,就诊于我院急诊,CTA示多发血管狭窄,收入我科。
既往史及个人史:高血压病史,未规律服药,血压控制不佳。
查体:神志清楚,言语缓慢,双侧瞳孔正大等圆,光反射灵敏,左侧肢体肌力正常,右侧肢体肌力2级,生理反射存在,病理征阴性。
辅助检查:CTA(本院)1、右侧颈内动脉C4段小动脉瘤;2、头颈部动脉粥样硬化病多发动脉狭窄,右椎V1段重度狭窄,左侧大脑中动脉M1重度狭窄,余多发血管轻度狭窄、中度狭窄。
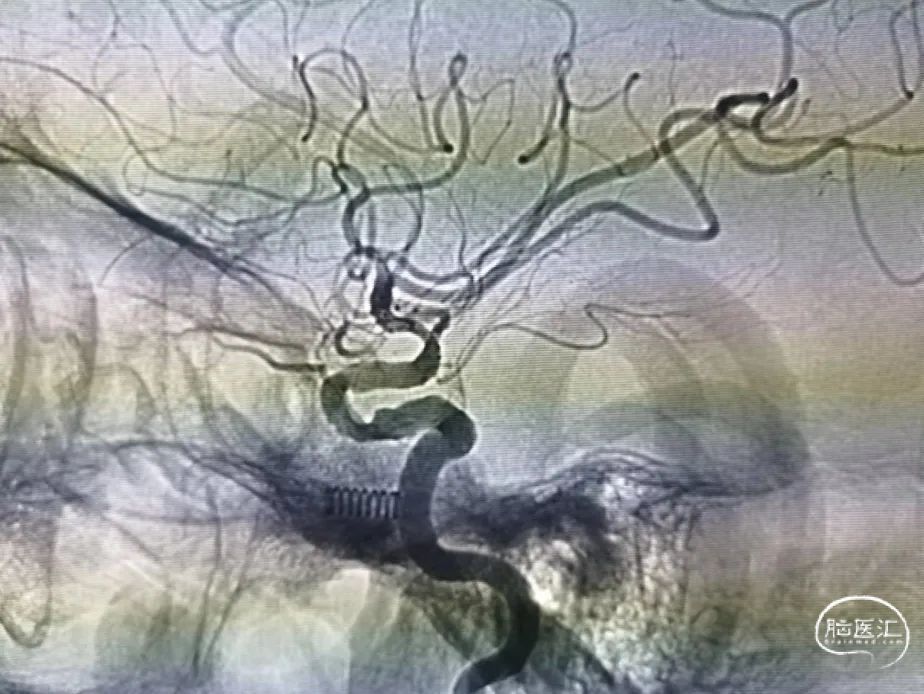
术前影像



手术方案
术前诊断:1、急性脑梗死2、大脑中动脉狭窄(LM1,重度)3、椎动脉狭窄(RV1,重度)4、高血压病5、锁骨下动脉狭窄6、动脉粥样硬化并高脂血症。
术前用药:拜阿司匹林肠溶片100mg;波立维片 75mg ;阿托伐他汀 20mg。
手术方案:大脑中动脉球囊扩张+支架植入术。
手术指征:诊断明确,血管狭窄较重,存在相关症状,标准药物治疗效果不佳,未见明确手术禁忌症,术前准备充分。
手术风险:动脉夹层;急性、亚急性支架内血栓形成;术中出血;迟发性出血;支架内再狭窄。
手术器械
6F导引导管
微导丝200cm Synchro、
300cm Transend
直头微导管
球囊Gateway 1.5mm×15mm
支架Neuroform Atlas 3×15mm
手术过程
患者取平卧位,全麻满意后,术区常规消毒铺巾,右股动脉行Seldinger穿刺,置入6F动脉鞘,静脉肝素化。造影见:1.右侧颈内动脉C1段成角,并血管中度狭窄,C4段管腔瘤样凸起,前交通开放,可见双侧大脑前动脉显影;2.右侧锁骨下动脉中重度狭窄,腋动脉重度狭窄,椎动脉开口中重度狭窄;3.左侧颈内动脉C1段成角并血管中度狭窄,A1发育性纤细,M1重度狭窄,并成角畸形(Mori C型),颞干发自狭窄段并重度狭窄,远端大脑中动脉显影差(TICI 2b),大脑前动脉通过软膜支向中动脉代偿;4.左侧锁骨下动脉中度狭窄,椎动脉开口中度狭窄;5.脑血管符合多发硬化表现。超滑泥鳅导丝携带6F Envoy选入左侧颈内动脉,管头位置满意后撤出泥鳅导丝,造影见左侧大脑中动脉重度狭窄,并成角畸形(Mori C型),远端大脑中动脉显影差(TICI 2b),大脑前动脉通过软膜支向中动脉供血区代偿供血。










选择合适工作角度,路图指引下,Synchro微导丝携带SL-10微导管小心通过狭窄段,微导管跟入远端血管,回抽见返血,冒烟明确微导管位于真腔内,交换300cm Transend微导丝,撤出微导管。



沿微导丝送入Gateway 1.5mm×15mm球囊一枚,跨越狭窄,造影见正向血流消失,缓慢充盈球囊至6 atm,维持20s后缓慢抽瘪球囊,冒烟未见造影剂渗出,造影见血管狭窄改善,XperCT未见出血。



回撤球囊至导引导管,维持高压肝素水滴注,等待10min后再次造影见血管回弹较明显,遂抽瘪球囊状态下跟入Gateway至狭窄远端,撤出微导丝,沿Gateway输送管送入Atlas 3mm×15mm支架一枚,跨越狭窄释放,见支架展开良好,正向血流明显改善,颞干血流较术前无明显变化,撤出输送系统。等待10min后再次造影见血流通畅,XperCT未见出血,给予欣维宁泵入,结束手术。





术者体会
Neuroform Atlas支架革新了输送系统,可通过小内径(0.0165`)的微导管轻松送达远端血管;特有的开环结构在迂曲部位贴壁满意,定位精确;合理的径向支撑力足以防止弹性回缩,又能同时减少炎症刺激和内膜增生,很好的平衡了径向支撑力与血管顺应性。
Gateway球囊小径低剖面头端保证了病变穿越能力,长交换推送杆使得推送力量更为平缓稳定,更适合神经血管通路。半顺应性的球囊性质,可和缓预扩病变部位,降低夹层的产生。
Neuroform Atlas支架和Gateway球囊的组合形成所谓“Gatalas”技术,简化了操作,缩短了手术时间,降低了交换过程中导丝穿破远端分支血管的风险。如果需要二次成型的病变,该手术方式能提供更为简便的操作。
但需要注意的是,如果入路血管过于迂曲,并不推荐使用该种方式,因为Gateway球囊的内腔的抗打折性相较于SL-10或XT-17而言是有差异的,有可能会导致释放失败,中间导管高到位会极大程度避免这种情况的发生。
术者简介
赵阳
北京大学国际医院
毕业于首都医科大学附属北京天坛医院,就职于北京大学国际医院。主要致力于研究脑血管疾病介入及复合手术治疗
神经介入师从李佑祥教授,神经外科手术师从王硕教授
中国医师协会神经介入分会青年委员
北京市神经介入工程技术研究中心成员
中国卒中学会复合介入神经外科分会成员
点击或扫描上方二维码
查看更多“介入”内容







