提示
前言
浙医二院神经外科真正建立脊柱脊髓亚专科始于2008年,经过十多年培育和发展,形成一个专科病区、两个医疗组、四位高级职称专业人员,年手术量近千台,手术种类全方位涵盖脊髓肿瘤、先天畸形、血管病及脊柱退变性疾病等,在专科发展方向上坚持了鲜明的微创特色。从381期开始系列报道该专业组的相关病例,包含经典病例术式介绍、少见罕见病例报道、新技术开展、疑难复杂病例及并发症讨论等,与同道共享,并希望大家,尤其是骨科同道的指导和交流,以期推动我国神经脊柱疾病诊治水平的共同提高。


病史简介
诊治经过
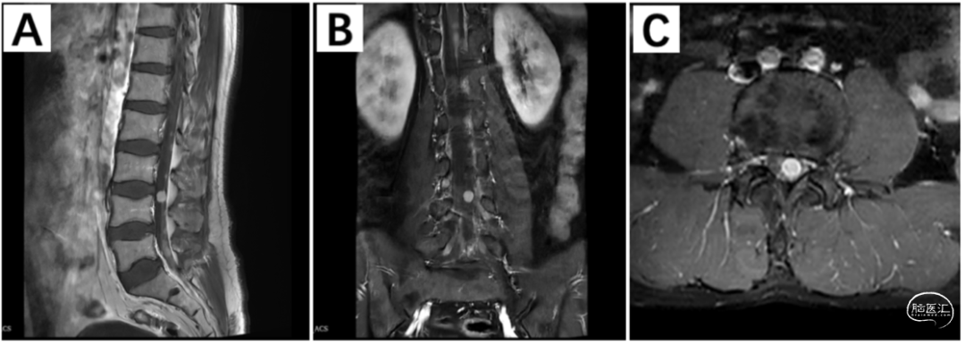
入院后查磁共振显示:胸腰段多发大小不等长T1短T2信号结节影,边界尚清,增强可见明显强化。其中,平胸8和腰3节段的两个占位较大,脊髓受压明显(图1)。

排除手术禁忌,提交科室讨论,患者以双下肢麻木起病,症状进展较快,MRI提示椎管内多发占位。首先考虑恶性转移瘤,胸8和腰3占位为症状责任病灶。手术指征明确,拟一期进行胸8-10全椎板硬膜下肿瘤切除术+腰3-4脊柱微创通道下硬膜内肿瘤切除术,送病理检查明确性质。
腰3-4脊柱微创通道下硬膜内肿瘤切除手术经过:患者取俯卧位,以腰3为中心左侧旁开1cm取约2cm直切口,切开皮肤及肌肉筋膜,穿刺针穿至腰3左侧椎板,C臂摄片确认无误,逐级扩张,置入改良开窗式通道系统(图2-A)。磨除同侧腰3椎板下缘,暴露1cm*1cm*0.8cm骨窗,显微镜下切开硬脊膜及蛛网膜并绕套筒开窗进行悬吊(图2-B),可见肿瘤色灰红,边界不清,与神经根粘连(图2-C),电凝控制血供,完整摘除肿瘤,7-0 prolene水密缝合硬脊膜,逐层缝合肌肉及皮肤。

术后病理提示:腰3-4,胸9椎管内肿瘤,恶性肿瘤,倾向神经源性肿瘤。
术后复查磁共振提示腰3-4肿瘤全切,术区术后改变。CT-VRT提示术区部分椎板缺失(图3)。

讨论

图4. 双管通道系统。1) 颈椎通道系统背侧入路,2)第一管管内观,3a) 硬膜悬吊线固定后,第二管插入,3b) 插入第二根管后,悬吊线横向成角,硬膜开口面积变大。[1]

图5. 通道内视图。A:第一管固定硬膜悬吊线后,B:第二管置入后的通道内视图,C:S1为对应图A硬膜开口的测量面。D:S2为对应图B硬膜开口的测量面。[1]

图6. 改良的开窗式通道系统和硬膜悬吊线走形示意。

图7. 改良的开窗通道系统,A:设计图,B,C内径18mm的实物样品。
参考文献
(本文由浙二神外周刊原创,浙江大学医学院附属第二医院神经外科胡鑫奔博士整理,应广宇副主任医师和朱永坚主任医师审校,张建民主任终审)
声明:脑医汇旗下神外资讯、神介资讯、神内资讯、脑医咨询、Ai Brain 所发表内容之知识产权为脑医汇及主办方、原作者等相关权利人所有。





